Skip to main content

CAMP/LL37/FALL39/Cathelicidin Antibody (PSH01-73)

Novus Biologicals, part of Bio-Techne | Catalog # NBP3-32194

Recombinant Monoclonal Antibody
Novus Biologicals, part of Bio-Techne
Catalog #
Availability
Size / Price
Qty
Loading...
NBP3-32194

Key Product Details

Species Reactivity

Human, Mouse, Rat

Applications

Immunohistochemistry

Label

Unconjugated

Antibody Source

Recombinant Monoclonal Rabbit IgG Clone # PSH01-73 expressed in HEK293

Concentration

1 mg/ml

Product Specifications

Immunogen

Recombinant protein within human CAMP/LL37/FALL39/Cathelicidin aa 1-170 / 170. (Uniprot: P49913)

Localization

Secreted, Vesicle.

Clonality

Monoclonal

Host

Rabbit

Isotype

IgG

Theoretical MW

19 kDa.
Disclaimer note: The observed molecular weight of the protein may vary from the listed predicted molecular weight due to post translational modifications, post translation cleavages, relative charges, and other experimental factors.

Description

Novus Biologicals Rabbit CAMP/LL37/FALL39/Cathelicidin Antibody (PSH01-73) (NBP3-32194) is a recombinant monoclonal antibody validated for use in IHC. All Novus Biologicals antibodies are covered by our 100% guarantee.

Scientific Data Images for CAMP/LL37/FALL39/Cathelicidin Antibody (PSH01-73)

CAMP/LL37/FALL39/Cathelicidin Antibody (PSH01-73)

Immunohistochemistry: CAMP/LL37/FALL39/Cathelicidin Antibody (PSH01-73) [NBP3-32194]

Immunohistochemistry: CAMP/LL37/FALL39/Cathelicidin Antibody (PSH01-73) [NBP3-32194] - Immunofluorescence analysis of paraffin-embedded human spleen tissue labeling CAMP/LL37/FALL39/Cathelicidin with Rabbit anti-CAMP/LL37/FALL39/Cathelicidin antibody (NBP3-32194) at 1/200 dilution.

The section was pre-treated using heat mediated antigen retrieval with Tris-EDTA buffer (pH 9.0) for 20 minutes. The tissues were blocked in 10% negative goat serum for 1 hour at room temperature, washed with PBS, and then probed with the primary antibody (NBP3-32194, green) at 1/200 dilution overnight at 4 ℃, washed with PBS. Goat Anti-Rabbit IgG H&L (iFluor™ 488) was used as the secondary antibody at 1/1,000 dilution. Nuclei were counterstained with DAPI (blue).
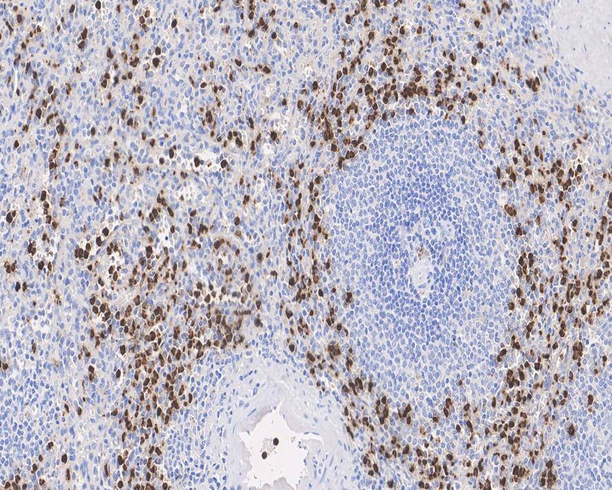
CAMP/LL37/FALL39/Cathelicidin Antibody (PSH01-73)

Immunohistochemistry: CAMP/LL37/FALL39/Cathelicidin Antibody (PSH01-73) [NBP3-32194]

Immunohistochemistry: CAMP/LL37/FALL39/Cathelicidin Antibody (PSH01-73) [NBP3-32194] - Immunohistochemical analysis of paraffin-embedded human spleen tissue with Rabbit anti-CAMP/LL37/FALL39/Cathelicidin antibody (NBP3-32194) at 1/5,000 dilution.

The section was pre-treated using heat mediated antigen retrieval with Tris-EDTA buffer (pH 9.0) for 20 minutes. The tissues were blocked in 1% BSA for 20 minutes at room temperature, washed with ddH2O and PBS, and then probed with the primary antibody (NBP3-32194) at 1/5,000 dilution for 1 hour at room temperature. The detection was performed using an HRP conjugated compact polymer system. DAB was used as the chromogen. Tissues were counterstained with hematoxylin and mounted with DPX.

Applications for CAMP/LL37/FALL39/Cathelicidin Antibody (PSH01-73)

Application
Recommended Usage

Immunohistochemistry

1:1000-1:5000

Formulation, Preparation, and Storage

Purification

Protein A purified

Formulation

PBS (pH7.4), 0.1% BSA and 40% Glycerol

Preservative

0.05% Sodium Azide

Concentration

1 mg/ml

Shipping

The product is shipped with polar packs. Upon receipt, store it immediately at the temperature recommended below.

Stability & Storage

Store at 4C short term. Aliquot and store at -20C long term. Avoid freeze-thaw cycles.

Background: CAMP/LL37/FALL39

Cathelicidins are a family of antimicrobial proteins predominantly found in the peroxidase negative granules of neutrophils. The cathelicidins are synthesized as preproproteins. Within the neutrophils, they are stored in granules as inactive proforms after removal of the signal peptide. The active biologic domains of the cathelicidins generally reside in the C terminus. The C terminal antimicrobial peptides are activated when cleaved from the proforms of the cathelicidins by serine proteases from azurophil granules. FUNCTION: Binds to bacterial lipopolysaccharides (LPS), has antibacterial activity. SUBCELLULAR LOCATION: Secreted. TISSUE SPECIFICITY: Expressed in bone marrow and testis and neutrophils.

Long Name

Cathelicidin Antimicrobial Peptide

Alternate Names

CAMP, CAP18, CRAMP, FALL39

Gene Symbol

CAMP

Additional CAMP/LL37/FALL39 Products

Product Documents for CAMP/LL37/FALL39/Cathelicidin Antibody (PSH01-73)

Certificate of Analysis

To download a Certificate of Analysis, please enter a lot number in the search box below.

Product Specific Notices for CAMP/LL37/FALL39/Cathelicidin Antibody (PSH01-73)

This product is for research use only and is not approved for use in humans or in clinical diagnosis. Primary Antibodies are guaranteed for 1 year from date of receipt.

Loading...
Loading...
Loading...
Loading...