Skip to main content

c-Myb Antibody - BSA Free

Novus Biologicals, part of Bio-Techne | Catalog # NBP3-29467

Novus Biologicals, part of Bio-Techne
Catalog #
Availability
Size / Price
Qty
Loading...
NBP3-29467

Key Product Details

Species Reactivity

Human, Mouse

Applications

Immunohistochemistry, Immunoprecipitation

Label

Unconjugated

Antibody Source

Polyclonal Rabbit IgG

Format

BSA Free

Concentration

Please see the vial label for concentration. If unlisted please contact technical services.

Product Specifications

Immunogen

Between 1 and 50

Clonality

Polyclonal

Host

Rabbit

Isotype

IgG

Description

Novus Biologicals Rabbit c-Myb Antibody - BSA Free (NBP3-29467) is a polyclonal antibody validated for use in IHC and IP. All Novus Biologicals antibodies are covered by our 100% guarantee.

Scientific Data Images for c-Myb Antibody - BSA Free

c-Myb Antibody

Immunohistochemistry;c-Myb Antibody[NBP3-29466]

Immunohistochemistry;c-Myb Antibody[NBP3-29466]Detection of human c-Myb by immunohistochemistry. Sample: FFPE section of human breast carcinoma and salivary gland . Antibody: Affinity purified rabbit anti-c-Myb antibody used at a dilution of 1:5,000 and 1:1,000 . Detection: DAB
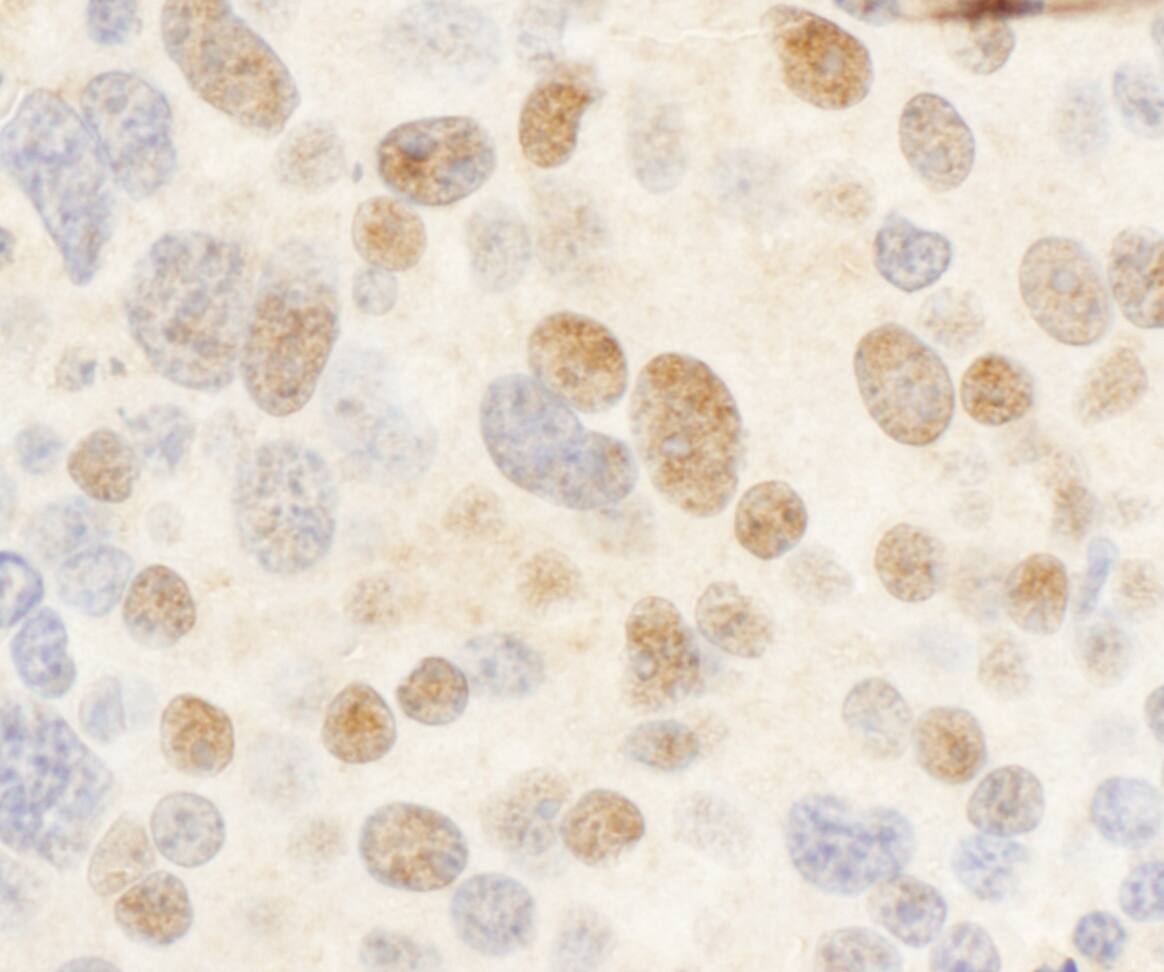
c-Myb Antibody

