Skip to main content

CD31/PECAM-1 Antibody (JC/70A) - BSA Free

Novus Biologicals, part of Bio-Techne | Catalog # NB600-562

Clone JC/70A was used by HLDA to establish CD designation.
Novus Biologicals, part of Bio-Techne

Key Product Details

Validated by

Knockout/Knockdown, Orthogonal Validation

Species Reactivity

Validated:

Human, Mouse, Feline, Rabbit

Cited:

Human, Mouse, Rat, Rabbit

Applications

Validated:

Knockout Validated, Immunohistochemistry, Immunohistochemistry-Paraffin, Immunohistochemistry-Frozen, Western Blot, ELISA, Flow Cytometry, Flow (Cell Surface), Dual RNAscope ISH-IHC, Immunocytochemistry/ Immunofluorescence

Cited:

Immunohistochemistry, Immunohistochemistry-Paraffin, Immunohistochemistry-Frozen, Immunohistochemistry Whole-Mount, Western Blot, ELISA, Flow Cytometry, Immunocytochemistry/ Immunofluorescence, IF/IHC

Label

Unconjugated

Antibody Source

Monoclonal Mouse IgG1 kappa Clone # JC/70A

Format

BSA Free

Concentration

1.0 mg/ml

Product Specifications

Immunogen

This CD31/PECAM-1 Antibody (JC/70A) was developed against a membrane preparation of a spleen from a patient with hairy cell leukemia.

Reactivity Notes

Rabbit (PMID: 21533193) and Mouse (PMID: 29700126) reactivity reported in scientific literature.

Localization

Cell membrane.

Clonality

Monoclonal

Host

Mouse

Isotype

IgG1 kappa

Theoretical MW

82.5 kDa.
Disclaimer note: The observed molecular weight of the protein may vary from the listed predicted molecular weight due to post translational modifications, post translation cleavages, relative charges, and other experimental factors.

Description

Novus Biologicals Knockout (KO) Validated Mouse CD31/PECAM-1 Antibody (JC/70A) - BSA Free (NB600-562) is a monoclonal antibody validated for use in IHC, WB, ELISA, Flow, Dual RNAscope ISH-IHC and ICC/IF. Anti-CD31/PECAM-1 Antibody: Cited in 50 publications. All Novus Biologicals antibodies are covered by our 100% guarantee.

Scientific Data Images for CD31/PECAM-1 Antibody (JC/70A) - BSA Free

Knockout Validation of CD31/PECAM-1 Antibody in THP-1 Cells by Immunocytochemistry/Immunofluorescence

Knockout Validation of CD31/PECAM-1 Antibody in THP-1 Cells by Immunocytochemistry/Immunofluorescence

CD31/PECAM-1 was detected in immersion fixed THP-1 (red, positive) but not THP-1 KO (negative) cells using 8 ug/mL Mouse Anti-Human CD31/PECAM-1 (JC/70A) Monoclonal Antibody (Catalog # NB600-562) for 3 hours at room temperature. Cells were stained with the NorthernLights(TM) 557-conjugated Donkey anti-Mouse IgG Secondary Antibody (red, Catalog # NL007)) and and counterstained with DAPI (blue).
Dual RNAscope ISH-IHC Analysis of CD31/PECAM-1 in Human Tonsil

Dual RNAscope ISH-IHC Analysis of CD31/PECAM-1 in Human Tonsil

Formalin-fixed paraffin-embedded tissue sections of human metastatic tonsil were probed for CD31 mRNA (ACD RNAScope probe, catalog # 487381; Fast Red chromogen, ACD catalog # 322500). Adjacent tissue section was processes for immunohistochemistry using mouse monoclonal (NB600-562) at 1:25 dilution for 1 hour at room temperature followed by incubation with the anti-mouse IgG VisUCyte HRP Polymer Antibody (Catalog # VC001) and DAB chromogen (yellow-brown). Tissue was counterstained with hematoxylin (blue).
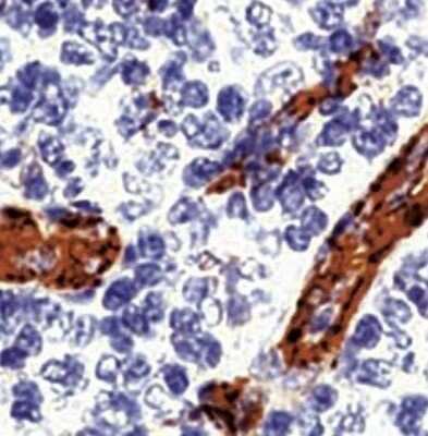
Immunohistological Staining of CD31/PECAM-1 in Frozen Rabbit Heart

Immunohistological Staining of CD31/PECAM-1 in Frozen Rabbit Heart

Rabbit Heart, CD31 Stained Red. Image from verified customer review.

