Skip to main content

Calretinin Antibody - BSA Free

Novus Biologicals, part of Bio-Techne | Catalog # NBP1-88220

Novus Biologicals, part of Bio-Techne
Catalog #
Availability
Size / Price
Qty
Loading...
NBP1-88220-25ul
NBP1-88220

Key Product Details

Validated by

Knockout/Knockdown, Orthogonal Validation, Independent Antibodies

Species Reactivity

Human, Mouse, Rat

Applications

Immunohistochemistry, Immunohistochemistry-Paraffin, Western Blot, Immunocytochemistry/ Immunofluorescence, Knockdown Validated

Label

Unconjugated

Antibody Source

Polyclonal Rabbit IgG

Format

BSA Free

Concentration

Concentrations vary lot to lot. See vial label for concentration. If unlisted please contact technical services.

Product Specifications

Immunogen

This antibody was developed against Recombinant Protein corresponding to amino acids: MAGPQQQPPYLHLAELTASQFLEIWKHFDADGNGYIEGKELENFFQELEKARKGSGMMSKSDNFGEKMKEFMQKYDKNSDGKIEMAELAQILPTEENFLLCFRQHVGSSAEFMEAWRKY

Marker

Mesothelial Cell Marker

Clonality

Polyclonal

Host

Rabbit

Isotype

IgG

Description

Novus Biologicals Rabbit Calretinin Antibody - BSA Free (NBP1-88220) is a polyclonal antibody validated for use in IHC, WB and ICC/IF. Anti-Calretinin Antibody: Cited in 1 publication. All Novus Biologicals antibodies are covered by our 100% guarantee.

Scientific Data Images for Calretinin Antibody - BSA Free

Calretinin Antibody - BSA Free Immunocytochemistry/ Immunofluorescence: Calretinin Antibody - BSA Free [NBP1-88220]

Immunocytochemistry/ Immunofluorescence: Calretinin Antibody - BSA Free [NBP1-88220]

Staining of human cell line A-431 shows localization to cytosol.
Immunohistochemistry-Paraffin: Calretinin Antibody [NBP1-88220]

Immunohistochemistry-Paraffin: Calretinin Antibody [NBP1-88220]

Immunohistochemistry-Paraffin: Calretinin Antibody [NBP1-88220] - Staining of human cerebellum, skeletal muscle, stomach and testis using Anti-CALB2 antibody NBP1-88220 (A) shows similar protein distribution across tissues to independent antibody NBP1-88221 (B).
Immunohistochemistry-Paraffin: Calretinin Antibody [NBP1-88220]

Immunohistochemistry-Paraffin: Calretinin Antibody [NBP1-88220]

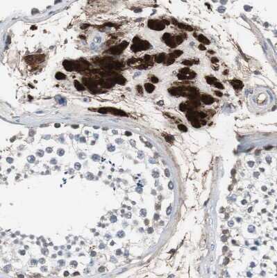
Immunohistochemistry-Paraffin: Calretinin Antibody [NBP1-88220] - Staining in human testis and skeletal muscle tissues using NBP1-88220 antibody. Corresponding CALB2 RNA-seq data are presented for the same tissues.

Applications for Calretinin Antibody - BSA Free

Application
Recommended Usage

Immunocytochemistry/ Immunofluorescence

0.25-2 ug/ml

Immunohistochemistry

1:200 - 1:500

Immunohistochemistry-Paraffin

1:200 - 1:500

Western Blot

0.04-0.4 ug/ml
Application Notes
For IHC-Paraffin, HIER pH 6 retrieval is recommended. ICC/IF Fixation Permeabilization: Use PFA/Triton X-100.

Reviewed Applications

Read 1 review rated 5 using NBP1-88220 in the following applications:

Formulation, Preparation, and Storage

Purification

Affinity purified

Formulation

PBS (pH 7.2) and 40% Glycerol

Format

BSA Free

Preservative

0.02% Sodium Azide

Concentration

Concentrations vary lot to lot. See vial label for concentration. If unlisted please contact technical services.

Shipping

The product is shipped with polar packs. Upon receipt, store it immediately at the temperature recommended below.

Stability & Storage

Store at 4C short term. Aliquot and store at -20C long term. Avoid freeze-thaw cycles.

Background: Calretinin

Calretinin (CAB29, calbindin 2) is a calcium binding protein that belongs to calbindin family. It is mainly found in neuronal tissue, high expressed in auditory neurons. It has been implicated in as a calcium buffer, calcium sensor, and as a regulator of apoptosis (1). Calretinin is considered as a specific marker of mesothelllal cells; it is the only marker that has the utility in distinguishing between sarcomatoid mesotheliomas and sarcomatoid renal cell carcinomas (2). It is widely used in the panel of makers for distinguishing mesothlioma from adenocarcinoma. Along with calretinin, the panel includes E-cadherin, CEA, and cytokeratin 5/6 (3).

Alternate Names

CAB29, CAL2, CALB2

Gene Symbol

CALB2

Additional Calretinin Products

Product Documents for Calretinin Antibody - BSA Free

Certificate of Analysis

To download a Certificate of Analysis, please enter a lot number in the search box below.

Product Specific Notices for Calretinin Antibody - BSA Free

This product is for research use only and is not approved for use in humans or in clinical diagnosis. Primary Antibodies are guaranteed for 1 year from date of receipt.

Loading...
Loading...
Loading...
Loading...