Skip to main content

CD39/ENTPD1 Antibody (JA90-36)

Novus Biologicals, part of Bio-Techne | Catalog # NBP2-67230

Recombinant Monoclonal Antibody.
Novus Biologicals, part of Bio-Techne
Catalog #
Availability
Size / Price
Qty
Loading...
NBP2-67230

Key Product Details

Species Reactivity

Human, Mouse, Rat

Applications

Immunohistochemistry, Immunohistochemistry-Paraffin, Western Blot

Label

Unconjugated

Antibody Source

Recombinant Monoclonal Rabbit IgG Clone # JA90-36 expressed in HEK293

Concentration

1 mg/ml

Product Specifications

Immunogen

Synthetic peptide within Human CD39/ENTPD1 aa 371-420 / 510. (SwissProt: P49961 Human; SwissProt: P55772 Mouse; SwissProt: P97687 Rat)

Localization

Membrane.

Clonality

Monoclonal

Host

Rabbit

Isotype

IgG

Description

Novus Biologicals Rabbit CD39/ENTPD1 Antibody (JA90-36) (NBP2-67230) is a recombinant monoclonal antibody validated for use in IHC and WB. All Novus Biologicals antibodies are covered by our 100% guarantee.

Scientific Data Images for CD39/ENTPD1 Antibody (JA90-36)

Western Blot: CD39/ENTPD1 Antibody (JA90-36) [NBP2-67230]

Western Blot: CD39/ENTPD1 Antibody (JA90-36) [NBP2-67230]

Western Blot: CD39/ENTPD1 Antibody (JA90-36) [NBP2-67230] - Western blot analysis of CD39/ENTPD1 on different lysates. Proteins were transferred to a PVDF membrane and blocked with 5% BSA in PBS for 1 hour at room temperature. The primary antibody (1/500) was used in 5% BSA at room temperature for 2 hours. Goat Anti-Rabbit IgG - HRP Secondary Antibody (HA1001) at 1:5,000 dilution was used for 1 hour at room temperature. Positive control: Lane 1: mouse heart tissue lysate Lane 2: mouse spleen tissue lysate
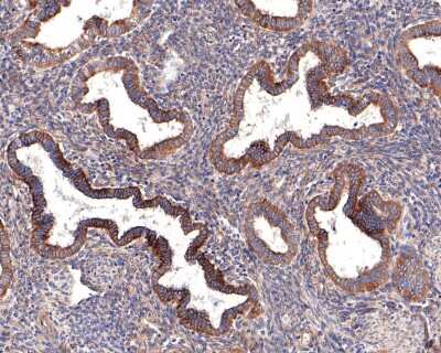
Immunohistochemistry-Paraffin: CD39/ENTPD1 Antibody (JA90-36) [NBP2-67230]

Immunohistochemistry-Paraffin: CD39/ENTPD1 Antibody (JA90-36) [NBP2-67230]

Immunohistochemistry-Paraffin: CD39/ENTPD1 Antibody (JA90-36) [NBP2-67230] - Analysis of paraffin-embedded human endometrium tissue with Rabbit anti-CD39/ENTPDI antibody washed with ddH2O and PBS, and then probed with the primary antibody at 1/400 dilution for 1 hour at room temperature. The detection was performed using an HRP conjugated compact polymer system. DAB was used as the chromogen. Tissues were counterstained with hematoxylin and mounted with DPX.
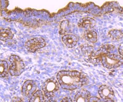
Immunohistochemistry-Paraffin: CD39/ENTPD1 Antibody (JA90-36) [NBP2-67230]

Immunohistochemistry-Paraffin: CD39/ENTPD1 Antibody (JA90-36) [NBP2-67230]

Immunohistochemistry-Paraffin: CD39/ENTPD1 Antibody (JA90-36) [NBP2-67230] - Analysis of paraffin-embedded human placenta tissue using anti-CD39 antibody. Counter stained with hematoxylin.

Applications for CD39/ENTPD1 Antibody (JA90-36)

Application
Recommended Usage

Immunohistochemistry-Paraffin

1:50-1:400

Western Blot

1:500-1:1000

Formulation, Preparation, and Storage

Purification

Protein A purified

Formulation

TBS (pH7.4), 0.05% BSA, 40% Glycerol

Preservative

0.05% Sodium Azide

Concentration

1 mg/ml

Shipping

The product is shipped with polar packs. Upon receipt, store it immediately at the temperature recommended below.

Stability & Storage

Store at 4C short term. Aliquot and store at -20C long term. Avoid freeze-thaw cycles.

Background: CD39/ENTPD1

In the nervous system, could hydrolyze ATP and other nucleotides to regulate purinergic neurotransmission.Could also be implicated in the prevention of platelet aggregation. Hydrolyzes ATP and ADP equally well

Long Name

Ecto-Nucleoside Triphosphate Diphosphohydrolase 1

Alternate Names

ADPase, ATP-diphosphatase, CD39, ENTPD1, NTPD1

Gene Symbol

ENTPD1

Additional CD39/ENTPD1 Products

Product Documents for CD39/ENTPD1 Antibody (JA90-36)

Certificate of Analysis

To download a Certificate of Analysis, please enter a lot number in the search box below.

Product Specific Notices for CD39/ENTPD1 Antibody (JA90-36)

This product is for research use only and is not approved for use in humans or in clinical diagnosis. Primary Antibodies are guaranteed for 1 year from date of receipt.

Loading...
Loading...
Loading...
Loading...