Skip to main content

CDC5L Antibody (1E3) - BSA Free

Novus Biologicals, part of Bio-Techne | Catalog # NBP3-26668

Recombinant monoclonal antibody expressed in HEK293F cells
Novus Biologicals, part of Bio-Techne
Catalog #
Availability
Size / Price
Qty
Loading...
NBP3-26668-100ul
NBP3-26668-50ul

Key Product Details

Species Reactivity

Human

Applications

ELISA, Immunocytochemistry/ Immunofluorescence, Immunohistochemistry, Immunoprecipitation, Western Blot

Label

Unconjugated

Antibody Source

Recombinant Monoclonal Rabbit IgG Clone # 1E3 expressed in HEK293

Format

BSA Free

Concentration

Please see the vial label for concentration. If unlisted please contact technical services.

Product Specifications

Immunogen

A synthesized peptide derived from Human CDC5L [UniProt Q99459]

Clonality

Monoclonal

Host

Rabbit

Isotype

IgG

Description

Novus Biologicals Rabbit CDC5L Antibody (1E3) - BSA Free (NBP3-26668) is a recombinant monoclonal antibody validated for use in IHC, WB, ELISA, ICC/IF and IP. All Novus Biologicals antibodies are covered by our 100% guarantee.

Scientific Data Images for CDC5L Antibody (1E3) - BSA Free

CDC5L Antibody (1E3)

Immunoprecipitation: CDC5L Antibody (1E3) [NBP3-26668] -

Immunoprecipitation: CDC5L Antibody (1E3) [NBP3-26668] - Immunoprecipitating CDC5L in Hela whole cell lysate.
Lane 1: Rabbit control IgG instead of NBP3-26668 in Hela whole cell lysate. For western blotting, a HRP-conjugated Protein G antibody was used as the secondary antibody (1/2000).
Lane 2: NBP3-26668 (3ug) + Hela whole cell lysate (500ug).
Lane 3: Hela whole cell lysate (20ug).
CDC5L Antibody (1E3)

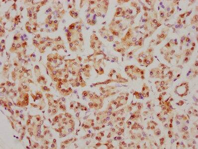
Immunohistochemistry: CDC5L Antibody (1E3) [NBP3-26668] -

Immunohistochemistry: CDC5L Antibody (1E3) [NBP3-26668] - Image of CDC5L Antibody (1E3) diluted at 1:126.5 and staining in paraffin-embedded human appendix tissue performed. After dewaxing and hydration, antigen retrieval was mediated by high pressure in a citrate buffer (pH 6.0). Section was blocked with 10% normal goat serum 30min at RT. Then primary antibody (1% BSA) was incubated at 4C overnight. The primary is detected by a biotinylated secondary antibody and visualized using an HRP conjugated SP system.
CDC5L Antibody (1E3)

Immunohistochemistry: CDC5L Antibody (1E3) [NBP3-26668] -

Immunohistochemistry: CDC5L Antibody (1E3) [NBP3-26668] - Image of CDC5L Antibody (1E3) diluted at 1:126.5 and staining in paraffin-embedded human appendix tissue performed. After dewaxing and hydration, antigen retrieval was mediated by high pressure in a citrate buffer (pH 6.0). Section was blocked with 10% normal goat serum 30min at RT. Then primary antibody (1% BSA) was incubated at 4C overnight. The primary is detected by a biotinylated secondary antibody and visualized using an HRP conjugated SP system.

Applications for CDC5L Antibody (1E3) - BSA Free

Application
Recommended Usage

Immunocytochemistry/ Immunofluorescence

1:20-1:200

Immunohistochemistry

1:50-1:200

Immunoprecipitation

1:200-1:1000

Western Blot

1:500-1:5000

Formulation, Preparation, and Storage

Purification

Affinity purified

Formulation

PBS, pH 7.4, 150mM NaCl, and 50% glycerol

Format

BSA Free

Preservative

0.02% Sodium Azide

Concentration

Please see the vial label for concentration. If unlisted please contact technical services.

Shipping

The product is shipped with polar packs. Upon receipt, store it immediately at the temperature recommended below.

Stability & Storage

Store at -20 to -70C. Avoid freeze-thaw cycles.

Background: CDC5L

CDC5L is encoded by this gene shares a significant similarity with Schizosaccharomyces pombe cdc5 gene product, which is a cell cycle regulator important for G2/M transition. This protein has been demonstrated to act as a positive regulator of cell cycle G2/M progression. It was also found to be an essential component of a non-snRNA spliceosome, which contains at least five additional protein factors and is required for the second catalytic step of pre-mRNA splicing. [provided by RefSeq]

Alternate Names

CDC5, CDC5 (cell division cycle 5, S. pombe, homolog)-like, CDC5 cell division cycle 5-like (S. pombe), Cdc5-like protein, Cdc5-related protein, CEF1, cell division cycle 5-like protein, dJ319D22.1, dJ319D22.1 (CDC5-like protein), hCDC5, KIAA0432, PCDC5RPCDC5-LIKE, Pombe cdc5-related protein

Gene Symbol

CDC5L

Additional CDC5L Products

Product Documents for CDC5L Antibody (1E3) - BSA Free

Certificate of Analysis

To download a Certificate of Analysis, please enter a lot number in the search box below.

Product Specific Notices for CDC5L Antibody (1E3) - BSA Free

This product is for research use only and is not approved for use in humans or in clinical diagnosis. Primary Antibodies are guaranteed for 1 year from date of receipt.

Loading...
Loading...
Loading...
Loading...