Skip to main content

Caspase-4 Antibody - BSA Free

Novus Biologicals, part of Bio-Techne | Catalog # NBP3-13397

Novus Biologicals, part of Bio-Techne
Catalog #
Availability
Size / Price
Qty
Loading...
NBP3-13397

Key Product Details

Validated by

Biological Validation

Species Reactivity

Human

Applications

Western Blot

Label

Unconjugated

Antibody Source

Polyclonal Rabbit IgG

Format

BSA Free

Concentration

Concentrations vary lot to lot. See vial label for concentration. If unlisted please contact technical services.

Product Specifications

Immunogen

Carrier-protein conjugated synthetic peptide encompassing a sequence within the N-terminus region of human Caspase-4. The exact sequence is proprietary.

Clonality

Polyclonal

Host

Rabbit

Isotype

IgG

Theoretical MW

43 kDa.
Disclaimer note: The observed molecular weight of the protein may vary from the listed predicted molecular weight due to post translational modifications, post translation cleavages, relative charges, and other experimental factors.

Description

Centrifuge briefly prior to opening.

Scientific Data Images for Caspase-4 Antibody - BSA Free

Western Blot: Caspase-4 Antibody [NBP3-13397]

Western Blot: Caspase-4 Antibody [NBP3-13397]

Western Blot: Caspase-4 Antibody [NBP3-13397] - Non-transfected (-) and transfected (+) 293T whole cell extracts (30 ug) were separated by 12% SDS-PAGE, and the membrane was blotted with Caspase-4 antibody (NBP3-13397) diluted at 1:5000. The HRP-conjugated anti-rabbit IgG antibody (NBP2-19301) was used to detect the primary antibody.
Western Blot: Caspase-4 Antibody [NBP3-13397]

Western Blot: Caspase-4 Antibody [NBP3-13397]

Western Blot: Caspase-4 Antibody [NBP3-13397] - THP-1 whole cell extracts (30 ug) were separated by 15% SDS-PAGE, and the membrane was blotted with Caspase-4 (cleaved Gln81) antibody (NBP3-13397) diluted at 1:500. The HRP-conjugated anti-rabbit IgG antibody (NBP2-19301) was used to detect the primary antibody.
Caspase-4 Antibody - BSA Free

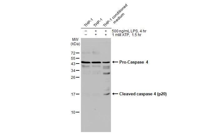
Western Blot: Caspase-4 Antibody [NBP3-13397] -

Untreated (-) and treated (+) THP-1 whole cell extract and conditioned medium (30 ug) were separated by 15% SDS-PAGE, and the membrane was blotted with Caspase 4 antibody (NBP3-13397) diluted at 1:500. The HRP-conjugated anti-rabbit IgG antibody was used to detect the primary antibody, and the signal was developed with Trident ECL plus-Enhanced.

Applications for Caspase-4 Antibody - BSA Free

Application
Recommended Usage

Western Blot

1:500-1:3000

Formulation, Preparation, and Storage

Purification

Antigen Affinity-purified

Formulation

PBS, 20% Glycerol

Format

BSA Free

Preservative

0.025% Proclin 300

Concentration

Concentrations vary lot to lot. See vial label for concentration. If unlisted please contact technical services.

Shipping

The product is shipped with polar packs. Upon receipt, store it immediately at the temperature recommended below.

Stability & Storage

Store at 4C short term. Aliquot and store at -20C long term. Avoid freeze-thaw cycles.

Background: Caspase-4

Caspase 4 encodes a protein that is a member of the cysteine-aspartic acid protease (caspase) family. Sequential activation of caspases plays a central role in the execution-phase of cell apoptosis. Caspases exist as inactive proenzymes composed of a prodomain and a large and small protease subunit. Activation of caspases requires proteolytic processing at conserved internal aspartic residues to generate a heterodimeric enzyme consisting of the large and small subunits. This caspase is able to cleave and activate its own precursor protein, as well as caspase 1 precursor. When overexpressed, this gene induces cell apoptosis. Alternative splicing results in transcript variants encoding distinct isoforms.

Alternate Names

CASP4, Caspase4, ICE(rel)II, ICH-2, Mih1/TX, TX

Gene Symbol

CASP4

Additional Caspase-4 Products

Product Documents for Caspase-4 Antibody - BSA Free

Certificate of Analysis

To download a Certificate of Analysis, please enter a lot number in the search box below.

Product Specific Notices for Caspase-4 Antibody - BSA Free

This product is for research use only and is not approved for use in humans or in clinical diagnosis. Primary Antibodies are guaranteed for 1 year from date of receipt.

Loading...
Loading...
Loading...
Loading...