Skip to main content

Cannabinoid R1/CB1/CNR1 Antibody - BSA Free

Novus Biologicals, part of Bio-Techne | Catalog # NLS31

Novus Biologicals, part of Bio-Techne
Catalog #
Availability
Size / Price
Qty
Loading...
NLS31

Key Product Details

Species Reactivity

Validated:

Human, Mouse, Rat, Hamster, Monkey, Primate

Predicted:

Chimpanzee (100%), Feline (100%). Backed by our 100% Guarantee.

Applications

Immunocytochemistry/ Immunofluorescence, Immunohistochemistry, Immunohistochemistry-Paraffin

Label

Unconjugated

Antibody Source

Polyclonal Rabbit IgG

Format

BSA Free

Concentration

1.0 mg/ml

Product Specifications

Immunogen

Synthetic 18 amino acid peptide from 3rd cytoplasmic domain of human Cannabinoid R1/CB1/CNR1.

Epitope

3rd cytoplasmic domain

Specificity

Human Cannabinoid R1/CB1/CNR1. BLAST analysis of the peptide immunogen showed no homology with other human proteins.

Clonality

Polyclonal

Host

Rabbit

Isotype

IgG

Description

Product can be stored undiluted at 4C for up to 1 month.

Scientific Data Images for Cannabinoid R1/CB1/CNR1 Antibody - BSA Free

Immunohistochemistry-Paraffin: Cannabinoid R1/CB1/CNR1 Antibody - BSA Free [NLS31]

Immunohistochemistry-Paraffin: Cannabinoid R1/CB1/CNR1 Antibody - BSA Free [NLS31]

Immunohistochemistry-Paraffin: Cannabinoid R1/CB1/CNR1 Antibody [NLS31] - Human Brain
Immunohistochemistry-Paraffin: Cannabinoid R1/CB1/CNR1 Antibody - BSA Free [NLS31]

Immunohistochemistry-Paraffin: Cannabinoid R1/CB1/CNR1 Antibody - BSA Free [NLS31]

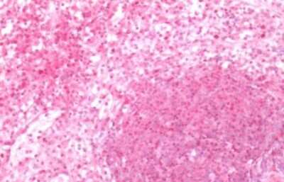
Immunohistochemistry-Paraffin: Cannabinoid R1/CB1/CNR1 Antibody [NLS31] - Human Spleen
Cannabinoid R1/CB1/CNR1 Antibody - BSA Free

Immunocytochemistry/ Immunofluorescence: Cannabinoid R1/CB1/CNR1 Antibody - BSA Free [NLS31] -

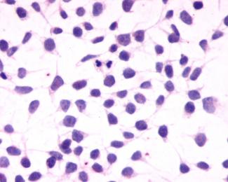
Immunocytochemistry/ Immunofluorescence: Cannabinoid R1/CB1/CNR1 Antibody - BSA Free [NLS31] - Immunocytochemistry staining of untransfected HEK293 human embryonic kidney cells.

Applications for Cannabinoid R1/CB1/CNR1 Antibody - BSA Free

Application
Recommended Usage

Immunohistochemistry-Paraffin

5 - 10 ug/ml
Application Notes
.

Formulation, Preparation, and Storage

Purification

Immunogen affinity purified

Formulation

PBS

Format

BSA Free

Preservative

0.1% Sodium Azide

Concentration

1.0 mg/ml

Shipping

The product is shipped with polar packs. Upon receipt, store it immediately at the temperature recommended below.

Stability & Storage

Keep as concentrated solution. Aliquot and store at -20C or below. Avoid multiple freeze-thaw cycles.

Background: Cannabinoid R1/CB1/CNR1

CB1 Cannabinoid receptor is associated with the regulation of cognition, memory, and motor activity. The CB1 receptor mediates cannabinoid-induced CNS effects and the addictive behavior experienced by users of marijuana. Three splice variants that are produced by alternative splicing have been identified for this gene. CB1 has been reported primarily in the brain and, to a lower extent, in peripheral tissues including adrenal, heart, lung, prostate, uterus, ovary, testis, bone marrow, thymus, and tonsil. ESTs have been isolated from brain, embryo, heart/melanocyte/uterus, lung, placenta, testis, tonsil, and vessel libraries.

Long Name

Cannabinoid Receptor 1

Alternate Names

CANN6, CannabinoidR1, CB-R, CB1, CB1A, CB1K5, CB1R, CNR1, SKR6R

Entrez Gene IDs

1268 (Human); 25248 (Rat)

Gene Symbol

CNR1

UniProt

Additional Cannabinoid R1/CB1/CNR1 Products

Product Documents for Cannabinoid R1/CB1/CNR1 Antibody - BSA Free

Certificate of Analysis

To download a Certificate of Analysis, please enter a lot number in the search box below.

Product Specific Notices for Cannabinoid R1/CB1/CNR1 Antibody - BSA Free

This product is for research use only and is not approved for use in humans or in clinical diagnosis. Primary Antibodies are guaranteed for 1 year from date of receipt.

Loading...
Loading...
Loading...
Loading...