Skip to main content

CARD8 Antibody - BSA Free

Novus Biologicals, part of Bio-Techne | Catalog # NB100-56182

Novus Biologicals, part of Bio-Techne
Catalog #
Availability
Size / Price
Qty
Loading...
NB100-56182
NB100-56182SS

Key Product Details

Species Reactivity

Human

Applications

Immunohistochemistry, Immunohistochemistry-Paraffin, Immunoprecipitation, Western Blot

Label

Unconjugated

Antibody Source

Polyclonal Rabbit IgG

Format

BSA Free

Concentration

This product is unpurified. The exact concentration of antibody is not quantifiable.

Product Specifications

Immunogen

A synthetic peptide corresponding to amino acids 125-146 (LVGGPLFDVTAEPEEAVAEIHL) of human TUCAN (CARD8) was used as immunogen, GenBank no. gi|14424229|sp|Q9Y2G2|CARD8_HUMAN.

Clonality

Polyclonal

Host

Rabbit

Isotype

IgG

Description

Novus Biologicals Rabbit CARD8 Antibody - BSA Free (NB100-56182) is a polyclonal antibody validated for use in IHC, WB and IP. All Novus Biologicals antibodies are covered by our 100% guarantee.

Scientific Data Images for CARD8 Antibody - BSA Free

Western Blot: CARD8 Antibody [NB100-56182]

Western Blot: CARD8 Antibody [NB100-56182]

Western Blot: CARD8 Antibody - Unpurified [NB100-56182] - Analysis of TUCAN in five matched pairs of normal colonic mucosa (N) and colon carcinoma (T) using this antibody. Specimens were normalized for total protein content. Each set of N and T is tissue lysate from the same patient.
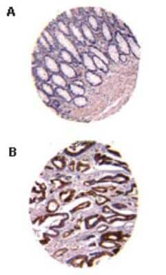
Immunohistochemistry-Paraffin: CARD8 Antibody [NB100-56182]

Immunohistochemistry-Paraffin: CARD8 Antibody [NB100-56182]

Immunohistochemistry-Paraffin: CARD8 Antibody - Unpurified [NB100-56182] - Staining of Human Colon tissue sections labeled for TUCAN using this antibody at 1:2000. Hematoxylin-eosin counterstain. A) normal adjacent colonic epithelium B) matched malignant colonic epithelium shown in a region of invasive cancer. A and B are from the same colon carcinoma patient.

Applications for CARD8 Antibody - BSA Free

Application
Recommended Usage

Immunohistochemistry-Paraffin

1:1000-1:5000

Immunoprecipitation

1:50-1:200

Western Blot

1:1000-1:2000
Application Notes
The gene encoding TUCAN produces, by alternative splicing, multiple transcripts, with introns, putatively encoding numerous different protein isoforms. Thus the molecular weight observed by SDS-PAGE can vary depending on the TUCAN form expressed.

Formulation, Preparation, and Storage

Purification

Unpurified

Formulation

Whole antisera

Format

BSA Free

Preservative

0.05% Sodium Azide

Concentration

This product is unpurified. The exact concentration of antibody is not quantifiable.

Shipping

The product is shipped with polar packs. Upon receipt, store it immediately at the temperature recommended below.

Stability & Storage

Store at 4C short term. Aliquot and store at -20C long term. Avoid freeze-thaw cycles.

Background: CARD8

TUCAN (also known as CARD8 and CARDINAL) is a CARD domain containing protein. TUCAN stands for tumor-up-regulated CARD-containing antagonist of caspase nine. Proteins containing a CARD (caspase-associated recruitment domain) domain are key regulators of cell death, cell survival and cytokine production (reviewed in Damiano and Reed, 2004). CARD domains are found in the N-terminal pro-domains of certain caspases, a family of apoptotic and pro-inflammatory proteases, as well as in a diversity of other proteins including TUCAN. CARD domains are homotypic protein interaction motifs that enable networks of proteins to communicate via CARD-CARD interactions. TUCAN is an anti-apoptotic CARD protein that can protect tumors from cell death stimuli and is overexpressed in certain forms of cancer. The role of TUCAN in tumor biology remains to be fully elucidated, and there appears to be various mechanisms by TUCAN can potentially contribute to apoptosis resistance (reviewed in Checinska et al, 2006). For example, TUCAN has been shown to inhibit caspase-9 activation by binding to the CARD region of pro-caspase-9, thereby suppressing the formation of the Apaf-1-caspase-9 apoptotic complex and apoptosis. Additionally, a TUCAN isoform has been described that blocks both caspase-8 and caspase-9 mediated apoptosis. However, in some tumors, TUCAN does not appear to interact with caspase-9 and may play a role in modulating NF-kB transcription factor survival signaling pathways. In this regard a CARD-independent interaction of TUCAN with Ikkg has been described, resulting in the inhibition of interleukin-1 and TNF-induced NF-kB activation. Human TUCAN is a 431 amino acid protein according to GenBank no. gi|14424229|sp|Q9Y2G2|CARD8_HUMAN and migrates at ~45-49 kDa on SDS-PAGE.

Alternate Names

Apoptotic protein NDPP1, CARD inhibitor of NF-kappaB-activating ligands, CARDINALFLJ18121, CARD-inhibitor of NF-kappa-B-activating ligand, caspase recruitment domain family, member 8, caspase recruitment domain-containing protein 8, DACAR, Dakar, KIAA0955DKFZp779L0366, NDPP, NDPP1MGC57162, TUCANFLJ18119, Tumor up-regulated CARD-containing antagonist of CASP9, tumor up-regulated CARD-containing antagonist of caspase nine

Entrez Gene IDs

22900 (Human)

Gene Symbol

CARD8

Additional CARD8 Products

Product Documents for CARD8 Antibody - BSA Free

Certificate of Analysis

To download a Certificate of Analysis, please enter a lot number in the search box below.

Product Specific Notices for CARD8 Antibody - BSA Free

This product is for research use only and is not approved for use in humans or in clinical diagnosis. Primary Antibodies are guaranteed for 1 year from date of receipt.

Loading...
Loading...
Loading...
Loading...