Immunohistochemistry;c-Myb Antibody[NBP3-29467]

Immunohistochemistry;c-Myb Antibody[NBP3-29467]Detection of mouse c-Myb by immunohistochemistry. Sample: FFPE section of mouse renal cell carcinoma. Antibody: Affinity purified rabbit anti-c-Myb antibody used at a dilution of 1:1,000 . Detection: DAB
c-Myb Antibody

Immunoprecipitation:c-Myb AntibodyNBP3-29467] -

Immunoprecipitation:c-Myb AntibodyNBP3-29467] -Detection of human c-Myb by western blot of immunoprecipitates. Samples: Whole cell lysate (1 mg for IP; 20% of IP loaded) from MOLT-4 cells. Antibodies: Affinity purified rabbit anti-c-Myb antibody NBP3-29467 (lot NBP3-29467-1) used for IP at 6 µg/mg lysate. c-Myb was also immunoprecipitated by rabbit anti-c-Myb antibodies. For blotting immunoprecipitated c-Myb, was used at 1 µg/ml. Detection: Chemiluminescence with an exposure time of 10 seconds.

Applications for c-Myb Antibody - BSA Free

Application
Recommended Usage

Immunohistochemistry

Optimal dilutions of this antibody should be experimentally determined.

Immunoprecipitation

Optimal dilutions of this antibody should be experimentally determined.

Formulation, Preparation, and Storage

Purification

Affinity purified

Formulation

Tris-citrate/phosphate buffer, pH 7 to 8

Format

BSA Free

Preservative

0.09% Sodium Azide

Concentration

Please see the vial label for concentration. If unlisted please contact technical services.

Shipping

The product is shipped with polar packs. Upon receipt, store it immediately at the temperature recommended below.

Stability & Storage

Store at 4C. Do not freeze.

Background: c-Myb

The c-Myb proto-oncogene is a 75 kDa protein involved in growth regulation and differentiation in many different cell types but it is predominantly expressed in immature hemopoietic cells where it plays an important role in cell proliferation. c-Myb activity is directly regulated by cyclin D1 and CDKs and it is believed that c-Myb activity is regulated during the cell cycle in hematopoietic cells (2). Disrupting c-myb function might, therefore, prove an effective therapeutic strategy for controlling leukemic cell growth (3). c-Myb binds to promoter sequences of genes such as c-Myc or Bcl-2 that are expressed in cutaneous T-cell lymphoma.

Alternate Names

Cmyb, c-myb, c-myb protein (140 AA), c-myb_CDS, c-myb10A_CDS, c-myb13A_CDS, c-myb14A_CDS, c-myb8B_CDS, efg, Proto-oncogene c-Myb, transcriptional activator Myb, v-myb avian myeloblastosis viral oncogene homolog, v-myb myeloblastosis viral oncogene homolog (avian)

Gene Symbol

MYB

Additional c-Myb Products

Product Documents for c-Myb Antibody - BSA Free

Certificate of Analysis

To download a Certificate of Analysis, please enter a lot number in the search box below.

Product Specific Notices for c-Myb Antibody - BSA Free

This product is for research use only and is not approved for use in humans or in clinical diagnosis. Primary Antibodies are guaranteed for 1 year from date of receipt.

Loading...
Loading...
Loading...
Loading...