Skip to main content

CD1a Antibody (O10)

Novus Biologicals, part of Bio-Techne | Catalog # NBP2-34313

Clone O10 was used by HLDA to establish CD designation.
Novus Biologicals, part of Bio-Techne
Catalog #
Availability
Size / Price
Qty
Loading...
NBP2-34313-0.02mg
NBP2-34313-0.1mg

Key Product Details

Species Reactivity

Validated:

Human, Rhesus Macaque

Cited:

Human

Applications

Validated:

Immunohistochemistry, Immunohistochemistry-Paraffin, Western Blot, Flow Cytometry, Immunocytochemistry/ Immunofluorescence

Cited:

IF/IHC

Label

Unconjugated

Antibody Source

Monoclonal Mouse IgG1 kappa Clone # O10

Concentration

0.2 mg/ml

Product Specifications

Immunogen

Human thymus cells

Localization

Cell surface

Marker

Mature Langerhans Cells Marker

Clonality

Monoclonal

Host

Mouse

Isotype

IgG1 kappa

Theoretical MW

49 kDa.
Disclaimer note: The observed molecular weight of the protein may vary from the listed predicted molecular weight due to post translational modifications, post translation cleavages, relative charges, and other experimental factors.

Description

200ug/ml of antibody purified from Bioreactor Concentrate by Protein A or G. Prepared in 10 mM PBS with 0.05% BSA & 0.05% azide. Also available WITHOUT BSA & azide at 1.0 mg/ml. (NBP2-34697)

Antibody with azide - store at 2 to 8C. Antibody without azide - store at -20 to -80C.

Scientific Data Images for CD1a Antibody (O10)

Immunohistochemistry: CD1a Antibody (O10) [NBP2-34313]

Immunohistochemistry: CD1a Antibody (O10) [NBP2-34313]

Immunohistochemistry: CD1a Antibody (O10) [NBP2-34313] - Immunohistochemistry-Paraffin: CD1a Antibody (O10) - Azide and BSA Free [NBP2-34697] - Human skin. Heat induced antigen retrieval in citrate buffer pH 6 at 95C for 20 minutes. Image from verified customer review.
Flow Cytometry: CD1a Antibody (O10) [NBP2-34313]

Flow Cytometry: CD1a Antibody (O10) [NBP2-34313]

Flow Cytometry: CD1a Antibody (O10) [NBP2-34313] - Flow Cytometric Analysis of MOLT-4 cells using CD1a Antibody (O10) followed by goat anti-Mouse IgG-CF488 (Blue); Isotype control (Red).
Immunohistochemistry-Paraffin: CD1a Antibody (O10) [NBP2-34313]

Immunohistochemistry-Paraffin: CD1a Antibody (O10) [NBP2-34313]

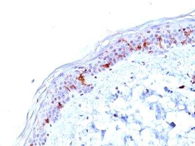
Immunohistochemistry-Paraffin: CD1a Antibody (O10) [NBP2-34313] - Formalin-fixed, paraffin-embedded human skin stained with CD1a MAb (O10).

Applications for CD1a Antibody (O10)

Application
Recommended Usage

Flow Cytometry

1-2 ug/million cells

Immunocytochemistry/ Immunofluorescence

1-2 ug/ml

Immunohistochemistry-Paraffin

1-2 ug/ml

Western Blot

1-2 ug/ml
Application Notes
Immunohistochemistry (Formalin-fixed): 1-2ug/ml for 30 minutes at RT. Staining of formalin-fixed tissues requires heating tissue sections in 10mM Tris with 1mM EDTA, pH 9.0, for 45 min at 95C followed by cooling at RT for 20 minutes.
Optimal dilution for a specific application should be determined.

Formulation, Preparation, and Storage

Purification

Protein A or G purified

Formulation

10 mM PBS with 0.05% BSA

Preservative

0.05% Sodium Azide

Concentration

0.2 mg/ml

Shipping

The product is shipped with polar packs. Upon receipt, store it immediately at the temperature recommended below.

Stability & Storage

Store at 4C.

Background: CD1a

All CD1 molecules, except CD1e, are cell surface glycoproteins that are structurally related to the MHC molecules, however, in distinction, CD1 proteins are essentially non polymorphic. CD1 has considerable structural homology with both MHC class I and class II molecules, and CD1 molecules are involved in T cell activation. In contrast to MHC, however, CD1 molecules appear to present predominantly non peptide molecules originating from lipids and glycolipids.

Long Name

T Cell Surface Glycoprotein CD1a

Alternate Names

CD1a, FCB6, HTA1, R4, T6

Gene Symbol

CD1A

UniProt

Additional CD1a Products

Product Documents for CD1a Antibody (O10)

Certificate of Analysis

To download a Certificate of Analysis, please enter a lot number in the search box below.

Product Specific Notices for CD1a Antibody (O10)

This product is for research use only and is not approved for use in humans or in clinical diagnosis. Primary Antibodies are guaranteed for 1 year from date of receipt.

Loading...
Loading...
Loading...
Loading...
Loading...