Skip to main content

CD9 Antibody (5G6)

Novus Biologicals, part of Bio-Techne | Catalog # NBP2-22187

Novus Biologicals, part of Bio-Techne
Catalog #
Availability
Size / Price
Qty
Loading...
NBP2-22187-0.025ml
NBP2-22187

Key Product Details

Species Reactivity

Validated:

Human

Cited:

Human

Applications

Validated:

Immunohistochemistry, Immunohistochemistry-Paraffin, Western Blot, ELISA, Flow Cytometry, Immunocytochemistry/ Immunofluorescence

Cited:

Western Blot, Immunoassay

Label

Unconjugated

Antibody Source

Monoclonal Mouse IgG1 Clone # 5G6

Concentration

This product is unpurified. The exact concentration of antibody is not quantifiable.

Product Specifications

Immunogen

Synthesized peptide of human CD9.

Localization

Cytoplasm, Membrane

Clonality

Monoclonal

Host

Mouse

Isotype

IgG1

Theoretical MW

25 kDa.
Disclaimer note: The observed molecular weight of the protein may vary from the listed predicted molecular weight due to post translational modifications, post translation cleavages, relative charges, and other experimental factors.

Description

Novus Biologicals Mouse CD9 Antibody (5G6) (NBP2-22187) is a monoclonal antibody validated for use in IHC, WB, ELISA, Flow and ICC/IF. Anti-CD9 Antibody: Cited in 6 publications. All Novus Biologicals antibodies are covered by our 100% guarantee.

Scientific Data Images for CD9 Antibody (5G6)

Western Blot: CD9 Antibody (5G6)BSA Free [NBP2-22187]

Western Blot: CD9 Antibody (5G6)BSA Free [NBP2-22187]

Western Blot: CD9 Antibody (5G6) [NBP2-22187] - Analysis using CD9 mAb against HEK293 (1) and CD9(AA: 37-228)-hIgGFc transfected HEK293 (2) cell lysate.
Immunocytochemistry/ Immunofluorescence: CD9 Antibody (5G6) - BSA Free [NBP2-22187]

Immunocytochemistry/ Immunofluorescence: CD9 Antibody (5G6) - BSA Free [NBP2-22187]

Immunocytochemistry/Immunofluorescence: CD9 Antibody (5G6) [NBP2-22187] - Human endometrial stromal cells stained with anti-CD9 antibody and detected with anti-mouse IgG AlexaFluor 488 secondary antibody (Green). Image submitted by a verified customer review.
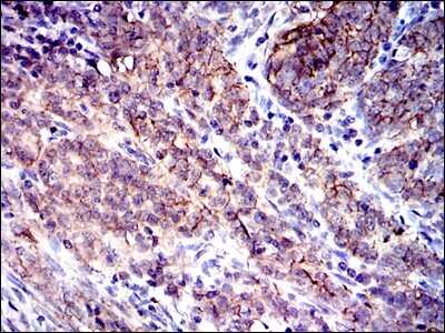
Immunohistochemistry-Paraffin: CD9 Antibody (5G6) - BSA Free [NBP2-22187]

Immunohistochemistry-Paraffin: CD9 Antibody (5G6) - BSA Free [NBP2-22187]

Immunohistochemistry-Paraffin: CD9 Antibody (5G6) [NBP2-22187] - Analysis of kidney cancer tissues using CD9 mouse mAb with DAB staining.

Applications for CD9 Antibody (5G6)

Application
Recommended Usage

ELISA

1:10000

Flow Cytometry

1:200-1:400

Immunocytochemistry/ Immunofluorescence

Validated from a verified customer review

Immunohistochemistry

1:200-1:1000

Immunohistochemistry-Paraffin

1:200-1:1000

Western Blot

1:500-1:2000

Reviewed Applications

Read 1 review rated 5 using NBP2-22187 in the following applications:

Formulation, Preparation, and Storage

Purification

Ascites

Formulation

Ascites

Preservative

0.03% Sodium Azide

Concentration

This product is unpurified. The exact concentration of antibody is not quantifiable.

Shipping

The product is shipped with polar packs. Upon receipt, store it immediately at the temperature recommended below.

Stability & Storage

Store at 4C short term. Aliquot and store at -20C long term. Avoid freeze-thaw cycles.

Background: CD9

This gene encodes a member of the transmembrane 4 superfamily, also known as the tetraspanin family. Tetraspanins are cell surface glycoproteins with four transmembrane domains that form multimeric complexes with other cell surface proteins. The encoded protein functions in many cellular processes including differentiation, adhesion, and signal transduction, and expression of this gene plays a critical role in the suppression of cancer cell motility and metastasis.

Alternate Names

CD9, DRAP-27, MIC3, p24, TSPAN29

Gene Symbol

CD9

Additional CD9 Products

Product Documents for CD9 Antibody (5G6)

Certificate of Analysis

To download a Certificate of Analysis, please enter a lot number in the search box below.

Product Specific Notices for CD9 Antibody (5G6)

This product is for research use only and is not approved for use in humans or in clinical diagnosis. Primary Antibodies are guaranteed for 1 year from date of receipt.

Loading...
Loading...
Loading...
Loading...
Loading...