Calponin 1 Antibody (CNN1/832 + CALP) - Azide and BSA Free
Novus Biologicals, part of Bio-Techne | Catalog # NBP2-47758
Conjugate
Catalog #
Forumulation
Catalog #
Key Product Details
Species Reactivity
Human, Rat
Applications
Immunohistochemistry, Immunohistochemistry-Paraffin, Flow Cytometry, Immunofluorescence, Immunocytochemistry/ Immunofluorescence, CyTOF-ready
Label
Unconjugated
Antibody Source
Monoclonal Mouse IgG1 kappa Clone # CNN1/832 + CALP
Format
Azide and BSA Free
Concentration
1.0 mg/ml
Product Specifications
Immunogen
Recombinant full-length human Calponin 1 protein (Calponin 1/832); Crude human uterus extract (CALP) (Uniprot: P51911)
Localization
Cytoplasmic
Specificity
Multiple isoelectric variants of calponin have been identified, however only two molecular weight isoforms exist; a 34kDa form and a 29kDa form. Expression of the 29kDa form, I-calponin, is primarily restricted to muscle of the urogenital tract, whereas the higher molecular weight variant has been demonstrated in vascular and visceral smooth muscle. In Western blotting, this monoclonal antibody reacts with only the 34kDa form of calponin in extracts of human aortic medial smooth muscle and is unreactive with fibroblast extracts of cultivated human foreskin. Calponin is a calmodulin, F-actin and tropomyosin binding protein, which is thought to be involved in the regulation of smooth muscle contraction. Calponin expression is restricted to smooth muscle cells and has been shown to be a marker of the differentiated (contractile) phenotype of developing smooth muscle.
Marker
Smooth Muscle Marker
Clonality
Monoclonal
Host
Mouse
Isotype
IgG1 kappa
Theoretical MW
34 kDa.
Disclaimer note: The observed molecular weight of the protein may vary from the listed predicted molecular weight due to post translational modifications, post translation cleavages, relative charges, and other experimental factors.
Disclaimer note: The observed molecular weight of the protein may vary from the listed predicted molecular weight due to post translational modifications, post translation cleavages, relative charges, and other experimental factors.
Description
1.0 mg/ml of antibody purified from Bioreactor Concentrate by Protein A/G. Prepared in 10mM PBS WITHOUT BSA & azide. Also available at 200 ug/ml WITH BSA & azide (NBP2-44482).
Antibody with azide - store at 2 to 8C. Antibody without azide - store at -20 to -80C.
Antibody with azide - store at 2 to 8C. Antibody without azide - store at -20 to -80C.
Scientific Data Images for Calponin 1 Antibody (CNN1/832 + CALP) - Azide and BSA Free
Immunocytochemistry/ Immunofluorescence: Calponin 1 Antibody (CNN1/832 + CALP) - Azide and BSA Free [NBP2-47758]
Immunocytochemistry/Immunofluorescence: Calponin 1 Antibody (CNN1/832 + CALP) - Azide and BSA Free [NBP2-47758] - Analysis of PFA-fixed K562 cells labeling Calponin using Calponin 1 Antibody (CNN1/832 + CALP) followed by Goat anti-Mouse IgG-CF488 (Green). The nuclear counterstain is Red Dot.Immunohistochemistry-Paraffin: Calponin 1 Antibody (CNN1/832 + CALP) - Azide and BSA Free [NBP2-47758]
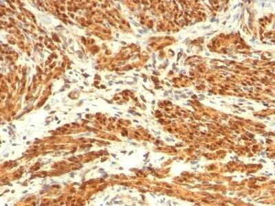
Immunohistochemistry-Paraffin: Calponin 1 Antibody (CNN1/832 + CALP) - Azide and BSA Free [NBP2-47758] - Rat Uterus stained with Calponin-1 Monoclonal Antibody (CNN1/832 + CALP).Flow Cytometry: Calponin 1 Antibody (CNN1/832 + CALP) - Azide and BSA Free [NBP2-47758]
Flow Cytometry: Calponin 1 Antibody (CNN1/832 + CALP) - Azide and BSA Free [NBP2-47758] - Analysis of PFA-fixed K562 cells using Calponin 1 Antibody (CNN1/832 + CALP) followed by Goat anti-Mouse IgG-CF488 (Blue); Isotype Control (Red).Applications for Calponin 1 Antibody (CNN1/832 + CALP) - Azide and BSA Free
Application
Recommended Usage
Flow Cytometry
0.5 - 1 ug/million cells in 0.1 ml
Immunofluorescence
1 - 2 ug/ml
Immunohistochemistry-Paraffin
0.5 - 1.0 ug/ml
Application Notes
Immunohistochemistry (Formalin-fixed): 1-2ug/ml for 30 minutes at RT. Staining of formalin-fixed tissues requires heating tissue sections in 1mM EDTA, pH 7.5-8.5, for 45 min at 95C followed by cooling at RT for 20 minutes.
Optimal dilution for a specific application should be determined.
Optimal dilution for a specific application should be determined.
Formulation, Preparation, and Storage
Purification
Protein A or G purified
Formulation
10 mM PBS
Format
Azide and BSA Free
Preservative
No Preservative
Concentration
1.0 mg/ml
Shipping
The product is shipped with polar packs. Upon receipt, store it immediately at the temperature recommended below.
Stability & Storage
Store at -20 to -80C. Avoid freeze-thaw cycles.
Background: Calponin 1
Alternate Names
Calponin H1, CNN1, Sm-Calp, SMCC
Gene Symbol
CNN1
Additional Calponin 1 Products
Product Documents for Calponin 1 Antibody (CNN1/832 + CALP) - Azide and BSA Free
Product Specific Notices for Calponin 1 Antibody (CNN1/832 + CALP) - Azide and BSA Free
This product is for research use only and is not approved for use in humans or in clinical diagnosis. Primary Antibodies are guaranteed for 1 year from date of receipt.
Loading...
Loading...
Loading...
Loading...
Loading...