Skip to main content

Cathepsin B Antibody - BSA Free

Novus Biologicals, part of Bio-Techne | Catalog # NBP3-16975

Novus Biologicals, part of Bio-Techne
Catalog #
Availability
Size / Price
Qty
Loading...
NBP3-16975-25ul
NBP3-16975-100ul

Key Product Details

Species Reactivity

Human

Applications

Immunohistochemistry, Immunohistochemistry-Paraffin

Label

Unconjugated

Antibody Source

Polyclonal Rabbit IgG

Format

BSA Free

Concentration

Concentrations vary lot to lot. See vial label for concentration. If unlisted please contact technical services.

Product Specifications

Immunogen

This antibody was developed against Recombinant Protein corresponding to amino acids: SIPPCEHHVNGSRPPCTGEGDTPKCSKICEPGYSPTYKQDKHYGYNSYSVSNSEKDIMAEIYKNGPVEGAFSVYSDFLLYKSGVYQHVTGEMMGGHAIRILGWGVENGTPYWLVANSWNTDWGD

Clonality

Polyclonal

Host

Rabbit

Isotype

IgG

Description

Novus Biologicals Rabbit Cathepsin B Antibody - BSA Free (NBP3-16975) is a polyclonal antibody validated for use in IHC. All Novus Biologicals antibodies are covered by our 100% guarantee.

Scientific Data Images for Cathepsin B Antibody - BSA Free

Immunocytochemistry/ Immunofluorescence: Cathepsin B Antibody [NBP3-16975]

Immunocytochemistry/ Immunofluorescence: Cathepsin B Antibody [NBP3-16975]

Immunocytochemistry/Immunofluorescence: Cathepsin B Antibody [NBP3-16975] - Analysis in human thyroid gland and pancreas tissues using Anti-CTSB antibody. Corresponding CTSB RNA-seq data are presented for the same tissues.
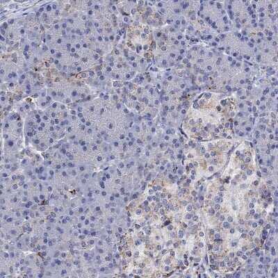
Immunohistochemistry-Paraffin: Cathepsin B Antibody [NBP3-16975]

Immunohistochemistry-Paraffin: Cathepsin B Antibody [NBP3-16975]

Immunohistochemistry-Paraffin: Cathepsin B Antibody [NBP3-16975] - Staining of human pancreas shows low expression as expected.
Immunohistochemistry-Paraffin: Cathepsin B Antibody [NBP3-16975]

Immunohistochemistry-Paraffin: Cathepsin B Antibody [NBP3-16975]

Immunohistochemistry-Paraffin: Cathepsin B Antibody [NBP3-16975] - Staining of human thyroid gland shows high expression.

Applications for Cathepsin B Antibody - BSA Free

Application
Recommended Usage

Immunohistochemistry

1:500 - 1:1000

Immunohistochemistry-Paraffin

1:500 - 1:1000
Application Notes
For IHC-Paraffin, HIER pH 6 retrieval is recommended.

Formulation, Preparation, and Storage

Purification

Affinity purified

Formulation

PBS (pH 7.2) and 40% Glycerol

Format

BSA Free

Preservative

0.02% Sodium Azide

Concentration

Concentrations vary lot to lot. See vial label for concentration. If unlisted please contact technical services.

Shipping

The product is shipped with polar packs. Upon receipt, store it immediately at the temperature recommended below.

Stability & Storage

Store at 4C short term. Aliquot and store at -20C long term. Avoid freeze-thaw cycles.

Background: Cathepsin B

The cathepsin family of proteolytic enzymes contains several diverse classes of proteases. The cysteine protease class comprises cathepsins B, L, H, K, S and O. The aspartyl protease class is composed of cathepsins D and E. cathepsin G is in the serine protease class. Most cathepsins are lysosomal and each is involved in cellular metabolism, participating in various events such as peptide biosynthesis and protein degradation. cathepsin B is expressed in luminal epithelial cells, indicating that cathepsin B is a marker for secretory cell death.

Alternate Names

CTSB

Gene Symbol

CTSB

Additional Cathepsin B Products

Product Documents for Cathepsin B Antibody - BSA Free

Certificate of Analysis

To download a Certificate of Analysis, please enter a lot number in the search box below.

Product Specific Notices for Cathepsin B Antibody - BSA Free

This product is for research use only and is not approved for use in humans or in clinical diagnosis. Primary Antibodies are guaranteed for 1 year from date of receipt.

Loading...
Loading...
Loading...
Loading...