Skip to main content

Caspase-9 Antibody - BSA Free

Novus Biologicals, part of Bio-Techne | Catalog # NB100-56121

Novus Biologicals, part of Bio-Techne
Catalog #
Availability
Size / Price
Qty
Loading...
NB100-56121
NB100-56121SS

Key Product Details

Species Reactivity

Human

Applications

Immunohistochemistry, Immunohistochemistry-Paraffin, Immunoprecipitation, Western Blot

Label

Unconjugated

Antibody Source

Polyclonal Rabbit IgG

Format

BSA Free

Concentration

This product is unpurified. The exact concentration of antibody is not quantifiable.

Product Specifications

Immunogen

A synthetic peptide corresponding to amino acids 188-206 (EKLRRRFSSLHFMVEVKGD) of human caspase-9 was used as immunogen; GenBank no. gi|27802691|gb|AAO21133.1|.

Clonality

Polyclonal

Host

Rabbit

Isotype

IgG

Description

Novus Biologicals Rabbit Caspase-9 Antibody - BSA Free (NB100-56121) is a polyclonal antibody validated for use in IHC, WB and IP. All Novus Biologicals antibodies are covered by our 100% guarantee.

Scientific Data Images for Caspase-9 Antibody - BSA Free

Western Blot: Caspase-9 Antibody [NB100-56121]

Western Blot: Caspase-9 Antibody [NB100-56121]

Western Blot: Caspase-9 Antibody [NB100-56121] - Analysis of Caspase-9 in human HeLa cell lysate at 1:1000.
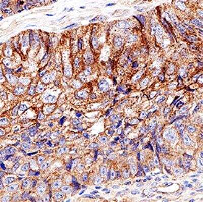
Immunohistochemistry-Paraffin: Caspase-9 Antibody [NB100-56121]

Immunohistochemistry-Paraffin: Caspase-9 Antibody [NB100-56121]

Immunohistochemistry-Paraffin: Caspase-9 Antibody - Unpurified [NB100-56121] - Caspase-9 Antibody [NB100-56121] - analysis of formalin fixed paraffin-embedded (FFPE) human colon cancer using Caspase-9 antibody at 1:500 on a Bond Rx autostainer (Leica Biosystems). The assay involved 20 minutes of heat induced antigen retrieval (HIER) using 10mM sodium citrate buffer (pH 6.0) and endogenous peroxidase quenching with peroxide block. The sections were incubated with primary antibody for 30 minutes and Bond Polymer Refine Detection (Leica Biosystems) with DAB was used for signal development followed by counterstaining with hematoxylin. Whole slide scanning and capturing of representative images was performed using Aperio AT2 (Leica Biosystems). Cytoplasmic staining of Caspase 9 was observed. Staining was performed by Histowiz.

Applications for Caspase-9 Antibody - BSA Free

Application
Recommended Usage

Immunohistochemistry

1:200-1:500

Immunohistochemistry-Paraffin

1:200-1:500

Immunoprecipitation

1:50-1:200

Western Blot

1:1000-1:2000

Formulation, Preparation, and Storage

Purification

Unpurified

Formulation

Whole antisera

Format

BSA Free

Preservative

0.02% Sodium Azide

Concentration

This product is unpurified. The exact concentration of antibody is not quantifiable.

Shipping

The product is shipped with polar packs. Upon receipt, store it immediately at the temperature recommended below.

Stability & Storage

Store at 4C short term. Aliquot and store at -20C long term. Avoid freeze-thaw cycles.

Background: Caspase-9

Apoptosis, or programmed cell death, is a common property of all multicellular organisms. The current dogma of apoptosis suggests that the components of the core cell-death machinery are integral to cells and widely conserved across species. Caspases, a family of cysteinyl aspartate-specific proteases, are integral components of the cell death machinery (reviewed in Siegal, 2006; and Lavrik et al, 2005). They play a central role in the initiation and execution of apoptotic cell death and in inflammation. Caspases are typically divided into 3 major groups, depending on the structure of their prodomain and their function. Group 1: inflammatory caspases (caspases 1, 4, 5, 11, 12, 14). Group II: initiator of apoptosis caspases (caspases 2, 8, 9). Group II: effector caspases (caspases 3, 6, 7). Caspases are synthesized as zymogens (inactive pro enzyme precursors which require a biochemical change to become active enzymes) with an N-terminal prodomain of variable length followed by a large subunit (p20) and a small subunit (p10). Caspases are activated through proteolytic cleavage at specific asparagine residues that are located within the prodomain, the p10, and p20 subunits. Activation results in the generation of mature active caspases that consist of the heterotetramer p202-p102. Active caspases mediate cell death and inflammation through cleavage of particular cellular substrates that are involved in these processes. The Caspase-9 polyclonal antisera recognizes the proform of caspase-9 (approx. 50 kDa), and the large (approx. 35 kDa) subunit of active/cleaved Caspase-9. It does not recognize the small (approx. 15 kDa) subunit of active/cleaved Caspase-9.

Alternate Names

CASP9, Caspase9

Entrez Gene IDs

842 (Human)

Gene Symbol

CASP9

Additional Caspase-9 Products

Product Documents for Caspase-9 Antibody - BSA Free

Certificate of Analysis

To download a Certificate of Analysis, please enter a lot number in the search box below.

Product Specific Notices for Caspase-9 Antibody - BSA Free

This product is for research use only and is not approved for use in humans or in clinical diagnosis. Primary Antibodies are guaranteed for 1 year from date of receipt.

Loading...
Loading...
Loading...
Loading...
Loading...