Skip to main content

Calpain 1 Antibody - BSA Free

Novus Biologicals, part of Bio-Techne | Catalog # NBP2-15671

Novus Biologicals, part of Bio-Techne
Catalog #
Availability
Size / Price
Qty
Loading...
NBP2-15671

Key Product Details

Species Reactivity

Human, Mouse, Squirrel

Applications

Immunohistochemistry, Immunohistochemistry-Paraffin, Western Blot, Immunocytochemistry/ Immunofluorescence, Immunoprecipitation

Label

Unconjugated

Antibody Source

Polyclonal Rabbit IgG

Format

BSA Free

Concentration

Concentrations vary lot to lot. See vial label for concentration. If unlisted please contact technical services.

Product Specifications

Immunogen

Recombinant protein encompassing a sequence within the center region of human Calpain 1. The exact sequence is proprietary.

Reactivity Notes

Immunogen displays the following percentage of sequence identity for non-tested species: Rat (88%).

Clonality

Polyclonal

Host

Rabbit

Isotype

IgG

Theoretical MW

82 kDa.
Disclaimer note: The observed molecular weight of the protein may vary from the listed predicted molecular weight due to post translational modifications, post translation cleavages, relative charges, and other experimental factors.

Description

Novus Biologicals Rabbit Calpain 1 Antibody - BSA Free (NBP2-15671) is a polyclonal antibody validated for use in IHC, WB, ICC/IF and IP. Anti-Calpain 1 Antibody: Cited in 1 publication. All Novus Biologicals antibodies are covered by our 100% guarantee.

Scientific Data Images for Calpain 1 Antibody - BSA Free

Western Blot: Calpain 1 Antibody [NBP2-15671]

Western Blot: Calpain 1 Antibody [NBP2-15671]

Western Blot: Calpain 1 Antibody [NBP2-15671] - Calpain 1 antibody detects Calpain 1 protein by western blot analysis. Various whole cell extracts (30 ug) were separated by 7.5% SDS-PAGE, and the membrane was blotted with Calpain 1 antibody diluted at a dilution of 1:1000. HRP-conjugated anti-rabbit IgG antibody was used to detect the primary antibody.
Immunocytochemistry/ Immunofluorescence: Calpain 1 Antibody [NBP2-15671]

Immunocytochemistry/ Immunofluorescence: Calpain 1 Antibody [NBP2-15671]

Immunocytochemistry/Immunofluorescence: Calpain 1 Antibody [NBP2-15671] - Analysis of methanol-fixed A431, using antibody at 1:200 dilution.
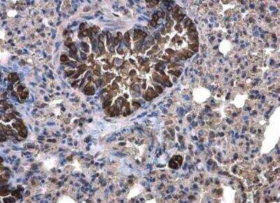
Immunohistochemistry-Paraffin: Calpain 1 Antibody [NBP2-15671]

Immunohistochemistry-Paraffin: Calpain 1 Antibody [NBP2-15671]

Immunohistochemistry-Paraffin: Calpain 1 Antibody [NBP2-15671] - Mouse lung. Calpain 1 antibody [N3C2], Internal diluted at 1:500. Antigen Retrieval: Trilogy™ (EDTA based, pH 8.0) buffer, 15min.

Applications for Calpain 1 Antibody - BSA Free

Application
Recommended Usage

Immunocytochemistry/ Immunofluorescence

1:100-1:1000

Immunohistochemistry

1:100-1:1000

Immunohistochemistry-Paraffin

1:100-1:1000

Immunoprecipitation

1:100-1:500

Western Blot

1:500-1:3000

Formulation, Preparation, and Storage

Purification

Antigen Affinity-purified

Formulation

0.1M Tris, 0.1M Glycine, 20% Glycerol

Format

BSA Free

Preservative

0.01% Thimerosal

Concentration

Concentrations vary lot to lot. See vial label for concentration. If unlisted please contact technical services.

Shipping

The product is shipped with polar packs. Upon receipt, store it immediately at the temperature recommended below.

Stability & Storage

Aliquot and store at -20C or -80C. Avoid freeze-thaw cycles.

Background: Calpain 1

The calpains, calcium-activated neutral proteases, are nonlysosomal, intracellular cysteine proteases. The mammalian calpains include ubiquitous, stomach-specific, and muscle-specific proteins. The ubiquitous enzymes consist of heterodimers with distinct large, catalytic subunits associated with a common small, regulatory subunit. This gene encodes the large subunit of the ubiquitous enzyme, calpain 1. [provided by RefSeq]

Long Name

Calpain-1 catalytic subunit

Alternate Names

Calpain mu-type, CANP 1, CANPL1, CAPN1, EC 3.4.22.52, Micromolar-calpain, muCANP, PIG30

Gene Symbol

CAPN1

UniProt

Additional Calpain 1 Products

Product Documents for Calpain 1 Antibody - BSA Free

Certificate of Analysis

To download a Certificate of Analysis, please enter a lot number in the search box below.

Product Specific Notices for Calpain 1 Antibody - BSA Free

This product is for research use only and is not approved for use in humans or in clinical diagnosis. Primary Antibodies are guaranteed for 1 year from date of receipt.

Loading...
Loading...
Loading...
Loading...

⚠ WARNING: This product can expose you to chemicals including mercury, which is known to the State of California to cause reproductive toxicity with developmental effects.  For more information go to www.P65Warnings.ca.gov.