Skip to main content

CEACAM6/CD66c Antibody - BSA Free

Novus Biologicals, part of Bio-Techne | Catalog # NBP1-55290

Novus Biologicals, part of Bio-Techne
Catalog #
Availability
Size / Price
Qty
Loading...
NBP1-55290

Key Product Details

Species Reactivity

Human

Applications

Immunohistochemistry, Immunohistochemistry-Paraffin, Western Blot

Label

Unconjugated

Antibody Source

Polyclonal Rabbit IgG

Format

BSA Free

Concentration

1 mg/ml

Product Specifications

Immunogen

Synthetic peptide directed towards the middle region of human CEACAM6 (NP_002474). Peptide sequence: EIQNPASANRSDPVTLNVLYGPDGPTISPSKANYRPGENLNLSCHAASNP The peptide sequence for this immunogen was taken from within the described region.

Clonality

Polyclonal

Host

Rabbit

Isotype

IgG

Theoretical MW

38 kDa.
Disclaimer note: The observed molecular weight of the protein may vary from the listed predicted molecular weight due to post translational modifications, post translation cleavages, relative charges, and other experimental factors.

Description

The addition of 50% glycerol is optional for those storing this antibody at -20C and not aliquoting smaller units. However, please note that glycerol may interrupt some downstream antibody applications and should be added with caution.

Scientific Data Images for CEACAM6/CD66c Antibody - BSA Free

Western Blot: CEACAM6/CD66c Antibody [NBP1-55290]

Western Blot: CEACAM6/CD66c Antibody [NBP1-55290]

Western Blot: CEACAM-6/CD66c Antibody [NBP1-55290] - Sample Tissue: Jurkat, Lane A: Primary Antibody, Lane B: Primary Antibody + Blocking Peptide, Primary Antibody Concentration: 1.25ug/mL, Peptide Concentration: 1.0ug/mL, Lysate Quantity: 25ug/lane, Gel Concentration: 12%
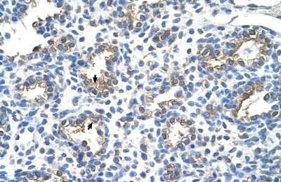
Immunohistochemistry-Paraffin: CEACAM6/CD66c Antibody [NBP1-55290]

Immunohistochemistry-Paraffin: CEACAM6/CD66c Antibody [NBP1-55290]

Immunohistochemistry-Paraffin: CEACAM-6/CD66c Antibody [NBP1-55290] - Human Lung Alveolar cells (indicated with arrows), 4-8ug/ml.
Western Blot: CEACAM6/CD66c Antibody [NBP1-55290]

Western Blot: CEACAM6/CD66c Antibody [NBP1-55290]

Western Blot: CEACAM-6/CD66c Antibody [NBP1-55290] - Jurkat cell lysate, Antibody Titration: 1.25ug/ml

Applications for CEACAM6/CD66c Antibody - BSA Free

Application
Recommended Usage

Immunohistochemistry

1:10-1:500

Immunohistochemistry-Paraffin

4-8 ug/ml

Western Blot

1.0 ug/ml

Formulation, Preparation, and Storage

Purification

Protein A purified

Formulation

PBS, 2% Sucrose

Format

BSA Free

Preservative

0.09% Sodium Azide

Concentration

1 mg/ml

Shipping

The product is shipped with polar packs. Upon receipt, store it immediately at the temperature recommended below.

Stability & Storage

Store at 4C short term. Aliquot and store at -20C long term. Avoid freeze-thaw cycles.

Background: CEACAM-6/CD66c

Many breast, pancreatic, colonic and non-small-cell lung carcinoma lines express CEACAM6 and CEACAM5, and antibodies to both can affect tumor cell growth in vitro and in vivo. CEACAM6 expression is elevated in many solid tumors, but variable as a function of histotype. It may be a promising target for antibody-based therapy.

Long Name

Carcinoembryonic Antigen-related Cell Adhesion Molecule 6

Alternate Names

CD66c, CEACAM6, CEAL, NCA

Entrez Gene IDs

4680 (Human)

Gene Symbol

CEACAM6

UniProt

Additional CEACAM-6/CD66c Products

Product Documents for CEACAM6/CD66c Antibody - BSA Free

Certificate of Analysis

To download a Certificate of Analysis, please enter a lot number in the search box below.

Product Specific Notices for CEACAM6/CD66c Antibody - BSA Free

This product is for research use only and is not approved for use in humans or in clinical diagnosis. Primary Antibodies are guaranteed for 1 year from date of receipt.

Loading...
Loading...
Loading...
Loading...