Skip to main content

CDX2 Antibody (CDX2/4394R)

Novus Biologicals, part of Bio-Techne | Catalog # NBP3-07446

Recombinant Monoclonal Antibody
Novus Biologicals, part of Bio-Techne
Catalog #
Availability
Size / Price
Qty
Loading...
NBP3-07446-100ug
NBP3-07446-20ug
Conjugate
Catalog #

Key Product Details

Species Reactivity

Human

Applications

Immunohistochemistry-Paraffin

Label

Unconjugated

Antibody Source

Recombinant Monoclonal Rabbit IgG Clone # CDX2/4394R

Concentration

0.2 mg/ml

Product Specifications

Immunogen

Recombinant fragments and synthetic peptides from human CDX2 protein (exact sequences are proprietary) (Uniprot: Q99626)

Localization

Nuclear

Marker

GI Epithelial Marker

Clonality

Monoclonal

Host

Rabbit

Isotype

IgG

Theoretical MW

40 kDa.
Disclaimer note: The observed molecular weight of the protein may vary from the listed predicted molecular weight due to post translational modifications, post translation cleavages, relative charges, and other experimental factors.

Description

200ug/ml of antibody purified from Bioreactor Concentrate by Protein A or G. Prepared in 10 mM PBS with 0.05% BSA & 0.05% azide. Also available WITHOUT BSA & azide at 1.0 mg/ml. (NBP3-08743)

Antibody with azide - store at 2 to 8C. Antibody without azide - store at -20 to -80 C.

Scientific Data Images for CDX2 Antibody (CDX2/4394R)

Immunohistochemistry-Paraffin: CDX2 Antibody (CDX2/4394R) [NBP3-07446]

Immunohistochemistry-Paraffin: CDX2 Antibody (CDX2/4394R) [NBP3-07446]

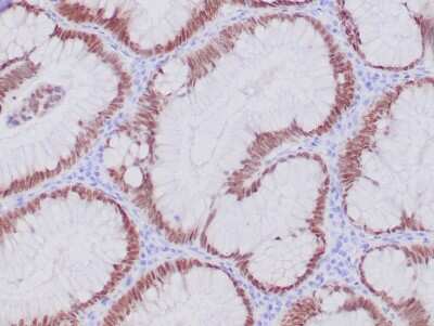
Immunohistochemistry-Paraffin: CDX2 Antibody (CDX2/4394R) [NBP3-07446] - IHC analysis of formalin-fixed, paraffin-embedded human colon. Strong nuclear staining using CDX2 antibody (CDX2/4394R) at 2ug/ml in PBS for 30min RT. HIER: Tris/EDTA, pH9.0, 45min. 2 : HRP-polymer, 30min. DAB, 5min.
Immunohistochemistry-Paraffin: CDX2 Antibody (CDX2/4394R) [NBP3-07446]

Immunohistochemistry-Paraffin: CDX2 Antibody (CDX2/4394R) [NBP3-07446]

Immunohistochemistry-Paraffin: CDX2 Antibody (CDX2/4394R) [NBP3-07446] - IHC analysis of formalin-fixed, paraffin-embedded human colon adenocarcinoma. Strong nuclear staining using CDX2 antibody (CDX2/4394R) at 2ug/ml in PBS for 30min RT. HIER: Tris/EDTA, pH9.0, 45min. 2 : HRP-polymer, 30min. DAB, 5min.
Immunohistochemistry-Paraffin: CDX2 Antibody (CDX2/4394R) [NBP3-07446]

Immunohistochemistry-Paraffin: CDX2 Antibody (CDX2/4394R) [NBP3-07446]

Immunohistochemistry-Paraffin: CDX2 Antibody (CDX2/4394R) [NBP3-07446] - IHC analysis of formalin-fixed, paraffin-embedded human tonsil. Negative tissue control using CDX2 antibody (CDX2/4394R) at 2ug/ml in PBS for 30min RT. HIER: Tris/EDTA, pH9.0, 45min. 2 : HRP-polymer, 30min. DAB, 5min.

Applications for CDX2 Antibody (CDX2/4394R)

Application
Recommended Usage

Immunohistochemistry-Paraffin

1-2 ug/ml
Application Notes
Immunohistochemistry (Formalin-fixed): 1-2ug/ml for 30 minutes at RT. Staining of formalin-fixed tissues requires heating tissue sections in 10mM Tris with 1mM EDTA, pH 9.0, for 45 min at 95C followed by cooling at RT for 20 minutes.
Optimal dilution for a specific application should be determined.

Formulation, Preparation, and Storage

Purification

Protein A or G purified

Formulation

10 mM PBS with 0.05% BSA

Preservative

0.05% Sodium Azide

Concentration

0.2 mg/ml

Shipping

The product is shipped with polar packs. Upon receipt, store it immediately at the temperature recommended below.

Stability & Storage

Store at 4C.

Background: CDX2

The level and beta-cell specificity of insulin gene expression are regulated by a set of nuclear proteins that bind to specific sequences within the promoter of the insulin gene (INS; MIM 176730) and interact with RNA polymerase to activate or repress transcription. The proteins LMX1 (MIM 600298) and CDX3 are homeodomain proteins that bind an A/T-rich sequence in the insulin promoter and stimulate its transcription (German et al., 1994 [PubMed 7698771]).[supplied by OMIM]

Long Name

Caudal-type Homeobox Transcription Factor 2

Alternate Names

CDX3

Gene Symbol

CDX2

UniProt

Additional CDX2 Products

Product Documents for CDX2 Antibody (CDX2/4394R)

Certificate of Analysis

To download a Certificate of Analysis, please enter a lot number in the search box below.

Product Specific Notices for CDX2 Antibody (CDX2/4394R)

This product is for research use only and is not approved for use in humans or in clinical diagnosis. Primary Antibodies are guaranteed for 1 year from date of receipt.

Loading...
Loading...
Loading...
Loading...