Skip to main content

BMPR-II Antibody (1F12)

Novus Biologicals, part of Bio-Techne | Catalog # NBP2-37625

Novus Biologicals, part of Bio-Techne
Catalog #
Availability
Size / Price
Qty
Loading...
NBP2-37625
NBP2-37625-0.025ml

Key Product Details

Species Reactivity

Human, Mouse, Rat, Monkey, Primate

Applications

Immunohistochemistry, Immunohistochemistry-Paraffin, Western Blot, ELISA

Label

Unconjugated

Antibody Source

Monoclonal Mouse IgG1 Clone # 1F12

Concentration

This product is unpurified. The exact concentration of antibody is not quantifiable.

Product Specifications

Immunogen

Purified recombinant fragment of human BMPR-II expressed in E. Coli.

Reactivity Notes

Mouse blocking reagent may be needed for IHC and ICC experiments to reduce high background signal. You can find these reagents under catalog numbers PK-2200-NB and MP-2400-NB. Please contact Technical Support if you have any Please note that this antibody is reactive to Mouse and derived from the same host, Mouse. Mouse-On-questions.

Clonality

Monoclonal

Host

Mouse

Isotype

IgG1

Theoretical MW

115 kDa.
Disclaimer note: The observed molecular weight of the protein may vary from the listed predicted molecular weight due to post translational modifications, post translation cleavages, relative charges, and other experimental factors.

Description

Novus Biologicals Mouse BMPR-II Antibody (1F12) (NBP2-37625) is a monoclonal antibody validated for use in IHC, WB and ELISA. All Novus Biologicals antibodies are covered by our 100% guarantee.

Scientific Data Images for BMPR-II Antibody (1F12)

Western Blot: BMPR-II Antibody (1F12)BSA Free [NBP2-37625]

Western Blot: BMPR-II Antibody (1F12)BSA Free [NBP2-37625]

Western Blot: BMPR-II Antibody (1F12) [NBP2-37625] - Analysis using BMPR2 mouse mAb against Hela (1), A431 (2), NIH/3T3 (3), Cos7 (4) and PC-12 (5) cell lysate.
Immunohistochemistry-Paraffin: BMPR-II Antibody (1F12) - BSA Free [NBP2-37625]

Immunohistochemistry-Paraffin: BMPR-II Antibody (1F12) - BSA Free [NBP2-37625]

Immunohistochemistry-Paraffin: BMPR-II Antibody (1F12) [NBP2-37625] - Analysis of kidney cancer tissues (left) and stomach cancer tissues (right) using BMPR2 mouse mAb with DAB staining.
Immunohistochemistry-Paraffin: BMPR-II Antibody (1F12) - BSA Free [NBP2-37625]

Immunohistochemistry-Paraffin: BMPR-II Antibody (1F12) - BSA Free [NBP2-37625]

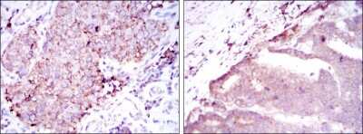
Immunohistochemistry-Paraffin: BMPR-II Antibody (1F12) [NBP2-37625] - Analysis of breast cancer tissues (left) and tonsil tissues (right) using BMPR2 mouse mAb with DAB staining.

Applications for BMPR-II Antibody (1F12)

Application
Recommended Usage

ELISA

1:10000

Immunohistochemistry

1:200 - 1:1000

Immunohistochemistry-Paraffin

1:200 - 1:1000

Western Blot

1:500 - 1:2000

Formulation, Preparation, and Storage

Purification

Ascites

Formulation

Ascites

Preservative

0.03% Sodium Azide

Concentration

This product is unpurified. The exact concentration of antibody is not quantifiable.

Shipping

The product is shipped with polar packs. Upon receipt, store it immediately at the temperature recommended below.

Stability & Storage

Store at 4C short term. Aliquot and store at -20C long term. Avoid freeze-thaw cycles.

Background: BMPR-II

BMPR2 encodes a member of the bone morphogenetic protein (BMP) receptor family of transmembrane serine/threonine kinases. The ligands of this receptor are BMPs, which are members of the TGF-beta superfamily. BMPs are involved in endochondral bone formation and embryogenesis. These proteins transduce their signals through the formation of heteromeric complexes of two different types of serine (threonine) kinase receptors: type I receptors of about 50-55 kD and type II receptors of about 70-80 kD. Type II receptors bind ligands in the absence of type I receptors, but they require their respective type I receptors for signaling, whereas type I receptors require their respective type II receptors for ligand binding. Mutations in this gene have been associated with primary pulmonary hypertension, both familial and fenfluramine-associated, and with pulmonary venoocclusive disease. [provided by RefSeq]

Long Name

Bone Morphogenetic Protein Receptor II

Alternate Names

BMPR2, BMPRII

Gene Symbol

BMPR2

Additional BMPR-II Products

Product Documents for BMPR-II Antibody (1F12)

Certificate of Analysis

To download a Certificate of Analysis, please enter a lot number in the search box below.

Product Specific Notices for BMPR-II Antibody (1F12)

This product is for research use only and is not approved for use in humans or in clinical diagnosis. Primary Antibodies are guaranteed for 1 year from date of receipt.

Loading...
Loading...
Loading...
Loading...