Skip to main content

BTN3A3 Antibody - BSA Free

Novus Biologicals, part of Bio-Techne | Catalog # NBP2-97920

Novus Biologicals, part of Bio-Techne

Key Product Details

Species Reactivity

Human

Applications

Immunohistochemistry-Paraffin

Label

Unconjugated

Antibody Source

Polyclonal Rabbit IgG

Format

BSA Free

Concentration

Please see the vial label for concentration. If unlisted please contact technical services.

Product Specifications

Immunogen

Produced in rabbits immunized with E. coli-derived Human BTN3A3 fragment.

Clonality

Polyclonal

Host

Rabbit

Isotype

IgG

Description

This antibody can be stored at 2C to 8C for one month without detectable loss of activity. Antibody products are stable for twelve months from date of receipt when stored at -20C to -80C. Avoid repeated freeze-thaw cycles.

Scientific Data Images for BTN3A3 Antibody - BSA Free

Immunohistochemistry-Paraffin: BTN3A3 Antibody [NBP2-97920]

Immunohistochemistry-Paraffin: BTN3A3 Antibody [NBP2-97920]

Immunohistochemistry-Paraffin: BTN3A3 Antibody [NBP2-97920] - Immunochemical staining of human BTN3A3 in human spleen with rabbit polyclonal antibody at 1:100 dilution, formalin-fixed paraffin embedded sections.
BTN3A3 Antibody - BSA Free

Immunohistochemistry-Paraffin: BTN3A3 Antibody - BSA Free [NBP2-97920] -

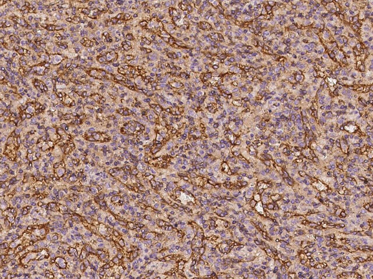
Immunohistochemistry-Paraffin: BTN3A3 Antibody - BSA Free [NBP2-97920] - Immunochemical staining of human BTN3A3 in human spleen with NBP2-97920 at 1:100 dilution, formalin-fixed paraffin embedded sections.

Applications for BTN3A3 Antibody - BSA Free

Application
Recommended Usage

Immunohistochemistry-Paraffin

1:50-1:200

Formulation, Preparation, and Storage

Purification

Antigen and protein A Affinity-purified

Formulation

PBS

Format

BSA Free

Preservative

0.03% Proclin 300

Concentration

Please see the vial label for concentration. If unlisted please contact technical services.

Shipping

The product is shipped with polar packs. Upon receipt, store it immediately at the temperature recommended below.

Stability & Storage

Store at 4C short term. Aliquot and store at -20C long term. Avoid freeze-thaw cycles.

Background: BTN3A3

BTN3A3 belongs to the BTN3 subfamily of the butyrophilin (BTN) family. BTN genes are MHC-associated and code for membrane proteins. BTN3A1, BTN3A2 and BTN3A3 exhibit very high homology, but only BTN3A1 and BTN3A3 have an intracellular B30.2 (SPRY) domain in addition to the two extracellular Ig domains. BTN3 (CD277) molecules are found on various immune cells.

Long Name

Butyrophilin, Subfamily 3, Member A3

Alternate Names

BTF3, BTN3.3

Gene Symbol

BTN3A3

Additional BTN3A3 Products

Product Documents for BTN3A3 Antibody - BSA Free

Certificate of Analysis

To download a Certificate of Analysis, please enter a lot number in the search box below.

Product Specific Notices for BTN3A3 Antibody - BSA Free

This product is for research use only and is not approved for use in humans or in clinical diagnosis. Primary Antibodies are guaranteed for 1 year from date of receipt.

Loading...
Loading...
Loading...
Loading...