Skip to main content

CCM2 Antibody (OTI1E9) - Azide and BSA Free

Novus Biologicals, part of Bio-Techne | Catalog # NBP2-72235

Novus Biologicals, part of Bio-Techne

Key Product Details

Species Reactivity

Human, Mouse, Rat

Applications

Immunohistochemistry, Immunohistochemistry-Paraffin, Western Blot

Label

Unconjugated

Antibody Source

Monoclonal Mouse IgG1 Clone # OTI1E9

Format

Azide and BSA Free

Concentration

LYOPH mg/ml

Product Specifications

Immunogen

Full length human recombinant protein of human CCM2(NP_113631) produced in HEK293T cell.

Reactivity Notes

Please note that this antibody is reactive to Mouse and derived from the same host, Mouse. Mouse-On-Mouse blocking reagent may be needed for IHC and ICC experiments to reduce high background signal. You can find these reagents under catalog numbers PK-2200-NB and MP-2400-NB. Please contact Technical Support if you have any questions.

Clonality

Monoclonal

Host

Mouse

Isotype

IgG1

Theoretical MW

48.7 kDa.
Disclaimer note: The observed molecular weight of the protein may vary from the listed predicted molecular weight due to post translational modifications, post translation cleavages, relative charges, and other experimental factors.

Description

Novus Biologicals Mouse CCM2 Antibody (OTI1E9) - Azide and BSA Free (NBP2-01134) is a monoclonal antibody validated for use in IHC and WB. All Novus Biologicals antibodies are covered by our 100% guarantee.

Scientific Data Images for CCM2 Antibody (OTI1E9) - Azide and BSA Free

Western Blot: CCM2 Antibody (OTI1E9)Azide and BSA Free [NBP2-72235]

Western Blot: CCM2 Antibody (OTI1E9)Azide and BSA Free [NBP2-72235]

Western Blot: CCM2 Antibody (OTI1E9) - Azide and BSA Free [NBP2-72235] - HEK293T cells were transfected with the pCMV6-ENTRY control (Left lane) or pCMV6-ENTRY CCM2 (Right lane) cDNA for 48 hrs and lysed. Equivalent amounts of cell lysates (5 ug per lane) were separated by SDS-PAGE and immunoblotted with anti-CCM2.
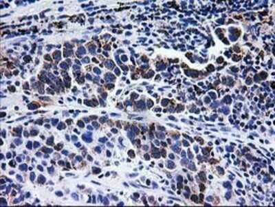
Immunohistochemistry: CCM2 Antibody (OTI1E9) - Azide and BSA Free [NBP2-72235]

Immunohistochemistry: CCM2 Antibody (OTI1E9) - Azide and BSA Free [NBP2-72235]

Immunohistochemistry: CCM2 Antibody (OTI1E9) - Azide and BSA Free [NBP2-72235] - Staining of paraffin-embedded Human lung tissue using anti-CCM2 mouse monoclonal antibody.
Western Blot: CCM2 Antibody (OTI1E9)Azide and BSA Free [NBP2-72235]

Western Blot: CCM2 Antibody (OTI1E9)Azide and BSA Free [NBP2-72235]

Western Blot: CCM2 Antibody (OTI1E9) - Azide and BSA Free [NBP2-72235] - Analysis of extracts (35ug) from 9 different cell lines by using anti-CCM2 monoclonal antibody.

Applications for CCM2 Antibody (OTI1E9) - Azide and BSA Free

Application
Recommended Usage

Immunohistochemistry

1:150

Western Blot

1:500-2000

Formulation, Preparation, and Storage

Purification

Immunogen affinity purified

Reconstitution

we recommend adding 100uL distilled water to a final antibody concentration of about 1 mg/mL. To use this carrier-free antibody for conjugation experiment, we strongly recommend performing another round of desalting process.

Formulation

Lyophilized from PBS (pH 7.3) with 8% Trehalose

Format

Azide and BSA Free

Preservative

No Preservative

Concentration

LYOPH mg/ml

Shipping

The product is shipped with polar packs. Upon receipt, store it immediately at the temperature recommended below.

Stability & Storage

Store at -20C. Avoid freeze-thaw cycles.

Background: CCM2

p16 INK4a is a tumor suppressor protein. It is a specific inhibitor of Cdk 4 / Cdk 6, and a tumor suppressor involved in the pathogenesis of a variety of malignancies. Recent analyses of the p16 INK4a gene revealed homozygous deletions, nonsense, missense, or frameshift mutations in several human cancers. Although the frequency of p16 INK4a abnormalities is higher in tumor derived cell lines than in unselected primary tumors, significant subsets of clinical cases with aberrant p16 INK4a gene have been reported among melanomas, gliomas, esophageal, pancreatic, lung, and urinary bladder carcinomas, and some types of leukemia.

Alternate Names

C7orf22OSM, cerebral cavernous malformation 2, Cerebral cavernous malformations 2 protein, chromosome 7 open reading frame 22, malcavernin, MGC4067, MGC4607, MGC74868

Gene Symbol

CCM2

Additional CCM2 Products

Product Documents for CCM2 Antibody (OTI1E9) - Azide and BSA Free

Certificate of Analysis

To download a Certificate of Analysis, please enter a lot number in the search box below.

Product Specific Notices for CCM2 Antibody (OTI1E9) - Azide and BSA Free

This product is for research use only and is not approved for use in humans or in clinical diagnosis. Primary Antibodies are guaranteed for 1 year from date of receipt.

Loading...
Loading...
Loading...
Loading...
Loading...