Skip to main content

Calcium-sensing R/CaSR Antibody (HL2357) - Azide and BSA Free

Novus Biologicals, part of Bio-Techne | Catalog # NBP3-25393

Recombinant Monoclonal Antibody
Novus Biologicals, part of Bio-Techne
Catalog #
Availability
Size / Price
Qty
Loading...
NBP3-25393

Key Product Details

Validated by

Orthogonal Validation

Species Reactivity

Human, Mouse, Rat, Feline

Applications

Immunohistochemistry, Immunohistochemistry-Paraffin, Western Blot

Label

Unconjugated

Antibody Source

Recombinant Monoclonal Rabbit IgG Clone # HL2357 expressed in HEK293

Format

Azide and BSA Free

Concentration

Concentrations vary lot to lot. See vial label for concentration. If unlisted please contact technical services.

Product Specifications

Immunogen

Recombinant fragment of human Calcium-sensing R/CaSR.

Clonality

Monoclonal

Host

Rabbit

Isotype

IgG

Description

Novus Biologicals Rabbit Calcium-sensing R/CaSR Antibody (HL2357) - Azide and BSA Free (NBP3-25393) is a recombinant monoclonal antibody validated for use in IHC and WB. All Novus Biologicals antibodies are covered by our 100% guarantee.

Scientific Data Images for Calcium-sensing R/CaSR Antibody (HL2357) - Azide and BSA Free

Calcium-sensing R/CaSR Antibody (HL2357) - Azide and BSA Free

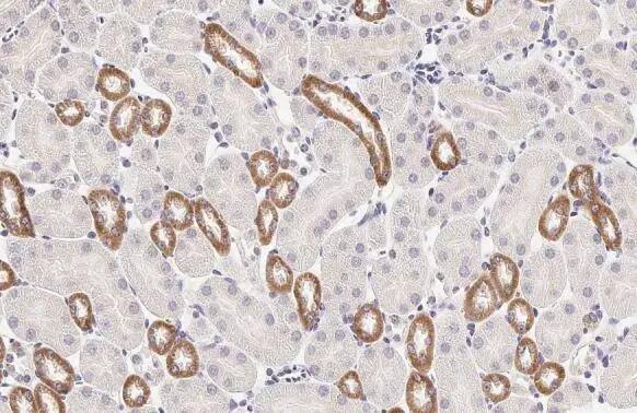
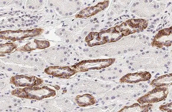
Immunohistochemistry-Paraffin: Calcium-sensing R/CaSR Antibody (HL2357) - Azide and BSA Free [NBP3-25393] -

Immunohistochemistry-Paraffin: Calcium-sensing R/CaSR Antibody (HL2357) - Azide and BSA Free [NBP3-25393] - Calcium Sensing Receptor antibody [HL2357] detects Calcium Sensing Receptor protein at cell membrane and cytoplasm by immunohistochemical analysis. Sample: Paraffin-embedded rat kidney. Calcium Sensing Receptor stained by Calcium Sensing Receptor antibody [HL2357] (NBP3-25393) diluted at 1:400. Antigen Retrieval: Citrate buffer, pH 6.0, 15 min
Calcium-sensing R/CaSR Antibody (HL2357) - Azide and BSA Free

Western Blot: Calcium-sensing R/CaSR Antibody (HL2357) - Azide and BSA Free [NBP3-25393] -

Western Blot: Calcium-sensing R/CaSR Antibody (HL2357) - Azide and BSA Free [NBP3-25393] - Various tissue extracts (50 ug) were separated by 5% SDS-PAGE, and the membrane was blotted with Calcium Sensing Receptor antibody [HL2357] (NBP3-25393) diluted at 1:1000. The HRP-conjugated anti-rabbit IgG antibody was used to detect the primary antibody.
Calcium-sensing R/CaSR Antibody (HL2357) - Azide and BSA Free

Western Blot: Calcium-sensing R/CaSR Antibody (HL2357) - Azide and BSA Free [NBP3-25393] -

Western Blot: Calcium-sensing R/CaSR Antibody (HL2357) - Azide and BSA Free [NBP3-25393] - Whole cell extract (30 ug) was separated by 5% SDS-PAGE, and the membrane was blotted with Calcium Sensing Receptor antibody [HL2357] (NBP3-25393) diluted at 1:1000. The HRP-conjugated anti-rabbit IgG antibody was used to detect the primary antibody.

Applications for Calcium-sensing R/CaSR Antibody (HL2357) - Azide and BSA Free

Application
Recommended Usage

Western Blot

1:500-1:3000

Formulation, Preparation, and Storage

Purification

Protein A purified

Formulation

PBS

Format

Azide and BSA Free

Preservative

No Preservative

Concentration

Concentrations vary lot to lot. See vial label for concentration. If unlisted please contact technical services.

Shipping

The product is shipped with polar packs. Upon receipt, store it immediately at the temperature recommended below.

Stability & Storage

Store at 4C short term. Aliquot and store at -20C long term. Avoid freeze-thaw cycles.

Background: Calcium-sensing R/CaSR

Calcium-Sensing Receptor (CaSR) is a member of the G protein-coupled receptor family. CaSR is an integral membrane protein that senses changes in the extracellular concentration of calcium ions and controls the release of parathyroid hormone. The activity of the calcium-sensing receptor is mediated by a G-protein that activates a phosphatidylinositol-calcium second messenger system.

Mutations that inactivate CaSR lead to familial hypocalciuric hypercalcemia, whereas mutations that activate CaSR cause autosomal dominant hypocalcemia. Calcium-Sensing Receptor antibodies are useful tools for parathyroid studies and research on cellular calcium homeostasis regulation.

Long Name

Calcium-sensing Receptor

Alternate Names

CAR, CaSR, EIG8, FHH, FIH, GPRC2A, HHC1, NSHPT, PCaR1

Gene Symbol

CASR

Additional Calcium-sensing R/CaSR Products

Product Documents for Calcium-sensing R/CaSR Antibody (HL2357) - Azide and BSA Free

Certificate of Analysis

To download a Certificate of Analysis, please enter a lot number in the search box below.

Product Specific Notices for Calcium-sensing R/CaSR Antibody (HL2357) - Azide and BSA Free

This product is for research use only and is not approved for use in humans or in clinical diagnosis. Primary Antibodies are guaranteed for 1 year from date of receipt.

Loading...
Loading...
Loading...
Loading...