Skip to main content

Calpastatin Antibody (OTI1E7) - Azide and BSA Free

Novus Biologicals, part of Bio-Techne | Catalog # NBP2-70338

Novus Biologicals, part of Bio-Techne
Catalog #
Availability
Size / Price
Qty
Loading...
NBP2-70338
Conjugate
Catalog #

Key Product Details

Species Reactivity

Human

Applications

Immunohistochemistry, Immunohistochemistry-Paraffin, Western Blot, Flow Cytometry, CyTOF-ready

Label

Unconjugated

Antibody Source

Monoclonal Mouse IgG1 Clone # OTI1E7

Format

Azide and BSA Free

Concentration

LYOPH mg/ml

Product Specifications

Immunogen

Full length human recombinant protein of human CAST(NP_001741) produced in HEK293T cell.

Clonality

Monoclonal

Host

Mouse

Isotype

IgG1

Theoretical MW

84.8 kDa.
Disclaimer note: The observed molecular weight of the protein may vary from the listed predicted molecular weight due to post translational modifications, post translation cleavages, relative charges, and other experimental factors.

Scientific Data Images for Calpastatin Antibody (OTI1E7) - Azide and BSA Free

Western Blot: Calpastatin Antibody (OTI1E7)Azide and BSA Free [NBP2-70338]

Western Blot: Calpastatin Antibody (OTI1E7)Azide and BSA Free [NBP2-70338]

Western Blot: Calpastatin Antibody (OTI1E7) - Azide and BSA Free [NBP2-70338] - HEK293T cells were transfected with the pCMV6-ENTRY control (Left lane) or pCMV6-ENTRY Calpastatin (Right lane) cDNA for 48 hrs and lysed. Equivalent amounts of cell lysates (5 ug per lane) were separated by SDS-PAGE and immunoblotted with anti-Calpastati
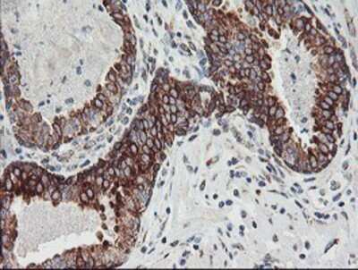
Immunohistochemistry: Calpastatin Antibody (OTI1E7) - Azide and BSA Free [NBP2-70338]

Immunohistochemistry: Calpastatin Antibody (OTI1E7) - Azide and BSA Free [NBP2-70338]

Immunohistochemistry: Calpastatin Antibody (OTI1E7) - Azide and BSA Free [NBP2-70338] - Staining of paraffin-embedded Human colon tissue using anti-Calpastatin mouse monoclonal antibody.
Flow Cytometry: Calpastatin Antibody (OTI1E7) - Azide and BSA Free [NBP2-70338]

Flow Cytometry: Calpastatin Antibody (OTI1E7) - Azide and BSA Free [NBP2-70338]

Flow Cytometry: Calpastatin Antibody (OTI1E7) - Azide and BSA Free [NBP2-70338] - HEK293T cells transfected with either overexpression plasmid (Red) or empty vector control plasmid (Blue) were immunostaining by anti-Calpastatin antibody, and then analyzed by flow cytometry.

Applications for Calpastatin Antibody (OTI1E7) - Azide and BSA Free

Application
Recommended Usage

Flow Cytometry

1:100

Immunohistochemistry

1:150

Western Blot

1:2000

Formulation, Preparation, and Storage

Purification

Immunogen affinity purified

Reconstitution

we recommend adding 100uL distilled water to a final antibody concentration of about 1 mg/mL. To use this carrier-free antibody for conjugation experiment, we strongly recommend performing another round of desalting process.

Formulation

Lyophilized from PBS (pH 7.3) with 8% Trehalose

Format

Azide and BSA Free

Preservative

No Preservative

Concentration

LYOPH mg/ml

Shipping

The product is shipped with polar packs. Upon receipt, store it immediately at the temperature recommended below.

Stability & Storage

Store at -20C. Avoid freeze-thaw cycles.

Background: Calpastatin

The calpain system has been detected in every vertebrate tissue examined, and has been suggested to play a regulatory role in cellular protein metabolism. This regulatory role may have important implications in platelet aggregation and pathologies associated with altered calcium homeostasis and protein metabolism such as ischemic cell injury and degenerative diseases. Inhibitors of calpain have been shown to block dexamethasone and low-level irradiation induced apoptosis in thymocytes suggesting that calpain has a regulatory or mechanistic role in apoptotic cell death.Calpastatin, a specific endogenous inhibitor of calpain, has a predicted molecular weight of ~77 kDa and an internal repeat of four homologous domains which allow it to inhibit multiple calpain molecules simultaneously. It functions by binding to calpain when calpain binds calcium. When Calpastatin is subjected to proteolytic digestion, fragments of calpastatin as small as 15 kDa still retain inhibitory activity.

Alternate Names

BS-17, Calpain inhibitor, calpastatin, MGC9402, Sperm BS-17 component

Gene Symbol

CAST

Additional Calpastatin Products

Product Documents for Calpastatin Antibody (OTI1E7) - Azide and BSA Free

Certificate of Analysis

To download a Certificate of Analysis, please enter a lot number in the search box below.

Product Specific Notices for Calpastatin Antibody (OTI1E7) - Azide and BSA Free

This product is for research use only and is not approved for use in humans or in clinical diagnosis. Primary Antibodies are guaranteed for 1 year from date of receipt.

Loading...
Loading...
Loading...
Loading...
Loading...
Loading...