Skip to main content

Bmf Antibody (OTI6F3)

Novus Biologicals, part of Bio-Techne | Catalog # NBP2-46578

Catalog #
Availability
Size / Price
Qty
Loading...
NBP2-46578
Conjugate
Catalog #

Key Product Details

Species Reactivity

Validated:

Human, Mouse, Rat

Cited:

Mouse

Applications

Validated:

Immunohistochemistry, Immunohistochemistry-Paraffin, Western Blot

Cited:

Western Blot

Label

Unconjugated

Antibody Source

Monoclonal Mouse IgG2B Clone # OTI6F3

Concentration

1 mg/ml

Product Specifications

Immunogen

Full length human recombinant protein of human BMF ( NP_001003940) produced in E.coli.

Reactivity Notes

Mouse reactivity reported in scientific literature (PMID: 30282833). Please note that this antibody is reactive to Mouse and derived from the same host, Mouse. Mouse-On-Mouse blocking reagent may be needed for IHC and ICC experiments to reduce high background signal. You can find these reagents under catalog numbers PK-2200-NB and MP-2400-NB. Please contact Technical Support if you have any questions.

Clonality

Monoclonal

Host

Mouse

Isotype

IgG2B

Theoretical MW

20.3 kDa.
Disclaimer note: The observed molecular weight of the protein may vary from the listed predicted molecular weight due to post translational modifications, post translation cleavages, relative charges, and other experimental factors.

Scientific Data Images for Bmf Antibody (OTI6F3)

Western Blot: Bmf Antibody (OTI6F3) [NBP2-46578]

Western Blot: Bmf Antibody (OTI6F3) [NBP2-46578]

Western Blot: BMF Antibody (6F3) [NBP2-46578] - Analysis of HEK293T cells were transfected with the pCMV6-ENTRY control (Left lane) or pCMV6-ENTRY BMF .
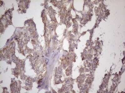
Immunohistochemistry: Bmf Antibody (OTI6F3) [NBP2-46578]

Immunohistochemistry: Bmf Antibody (OTI6F3) [NBP2-46578]

Immunohistochemistry: BMF Antibody (6F3) [NBP2-46578] - Analysis of Carcinoma of Human prostate tissue. (Heat-induced epitope retrieval by 1 mM EDTA in 10mM Tris, pH8.5, 120C for 3min)
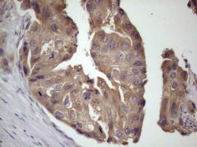
Immunohistochemistry: Bmf Antibody (OTI6F3) [NBP2-46578]

Immunohistochemistry: Bmf Antibody (OTI6F3) [NBP2-46578]

Immunohistochemistry: BMF Antibody (6F3) [NBP2-46578] - Analysis of Adenocarcinoma of Human breast tissue. (Heat-induced epitope retrieval by 1 mM EDTA in 10mM Tris, pH8.5, 120C for 3min).

Applications for Bmf Antibody (OTI6F3)

Application
Recommended Usage

Immunohistochemistry

1:150

Western Blot

1:2000

Formulation, Preparation, and Storage

Purification

Immunogen affinity purified

Formulation

PBS (pH 7.3), 1.0% BSA and 50% Glycerol

Preservative

0.02% Sodium Azide

Concentration

1 mg/ml

Shipping

The product is shipped with polar packs. Upon receipt, store it immediately at the temperature recommended below.

Stability & Storage

Store at -20C. Avoid freeze-thaw cycles.

Background: BMF

Apoptosis or programmed cell death is a physiological cellular process characterized by cell shrinkage, membrane blebbing, DNA fragmentation, and release of Cytochrome C from the mitochondria. It is utilized by the organism to get rid of unwanted cells, which is critical for normal development and homeostasis of an organism. Disregulation of normal apoptosis process have been implicated in a variety of diseases, including cancer, autoimmune diseases, viral infections, etc. Programmed cell death occurs through complex cascades of cell signaling in which Bcl-2 family members, among others, play an important role.The Bcl-2 family of proteins regulate apoptosis as well as execute death signals at the mitochondrion. Members of this family include both pro- and anti-apoptotic proteins that hare homology sequences called Bcl-2 Homology domains (BH1-4) which mediate dimmer formation. The BH3 proteins, such as BID, NOXA, PUMA, BIK, BIM and BAD are all pro-apoptotic and share sequence homology within the amphipathic alpha-helical BH3 region, which is required for their apoptotic function. They may trigger release of death-inducing molecules such as Cytochrome C, Smac, and endonuclease G. Anti-apoptotic family members, including Bcl-2 and Bcl-XL, play inhibitory roles. Bcl-2 family proteins may form homodimers or heterodimers between pro- and anti-apoptotic members, the ratios of which determine the cell fate.

Long Name

Bcl-2 Modifying Factor

Alternate Names

Bcl2 modifying factor, bcl-2-modifying factor, FLJ00065

Gene Symbol

BMF

Additional BMF Products

Product Documents for Bmf Antibody (OTI6F3)

Certificate of Analysis

To download a Certificate of Analysis, please enter a lot number in the search box below.

Product Specific Notices for Bmf Antibody (OTI6F3)

This product is for research use only and is not approved for use in humans or in clinical diagnosis. Primary Antibodies are guaranteed for 1 year from date of receipt.

Loading...
Loading...
Loading...
Loading...