Skip to main content

Caldesmon/CALD1 Antibody (rCALD1/7266) - Azide and BSA Free

Novus Biologicals, part of Bio-Techne | Catalog # NBP3-49543

Recombinant Monoclonal Antibody
Novus Biologicals, part of Bio-Techne
Catalog #
Availability
Size / Price
Qty
Loading...
NBP3-49543

Key Product Details

Species Reactivity

Human

Applications

Immunohistochemistry, Western Blot

Label

Unconjugated

Antibody Source

Recombinant Monoclonal Mouse IgG1 kappa Clone # rCALD1/7266

Format

Azide and BSA Free

Concentration

Please see the vial label for concentration. If unlisted please contact technical services.

Product Specifications

Immunogen

Recombinant human full-length CALD1 protein (Uniprot: Q05682)

Localization

Cytoplasm, Cytoskeleton, Myofibril, Stress fiber

Specificity

Recognizes a protein of 150kDa, which is identified as the high molecular weight variant of Caldesmon. Two closely related variants of human caldesmon have been identified which are different in their electrophoretic mobility and cellular distribution. The h-caldesmon variant (120 150kDa) is predominantly expressed in smooth muscle whereas l-caldesmon (70 80kDa) is found in non- muscle tissue and cells. Neither of the two variants has been detected in skeletal muscle. This antibody recognizes only the 150kDa variant (h-caldesmon) in Western blots of human aortic media extracts and is unreactive with fibroblast extracts from cultivated human foreskin.

Clonality

Monoclonal

Host

Mouse

Isotype

IgG1 kappa

Theoretical MW

150 kDa.
Disclaimer note: The observed molecular weight of the protein may vary from the listed predicted molecular weight due to post translational modifications, post translation cleavages, relative charges, and other experimental factors.

Description

Prepared in 10mM PBS WITHOUT BSA & azide at 1.0mg/ml. Also available with 0.05% BSA & 0.05% azide.

Antibody with azide - store at 2 to 8 C. Antibody without azide - store at -20 to -80 C. Antibody is stable for 24 months. Non-hazardous.

Scientific Data Images for Caldesmon/CALD1 Antibody (rCALD1/7266) - Azide and BSA Free

Caldesmon/CALD1 Antibody (rCALD1/7266) - Azide and BSA Free

Immunohistochemistry-Paraffin: Caldesmon/CALD1 Antibody (rCALD1/7266) - Azide and BSA Free [NBP3-49543] -

Formalin-fixed, paraffin-embedded human smooth muscle stained with Caldesmon/CALD1 Antibody (rCALD1/7266) - Azide and BSA Free. HIER: Tris/EDTA, pH9.0, 45min. 2 °: HRP-polymer, 30min. DAB, 5min.
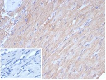
Caldesmon/CALD1 Antibody (rCALD1/7266) - Azide and BSA Free

Immunohistochemistry-Paraffin: Caldesmon/CALD1 Antibody (rCALD1/7266) - Azide and BSA Free [NBP3-49543] -

Formalin-fixed, paraffin-embedded human smooth muscle stained with Caldesmon/CALD1 Antibody (rCALD1/7266) - Azide and BSA Free. Inset: PBS instead of primary antibody; secondary only negative control.

Applications for Caldesmon/CALD1 Antibody (rCALD1/7266) - Azide and BSA Free

Application
Recommended Usage

Immunohistochemistry

Optimal dilutions of this antibody should be experimentally determined.

Western Blot

Optimal dilutions of this antibody should be experimentally determined.

Formulation, Preparation, and Storage

Purification

Protein A or G purified

Formulation

10 mM PBS

Format

Azide and BSA Free

Preservative

No Preservative

Concentration

Please see the vial label for concentration. If unlisted please contact technical services.

Shipping

The product is shipped with polar packs. Upon receipt, store it immediately at the temperature recommended below.

Stability & Storage

Store at -20 to -80C. Avoid freeze-thaw cycles.

Background: Caldesmon/CALD1

Caldesmon is a smooth muscle and nonmuscle regulatory protein that interacts with actin, myosin, tropomyosin, and calmodulin (1,2). Smooth muscle caldesmon is an elongated molecule with a calmodulin, tropomyosin, and actin-binding region at the C-terminus and a myosin-binding domain at the N-terminus (3). Caldesmon stimulates actin binding of tropomyosin which increases the stabilization of actin filament structure. In muscle tissues, caldesmon inhibits the actomyosin ATPase by binding to F-actin. This inhibition is reduced by calcium-calmodulin and is promoted by tropomyosin (4).

Alternate Names

CALD1, CDM, HCAD, LCAD, NAG22

Gene Symbol

CALD1

Additional Caldesmon/CALD1 Products

Product Documents for Caldesmon/CALD1 Antibody (rCALD1/7266) - Azide and BSA Free

Certificate of Analysis

To download a Certificate of Analysis, please enter a lot number in the search box below.

Product Specific Notices for Caldesmon/CALD1 Antibody (rCALD1/7266) - Azide and BSA Free

This product is for research use only and is not approved for use in humans or in clinical diagnosis. Primary Antibodies are guaranteed for 1 year from date of receipt.

Loading...
Loading...
Loading...
Loading...