Skip to main content

BNIP3 Antibody (2P7B8)

Novus Biologicals, part of Bio-Techne | Catalog # NBP3-15799

Recombinant Monoclonal Antibody
Novus Biologicals, part of Bio-Techne
Catalog #
Availability
Size / Price
Qty
Loading...
NBP3-15799-100ul
NBP3-15799-20ul

Key Product Details

Validated by

Biological Validation

Species Reactivity

Human, Mouse, Rat

Applications

Immunohistochemistry, Immunohistochemistry-Paraffin, Western Blot

Label

Unconjugated

Antibody Source

Recombinant Monoclonal Rabbit IgG Clone # 2P7B8 expressed in HEK293

Concentration

Please see the vial label for concentration. If unlisted please contact technical services.

Product Specifications

Immunogen

Recombinant fusion protein containing a sequence corresponding to amino acids 40-120 of human BNIP3 (NP_004043.3). AFPPPAAEAHPAARRGLRSPQLPSGAMSQNGAPGMQEESLQGSWVELHFSNNGNGGSVPASVSIYNGDMEKILLDAQHESG

Clonality

Monoclonal

Host

Rabbit

Isotype

IgG

Description

Novus Biologicals Rabbit BNIP3 Antibody (2P7B8) (NBP3-15799) is a recombinant monoclonal antibody validated for use in IHC and WB. All Novus Biologicals antibodies are covered by our 100% guarantee.

Scientific Data Images for BNIP3 Antibody (2P7B8)

Western Blot: BNIP3 Antibody (2P7B8) [NBP3-15799]

Western Blot: BNIP3 Antibody (2P7B8) [NBP3-15799]

Western Blot: BNIP3 Antibody (7Q7V3) [NBP3-15799] - Western blot analysis of extracts of various cell lines, using BNIP3 antibody (NBP3-15799) at 1:1000 dilution.Hela cells and NIH/3T3 cells were treated by Cobalt chloride (0.1 mM) at 37C for 4 hours. Secondary antibody: HRP Goat Anti-Rabbit IgG (H+L) at 1:10000 dilution. Lysates/proteins: 25ug per lane. Blocking buffer: 3% nonfat dry milk in TBST. Detection: ECL Basic Kit. Exposure time: 30s.
BNIP3 Antibody (2P7B8)

Immunohistochemistry: BNIP3 Antibody (2P7B8) [BNIP3] -

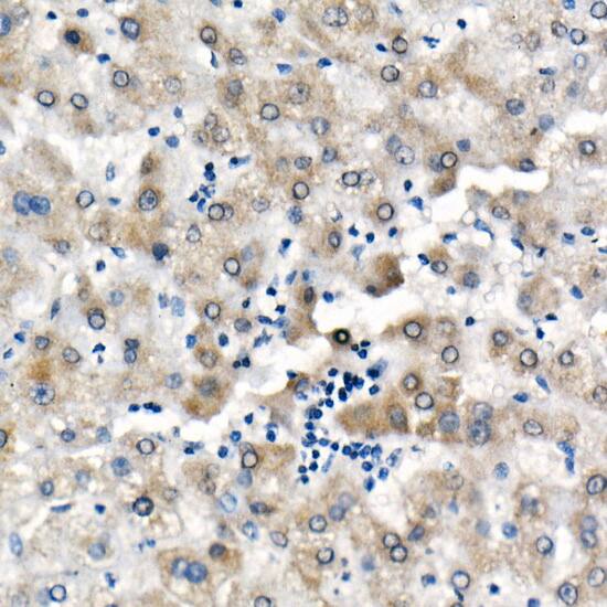
Immunohistochemistry: BNIP3 Antibody (2P7B8) [BNIP3] - Immunohistochemistry analysis of paraffin-embedded Human liver using BNIP3 Rabbit mAb at dilution of 1:500 (40x lens). High pressure antigen retrieval performed with 0.01M Citrate Bufferr (pH 6.0) prior to IHC staining.
BNIP3 Antibody (2P7B8)

Immunohistochemistry: BNIP3 Antibody (2P7B8) [BNIP3] -

Immunohistochemistry: BNIP3 Antibody (2P7B8) [BNIP3] - Immunohistochemistry analysis of paraffin-embedded Rat heart using BNIP3 Rabbit mAb at dilution of 1:500 (40x lens). High pressure antigen retrieval performed with 0.01M Citrate Bufferr (pH 6.0) prior to IHC staining.

Applications for BNIP3 Antibody (2P7B8)

Application
Recommended Usage

Immunohistochemistry

1:50 - 1:200

Immunohistochemistry-Paraffin

1:50 - 1:200

Western Blot

1:500 - 1:1000

Formulation, Preparation, and Storage

Purification

Affinity purified

Formulation

PBS (pH 7.3), 50% glycerol, 0.05% BSA

Preservative

0.05% Proclin 300

Concentration

Please see the vial label for concentration. If unlisted please contact technical services.

Shipping

The product is shipped with polar packs. Upon receipt, store it immediately at the temperature recommended below.

Stability & Storage

Store at -20C. Avoid freeze-thaw cycles.

Background: BNIP3

BCL2/adenovirus E1B 19kD protein-interacting protein 3 (BNIP3) is a mitochondrial protein critical for apoptotic events in response to adenovirus infection. It has been implicated in causing a necrotic-like cell death pattern in cells, induced by CD47. This effect has been seen in many cancer cells, and its mis-regulation causes tumor cells to be impervious to normal autophagic events. The tumor suppressor p53 represses the expression of BNIP3, often as a consequence of hypoxic micro-environments as seen in tumors. When BNIP3 is correctly expressed and activated, it translocates to the mitochondria and instigates apoptosis.

Long Name

BCL2/Adenovirus E1B 19 Kda Protein-Interacting Protein 3-Like

Alternate Names

Nip3

Gene Symbol

BNIP3

Additional BNIP3 Products

Product Documents for BNIP3 Antibody (2P7B8)

Certificate of Analysis

To download a Certificate of Analysis, please enter a lot number in the search box below.

Product Specific Notices for BNIP3 Antibody (2P7B8)

This product is for research use only and is not approved for use in humans or in clinical diagnosis. Primary Antibodies are guaranteed for 1 year from date of receipt.

Loading...
Loading...
Loading...
Loading...