CAB39L Antibody - BSA Free
Novus Biologicals, part of Bio-Techne | Catalog # NBP2-32039
Key Product Details
Species Reactivity
Validated:
Human
Predicted:
Mouse (100%), Rat (100%). Backed by our 100% Guarantee.
Applications
Immunocytochemistry/ Immunofluorescence, Immunohistochemistry, Immunohistochemistry-Paraffin
Label
Unconjugated
Antibody Source
Polyclonal Rabbit IgG
Format
BSA Free
Concentration
Concentrations vary lot to lot. See vial label for concentration. If unlisted please contact technical services.
Product Specifications
Immunogen
This antibody was developed against a recombinant protein corresponding to amino acids: MPLFSKSHKNPAEIVKILKDNLAI
Clonality
Polyclonal
Host
Rabbit
Isotype
IgG
Description
Novus Biologicals Rabbit CAB39L Antibody - BSA Free (NBP2-32039) is a polyclonal antibody validated for use in IHC and ICC/IF. All Novus Biologicals antibodies are covered by our 100% guarantee.
Scientific Data Images for CAB39L Antibody - BSA Free
Immunocytochemistry/ Immunofluorescence: CAB39L Antibody [NBP2-32039]
Immunocytochemistry/Immunofluorescence: CAB39L Antibody [NBP2-32039] - Immunofluorescent staining of human cell line CACO-2 shows localization to vesicles.Immunohistochemistry-Paraffin: CAB39L Antibody [NBP2-32039]
Immunohistochemistry-Paraffin: CAB39L Antibody [NBP2-32039] - Staining of human testis shows moderate cytoplasmic positivity in Leydig cells.Immunohistochemistry-Paraffin: CAB39L Antibody [NBP2-32039]
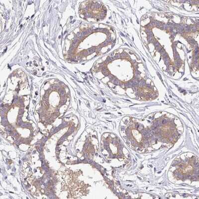
Immunohistochemistry-Paraffin: CAB39L Antibody [NBP2-32039] - Staining of human breast shows moderate cytoplasmic positivity in glandular cells.Applications for CAB39L Antibody - BSA Free
Application
Recommended Usage
Immunocytochemistry/ Immunofluorescence
0.25-2 ug/ml
Immunohistochemistry
1:20 - 1:50
Immunohistochemistry-Paraffin
1:20 - 1:50
Application Notes
For IHC-Paraffin, HIER pH 6 retrieval is recommended. ICC/IF Fixation/Permeabilization: PFA/Triton X-100.
Formulation, Preparation, and Storage
Purification
Immunogen affinity purified
Formulation
PBS (pH 7.2) and 40% Glycerol
Format
BSA Free
Preservative
0.02% Sodium Azide
Concentration
Concentrations vary lot to lot. See vial label for concentration. If unlisted please contact technical services.
Shipping
The product is shipped with polar packs. Upon receipt, store it immediately at the temperature recommended below.
Stability & Storage
Store at 4C short term. Aliquot and store at -20C long term. Avoid freeze-thaw cycles.
Background: CAB39L
Alternate Names
Antigen MLAA-34, bA103J18.3, calcium binding protein 39-like, calcium-binding protein 39-like, FLJ12577, MO25-BETA, Mo25-like protein, MO2L, RP11-103J18.3, sarcoma antigen NY-SAR-79, U937-associated antigen
Gene Symbol
CAB39L
UniProt
Additional CAB39L Products
Product Documents for CAB39L Antibody - BSA Free
Product Specific Notices for CAB39L Antibody - BSA Free
This product is for research use only and is not approved for use in humans or in clinical diagnosis. Primary Antibodies are guaranteed for 1 year from date of receipt.
Loading...
Loading...
Loading...
Loading...