Skip to main content

BNIP3 Antibody - BSA Free

Novus Biologicals, part of Bio-Techne | Catalog # NB100-56150

Novus Biologicals, part of Bio-Techne
Catalog #
Availability
Size / Price
Qty
Loading...
NB100-56150
NB100-56150SS

Key Product Details

Species Reactivity

Validated:

Human, Rat, Porcine, Chicken, Mouse (Negative), Xenopus

Cited:

Human

Applications

Validated:

Immunohistochemistry, Immunohistochemistry-Paraffin, Western Blot

Cited:

Western Blot

Label

Unconjugated

Antibody Source

Polyclonal Rabbit IgG

Format

BSA Free

Concentration

This product is unpurified. The exact concentration of antibody is not quantifiable.

Product Specifications

Immunogen

A synthetic peptide corresponding to amino acids 122-139 (SRPENIPPKEFLFKHPKR) of human NIP3 was used aas immunogen; GenBank no. gi|7669481|ref|NP_004043.2|.

Reactivity Notes

94% sequence identity with Canine protein. Does not work in mouse.

Clonality

Polyclonal

Host

Rabbit

Isotype

IgG

Description

Novus Biologicals Rabbit BNIP3 Antibody - BSA Free (NB100-56150) is a polyclonal antibody validated for use in IHC and WB. Anti-BNIP3 Antibody: Cited in 1 publication. All Novus Biologicals antibodies are covered by our 100% guarantee.

Scientific Data Images for BNIP3 Antibody - BSA Free

Western Blot: BNIP3 Antibody [NB100-56150]

Western Blot: BNIP3 Antibody [NB100-56150]

Western Blot: BNIP3 Antibody [NB100-56150] - BNIP3 expression in porcine whole skeletal muscle lysate. Image from verified customer review.
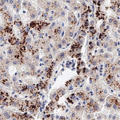
Immunohistochemistry-Paraffin: BNIP3 Antibody [NB100-56150]

Immunohistochemistry-Paraffin: BNIP3 Antibody [NB100-56150]

Immunohistochemistry-Paraffin: BNIP3 Antibody - Unpurified [NB100-56150] - BNIP3 Antibody [NB100-56150] - IHC analysis of formalin fixed paraffin-embedded (FFPE) human liver using BNIP3 antibody at 1:1000 on a Bond Rx autostainer (Leica Biosystems). The assay involved 20 minutes of heat induced antigen retrieval (HIER) using 10mM sodium citrate buffer (pH 6.0) and endogenous peroxidase quenching with peroxide block. The sections were incubated with primary antibody for 30 minutes and Bond Polymer Refine Detection (Leica Biosystems) with DAB was used for signal development followed by counterstaining with hematoxylin. Whole slide scanning and capturing of representative images was performed using Aperio AT2 (Leica Biosystems). Mitochondrial staining was observed. Staining was performed by Histowiz.

Applications for BNIP3 Antibody - BSA Free

Application
Recommended Usage

Immunohistochemistry-Paraffin

1:1000-1:5000

Western Blot

1:1000-1:2000

Reviewed Applications

Read 1 review rated 4 using NB100-56150 in the following applications:

Formulation, Preparation, and Storage

Purification

Unpurified

Formulation

Whole antisera

Format

BSA Free

Preservative

0.05% Sodium Azide

Concentration

This product is unpurified. The exact concentration of antibody is not quantifiable.

Shipping

The product is shipped with polar packs. Upon receipt, store it immediately at the temperature recommended below.

Stability & Storage

Store at 4C short term. Aliquot and store at -20C long term. Avoid freeze-thaw cycles.

Background: BNIP3

Recognizes NIP3; human NIP3 is a 187 amino acid protein.

Long Name

BCL2/Adenovirus E1B 19 Kda Protein-Interacting Protein 3-Like

Alternate Names

Nip3

Entrez Gene IDs

664 (Human); 84480 (Rat)

Gene Symbol

BNIP3

Additional BNIP3 Products

Product Documents for BNIP3 Antibody - BSA Free

Certificate of Analysis

To download a Certificate of Analysis, please enter a lot number in the search box below.

Product Specific Notices for BNIP3 Antibody - BSA Free

This product is for research use only and is not approved for use in humans or in clinical diagnosis. Primary Antibodies are guaranteed for 1 year from date of receipt.

Loading...
Loading...
Loading...
Loading...