Skip to main content

CEACAM5/CD66e Antibody (CEA31)

Novus Biologicals, part of Bio-Techne | Catalog # NBP2-33012

Novus Biologicals, part of Bio-Techne
Catalog #
Availability
Size / Price
Qty
Loading...
NBP2-33012-0.02mg
NBP2-33012-0.1mg

Key Product Details

Species Reactivity

Human, Monkey

Applications

Immunohistochemistry, Immunohistochemistry-Paraffin, Flow Cytometry, Immunocytochemistry/ Immunofluorescence

Label

Unconjugated

Antibody Source

Monoclonal Mouse IgG1 kappa Clone # CEA31

Concentration

0.2 mg/ml

Product Specifications

Immunogen

Human colon carcinoma extract (Uniprot: P06731)

Localization

Cytoplasmic and luminal surface

Specificity

This antibody recognizes proteins of 80-200kDa, identified as different members of CEA family. CEA is synthesized during development in the fetal gut and is re-expressed in increased amounts in intestinal carcinomas and several other tumors. This monoclonal antibody does not react with nonspecific cross-reacting antigen (NCA) and with human polymorphonuclear leucocytes. It shows no reaction with a variety of normal tissues and is suitable for staining of formalin/paraffin tissues. CEA is not found in benign glands, stroma, or malignant prostatic cells. Antibody to CEA is useful in detecting early foci of gastric carcinoma and in distinguishing pulmonary adenocarcinomas (60-70% are CEA+) from pleural mesotheliomas (rarely or weakly CEA+). Anti-CEA positivity is seen in adenocarcinomas from the lung, colon, stomach, esophagus, pancreas, gallbladder, urachus, salivary gland, ovary, and endocervix.

Clonality

Monoclonal

Host

Mouse

Isotype

IgG1 kappa

Description

200ug/ml of antibody purified from Bioreactor Concentrate by Protein A or G. Prepared in 10 mM PBS with 0.05% BSA & 0.05% azide. Also available WITHOUT BSA & azide at 1.0 mg/ml. (NBP2-34594)

Antibody with azide - store at 2 to 8C. Antibody without azide - store at -20 to -80 C.

Scientific Data Images for CEACAM5/CD66e Antibody (CEA31)

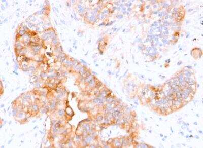
Immunohistochemistry-Paraffin: CEACAM5/CD66e Antibody (CEA31) [NBP2-33012]

Immunohistochemistry-Paraffin: CEACAM5/CD66e Antibody (CEA31) [NBP2-33012]

Immunohistochemistry-Paraffin: CEACAM5/CD66e Antibody (CEA31) [NBP2-33012] - Human Colon Carcinoma stained with CEACAM5/CD66e Antibody (CEA31).
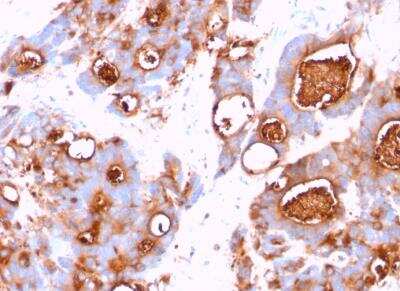
Immunohistochemistry-Paraffin: CEACAM5/CD66e Antibody (CEA31) [NBP2-33012]

Immunohistochemistry-Paraffin: CEACAM5/CD66e Antibody (CEA31) [NBP2-33012]

Immunohistochemistry-Paraffin: CEACAM5/CD66e Antibody (CEA31) [NBP2-33012] - Human Colon Carcinoma stained with CEACAM5/CD66e Antibody (CEA31).
Immunohistochemistry-Paraffin: CEACAM5/CD66e Antibody (CEA31) [NBP2-33012]

Immunohistochemistry-Paraffin: CEACAM5/CD66e Antibody (CEA31) [NBP2-33012]

Immunohistochemistry-Paraffin: CEACAM5/CD66e Antibody (CEA31) [NBP2-33012] - Human Colon Carcinoma stained with CEACAM5/CD66e Antibody (CEA31).

Applications for CEACAM5/CD66e Antibody (CEA31)

Application
Recommended Usage

Flow Cytometry

0.5-1 ug/million cells

Immunocytochemistry/ Immunofluorescence

1-2 ug/ml

Immunohistochemistry-Paraffin

1-2 ug/ml
Application Notes
Immunohistochemistry (Formalin-fixed): 1-2ug/ml for 30 minutes at RT. Staining of formalin-fixed tissues requires heating tissue sections in 10mM Tris with 1mM EDTA, pH 9.0, for 45 min at 95C followed by cooling at RT for 20 minutes.
Optimal dilution for a specific application should be determined.

Formulation, Preparation, and Storage

Purification

Protein A or G purified

Formulation

10 mM PBS with 0.05% BSA

Preservative

0.05% Sodium Azide

Concentration

0.2 mg/ml

Shipping

The product is shipped with polar packs. Upon receipt, store it immediately at the temperature recommended below.

Stability & Storage

Store at 4C.

Background: CEACAM-5/CD66e

The CD66e (CEA; 180-200 kDa) is a member of carcinoembryonic antigens, immunoglobulin supergene family and consists of a single N domain (structural homology to the immunoglobulin variable) and six immunoglobulin constant-like A (A1, A2, A3) and B domains (B1, B2, B3). Human CD66e is heavily glycosylated GPI anchored protein capable of both homophilic and heterophilic adhesion. Disease relevance: The CD66e may play a role in the process of metastasis of cancer cells. CD66e is found in serum and it is clinically used as a tumor marker for early detection of disease due to its expression in adenocarcinomas - potential target of tumor imaging and drug targeting.

Long Name

Carcinoembryonic Antigen-related Cell Adhesion Molecule 5

Alternate Names

CD66e, CEA, CEACAM5

Gene Symbol

CEACAM5

UniProt

Additional CEACAM-5/CD66e Products

Product Documents for CEACAM5/CD66e Antibody (CEA31)

Certificate of Analysis

To download a Certificate of Analysis, please enter a lot number in the search box below.

Product Specific Notices for CEACAM5/CD66e Antibody (CEA31)

This product is for research use only and is not approved for use in humans or in clinical diagnosis. Primary Antibodies are guaranteed for 1 year from date of receipt.

Loading...
Loading...
Loading...
Loading...
Loading...
Loading...