Skip to main content

CA19-9/Sialyl Lewis A Antibody (GT933) - Azide and BSA Free

Novus Biologicals, part of Bio-Techne | Catalog # NBP3-13650

Novus Biologicals, part of Bio-Techne
Catalog #
Availability
Size / Price
Qty
Loading...
NBP3-13650

Key Product Details

Validated by

Independent Antibodies, Biological Validation

Species Reactivity

Non-species specific

Applications

Immunohistochemistry, Immunohistochemistry-Paraffin, Western Blot, ELISA, Sandwich ELISA, Flow Cytometry, Immunocytochemistry/ Immunofluorescence, Microarray

Label

Unconjugated

Antibody Source

Monoclonal Mouse IgG1 Clone # GT933

Format

Azide and BSA Free

Concentration

Concentrations vary lot to lot. See vial label for concentration. If unlisted please contact technical services.

Product Specifications

Immunogen

The immunogen used to generate this antibody corresponds to CA19-9/Sialyl Lewis A.

Clonality

Monoclonal

Host

Mouse

Isotype

IgG1

Description

Centrifuge briefly prior to opening.

Scientific Data Images for CA19-9/Sialyl Lewis A Antibody (GT933) - Azide and BSA Free

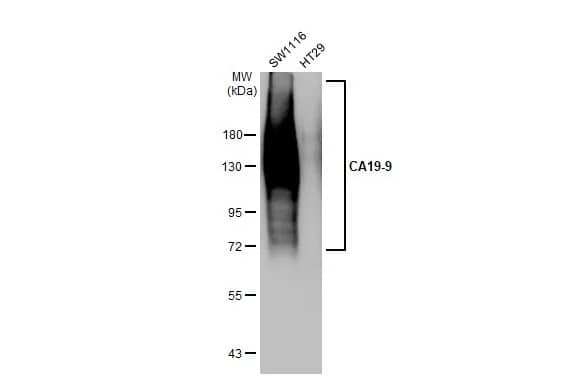
Western Blot: CA19-9/Sialyl Lewis A Antibody (GT933) [NBP3-13650]

Western Blot: CA19-9/Sialyl Lewis A Antibody (GT933) [NBP3-13650]

Western Blot: CA19-9/Sialyl Lewis A Antibody (GT933) [NBP3-13650] - Various whole cell extracts (30 ug) were separated by 7.5% SDS-PAGE, and the membranes were blotted with CA19-9/Sialyl Lewis A antibody [GT933] (NBP3-13650) diluted at 1:1000 and competitor's antibody diluted at 1:250. The HRP-conjugated anti-mouse IgG antibody (NBP2-19382) was used to detect the primary antibody.
Immunocytochemistry/ Immunofluorescence: CA19-9/Sialyl Lewis A Antibody (GT933) [NBP3-13650]

Immunocytochemistry/ Immunofluorescence: CA19-9/Sialyl Lewis A Antibody (GT933) [NBP3-13650]

Immunocytochemistry/Immunofluorescence: CA19-9/Sialyl Lewis A Antibody (GT933) [NBP3-13650] - CA19-9/Sialyl Lewis A antibody [GT933] detects CA19-9/Sialyl Lewis A protein at cell membrane by immunofluorescent analysis. Sample: SW1116 (high expression) and HT29 (low expression) cells were fixed in 4% paraformaldehyde at RT for 15 min. Green: CA19-9/Sialyl Lewis A stained by CA19-9/Sialyl Lewis A antibody [GT933] (NBP3-13650) diluted at 1:1000 and competitor's antibody diluted at 1:1000. Blue: Fluoroshield with DAPI.
Flow Cytometry: CA19-9/Sialyl Lewis A Antibody (GT933) [NBP3-13650]

Flow Cytometry: CA19-9/Sialyl Lewis A Antibody (GT933) [NBP3-13650]

Flow Cytometry: CA19-9/Sialyl Lewis A Antibody (GT933) [NBP3-13650] - CA19-9/Sialyl Lewis A antibody [GT933] (NBP3-13650) detects CA19-9/Sialyl Lewis A by flow cytometry analysis. Sample: COLO 205 cell. Black: Unlabelled sample was used as a control. Red: CA19-9/Sialyl Lewis A antibody [GT933] (NBP3-13650) dilution: 1:50. Blue: Highly cited antibody [116-NS-19-9] dilution: 1:50. Acquisition of 20,000 events were collected for FACS analysis.

Applications for CA19-9/Sialyl Lewis A Antibody (GT933) - Azide and BSA Free

Application
Recommended Usage

ELISA

Assay dependent

Flow Cytometry

Assay dependent

Immunocytochemistry/ Immunofluorescence

Assay dependent

Immunohistochemistry

Assay dependent

Immunohistochemistry-Paraffin

Assay dependent

Microarray

Assay dependent

Sandwich ELISA

Assay dependent

Western Blot

1:1000

Formulation, Preparation, and Storage

Purification

Protein G purified

Formulation

PBS

Format

Azide and BSA Free

Preservative

No Preservative

Concentration

Concentrations vary lot to lot. See vial label for concentration. If unlisted please contact technical services.

Shipping

The product is shipped with polar packs. Upon receipt, store it immediately at the temperature recommended below.

Stability & Storage

Store at 4C short term. Aliquot and store at -20C long term. Avoid freeze-thaw cycles.

Background: CA19-9

Mucin glucoprotein is a sialyl Lewisa structure which is synthesized from type 1 blood group precursor chains and is present in individuals expressing the Lewisa and/or Lewisb blood group antigens. In normal tissues, sialyl Lewisa antigen is present in ductal epithelium of the breast, kidney, salivary gland, and sweat glands. Its expression is greatly enhanced in serum as well as in the majority of tumor cells in gastrointestinal (GI) carcinomas.

Long Name

Carbohydrate Antigen 19-9

Alternate Names

CA 19-9

Additional CA19-9 Products

Product Documents for CA19-9/Sialyl Lewis A Antibody (GT933) - Azide and BSA Free

Certificate of Analysis

To download a Certificate of Analysis, please enter a lot number in the search box below.

Product Specific Notices for CA19-9/Sialyl Lewis A Antibody (GT933) - Azide and BSA Free

This product is for research use only and is not approved for use in humans or in clinical diagnosis. Primary Antibodies are guaranteed for 1 year from date of receipt.

Loading...
Loading...
Loading...
Loading...
Loading...