Applications for CD31/PECAM-1 Antibody (JC/70A) - BSA Free

Application
Recommended Usage

Flow (Cell Surface)

1:100-1:250

Flow Cytometry

1:100-1:250

Immunohistochemistry

1:10-1:25

Immunohistochemistry-Paraffin

1:10-1:25

Western Blot

1:100-1:500
Application Notes
This CD31/PECAM1 Antibody (JC/70A) is useful for IHC on paraffin-embedded sections, Flow cytometry and Western blot. It reacts with an ~100 kDa glycoprotein expressed by endothelial cells and ~130 kDa glycoprotein present in platelets. It stains endothelial cells in normal as well as malignant tissues. Prior to immunostaining paraffin tissues, antigen retrieval with sodium citrate buffer (pH 6.0) is recommended. Use in ELISA reported in scientific literature (PMID: 8307606).

Reviewed Applications

Read 5 reviews rated 4.4 using NB600-562 in the following applications:

Formulation, Preparation, and Storage

Purification

Protein G purified

Formulation

PBS

Format

BSA Free

Preservative

0.02% Sodium Azide

Concentration

1.0 mg/ml

Shipping

The product is shipped with polar packs. Upon receipt, store it immediately at the temperature recommended below.

Stability & Storage

Store at 4C short term. Aliquot and store at -20C long term. Avoid freeze-thaw cycles. After opening store under sterile conditions.

Background: CD31/PECAM-1

Cluster of differentiation (CD31), Platelet Endothelial Cell Adhesion Molecule 1 (PECAM-1), is a 30kDa type I transmembrane glycoprotein expressed by endothelial cells, platelets, leukocytes and some lymphocytes (e.g., B and T-cell subsets). Structurally, PECAM-1 consists of six extracellular immunoglobulin-like domains which serve to support various functions including homophilic binding, maintaining high expression of PECAM-1 within endothelial intercellular junctions, and supporting endothelial cell migration (1,2). PECAM's homophilic binding underscores its role in vascular barrier integrity and leukocyte trans-endothelial movement. However, PECAM may also engage in heterophilic interactions with molecules such as glycosaminoglycans (GAG), integrin alpha 5 beta 3, CD38 in lymphocytes and CD177/PR3 in neutrophils (2).

PECAM's intracellular cytoplasmic domain consists of a sequence of 118 amino acids and contains serine and tyrosine (also referred to as immunoreceptor tyrosine-based inhibitory motifs-ITIMs) residues, which may be phosphorylated upon cellular stimulation (3). ITIMs are phosphorylated by Src-family kinases and non-Src family kinases (e.g., Csk), leading to a conformational change which supports interactions with Src homology 2 (SH2) domain containing proteins such as protein-tyrosine phosphatase, SHP-2 (1,2). Formation of SHP-2/PECAM-1 complexes induces endothelial cell migration through the dephosphorylation of focal adhesion kinase and regulation of RhoA activity (1). Signaling downstream of ITIM tyrosine phosphorylations also plays a role in PECAM's anti-apoptotic activity, a function which is independent of its interaction with SHP-2. In platelets and leukocytes, phosphorylation of PECAM's cytosolic domain is inhibitory, preventing their activation.

References

1. Lertkiatmongkol, P., Liao, D., Mei, H., Hu, Y., & Newman, P. J. (2016). Endothelial functions of PECAM-1 (CD31). Current Opinion in Hematology. https://doi.org/10.1097/MOH.0000000000000239.Endothelial

2. Privratsky, J. R., & Newman, P. J. (2014). PECAM-1: Regulator of endothelial junctional integrity. Cell and Tissue Research. https://doi.org/10.1007/s00441-013-1779-3

3. Newman, P. J., & Newman, D. K. (2003). Signal transduction pathways mediated by PECAM-1: New roles for an old molecule in platelet and vascular cell biology. Arteriosclerosis, Thrombosis, and Vascular Biology. https://doi.org/10.1161/01.ATV.0000071347.69358.D9

Long Name

Platelet Endothelial Cell Adhesion Molecule 1

Alternate Names

CD31, EndoCAM, PECA1, PECAM-1, PECAM1, JC70A CD31, JC70A Clone

Entrez Gene IDs

5175 (Human)

Gene Symbol

PECAM1

UniProt

Additional CD31/PECAM-1 Products

Product Documents for CD31/PECAM-1 Antibody (JC/70A) - BSA Free

Certificate of Analysis

To download a Certificate of Analysis, please enter a lot number in the search box below.

Product Specific Notices for CD31/PECAM-1 Antibody (JC/70A) - BSA Free

This product is for research use only and is not approved for use in humans or in clinical diagnosis. Primary Antibodies are guaranteed for 1 year from date of receipt.

Loading...
Loading...
Loading...
Loading...
Loading...
Loading...