CD31/PECAM-1 Antibody (JC/70A) - Azide and BSA Free
Novus Biologicals, part of Bio-Techne | Catalog # NBP2-80641
Clone JC/70A was used by HLDA to establish CD designation.
Conjugate
Catalog #
Forumulation
Catalog #
Key Product Details
Species Reactivity
Human, Mouse, Feline, Rabbit
Applications
Knockout Validated, Immunohistochemistry, Immunohistochemistry-Paraffin, Immunohistochemistry-Frozen, Western Blot, ELISA, Flow Cytometry, Flow (Cell Surface), Dual RNAscope ISH-IHC, Immunocytochemistry, Immunocytochemistry/ Immunofluorescence, CyTOF-ready
Label
Unconjugated
Antibody Source
Monoclonal Mouse IgG1 kappa Clone # JC/70A
Format
Azide and BSA Free
Concentration
1 mg/ml
Product Specifications
Immunogen
This CD31/PECAM-1 Antibody (JC/70A) was developed against a membrane preparation of a spleen from a patient with hairy cell leukemia.
Reactivity Notes
Rabbit (PMID: 21533193) and Mouse (PMID: 29700126) reactivity reported in scientific literature.
Localization
Cell membrane.
Clonality
Monoclonal
Host
Mouse
Isotype
IgG1 kappa
Theoretical MW
82.5 kDa.
Disclaimer note: The observed molecular weight of the protein may vary from the listed predicted molecular weight due to post translational modifications, post translation cleavages, relative charges, and other experimental factors.
Disclaimer note: The observed molecular weight of the protein may vary from the listed predicted molecular weight due to post translational modifications, post translation cleavages, relative charges, and other experimental factors.
Scientific Data Images for CD31/PECAM-1 Antibody (JC/70A) - Azide and BSA Free
Western Blot Detection of CD31/PECAM-1 in Multiple Cell Lysates
Analysis of CD31/PECAM1 expression in 1) Jurkat whole cell lysate, 2) human platelet lysate and 3) U937 whole cell lysate. Image from the standard format of this antibody.Immunohistological Staining of CD31/PECAM-1 in Frozen Rabbit Heart
Rabbit Heart, CD31 Stained Red. Image from verified customer review. Image from the standard format of this antibody.Immunohistological Staining of CD31/PECAM-1 in Paraffin Embedded Human Tonsil
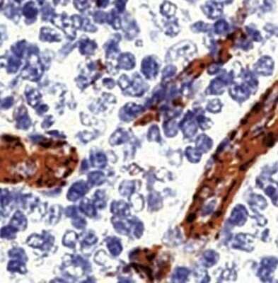
FFPE human tonsil stained with CD31/PECAM-1 Antibody (JC/70A). Image from the standard format of this antibody.Applications for CD31/PECAM-1 Antibody (JC/70A) - Azide and BSA Free
Application
Recommended Usage
ELISA
reported in scientific literature (PMID 8307606)
Flow (Cell Surface)
1:100-1:250
Flow Cytometry
1:100-1:250
Immunohistochemistry-Paraffin
1:10-1:25
Western Blot
1:100-1:500
Application Notes
This CD31/PECAM1 Antibody (JC/70A) reacts with an ~100 kDa glycoprotein expressed by endothelial cells and ~130 kDa glycoprotein present in platelets. It stains endothelial cells in normal as well as malignant tissues. Prior to immunostaining paraffin tissues, antigen retrieval with sodium citrate buffer (pH 6.0) is recommended.
Reviewed Applications
Read 1 review rated 1 using NBP2-80641 in the following applications:
Formulation, Preparation, and Storage
Purification
Protein G purified
Formulation
PBS
Format
Azide and BSA Free
Preservative
No Preservative
Concentration
1 mg/ml
Shipping
The product is shipped with polar packs. Upon receipt, store it immediately at the temperature recommended below.
Stability & Storage
Store at 4C short term. Aliquot and store at -20C long term. Avoid freeze-thaw cycles. After opening store under sterile conditions.
Background: CD31/PECAM-1
PECAM's intracellular cytoplasmic domain consists of a sequence of 118 amino acids and contains serine and tyrosine (also referred to as immunoreceptor tyrosine-based inhibitory motifs-ITIMs) residues, which may be phosphorylated upon cellular stimulation (3). ITIMs are phosphorylated by Src-family kinases and non-Src family kinases (e.g., Csk), leading to a conformational change which supports interactions with Src homology 2 (SH2) domain containing proteins such as protein-tyrosine phosphatase, SHP-2 (1,2). Formation of SHP-2/PECAM-1 complexes induces endothelial cell migration through the dephosphorylation of focal adhesion kinase and regulation of RhoA activity (1). Signaling downstream of ITIM tyrosine phosphorylations also plays a role in PECAM's anti-apoptotic activity, a function which is independent of its interaction with SHP-2. In platelets and leukocytes, phosphorylation of PECAM's cytosolic domain is inhibitory, preventing their activation.
References
1. Lertkiatmongkol, P., Liao, D., Mei, H., Hu, Y., & Newman, P. J. (2016). Endothelial functions of PECAM-1 (CD31). Current Opinion in Hematology. https://doi.org/10.1097/MOH.0000000000000239.Endothelial
2. Privratsky, J. R., & Newman, P. J. (2014). PECAM-1: Regulator of endothelial junctional integrity. Cell and Tissue Research. https://doi.org/10.1007/s00441-013-1779-3
3. Newman, P. J., & Newman, D. K. (2003). Signal transduction pathways mediated by PECAM-1: New roles for an old molecule in platelet and vascular cell biology. Arteriosclerosis, Thrombosis, and Vascular Biology. https://doi.org/10.1161/01.ATV.0000071347.69358.D9
Long Name
Platelet Endothelial Cell Adhesion Molecule 1
Alternate Names
CD31, EndoCAM, PECA1, PECAM-1, PECAM1
Gene Symbol
PECAM1
Additional CD31/PECAM-1 Products
Product Documents for CD31/PECAM-1 Antibody (JC/70A) - Azide and BSA Free
Product Specific Notices for CD31/PECAM-1 Antibody (JC/70A) - Azide and BSA Free
This product is for research use only and is not approved for use in humans or in clinical diagnosis. Primary Antibodies are guaranteed for 1 year from date of receipt.
Loading...
Loading...
Loading...
Loading...
Loading...