Skip to main content

Biglycan Antibody - BSA Free

Novus Biologicals, part of Bio-Techne | Catalog # NBP1-84971

Novus Biologicals, part of Bio-Techne
Catalog #
Availability
Size / Price
Qty
Loading...
NBP1-84971
NBP1-84971-25ul

Key Product Details

Validated by

Orthogonal Validation, Biological Validation

Species Reactivity

Validated:

Human, Mouse

Cited:

Human, Mouse

Predicted:

Rat (93%). Backed by our 100% Guarantee.

Applications

Validated:

Immunohistochemistry, Immunohistochemistry-Paraffin, Western Blot, Immunocytochemistry/ Immunofluorescence

Cited:

Immunohistochemistry-Paraffin, Immunocytochemistry/ Immunofluorescence, IF/IHC

Label

Unconjugated

Antibody Source

Polyclonal Rabbit IgG

Format

BSA Free

Concentration

Concentrations vary lot to lot. See vial label for concentration. If unlisted please contact technical services.

Product Specifications

Immunogen

This antibody was developed against Recombinant Protein corresponding to amino acids: RGFWDFTLDDGPFMMNDEEASGADTSGVLDPDSVTPTYSAMCPFGCHCHLRVVQCSDLGLKSVPKEISPDTTLLDLQNNDISELRKDDFKGLQHLYALVLVNNKISKIHEKAFSPLRKLQKLYISKNHLVEIPPNLPSSL

Reactivity Notes

Use in Mouse reported in scientific literature (PMID:35008869).

Clonality

Polyclonal

Host

Rabbit

Isotype

IgG

Description

Novus Biologicals Rabbit Biglycan Antibody - BSA Free (NBP1-84971) is a polyclonal antibody validated for use in IHC, WB and ICC/IF. Anti-Biglycan Antibody: Cited in 4 publications. All Novus Biologicals antibodies are covered by our 100% guarantee.

Scientific Data Images for Biglycan Antibody - BSA Free

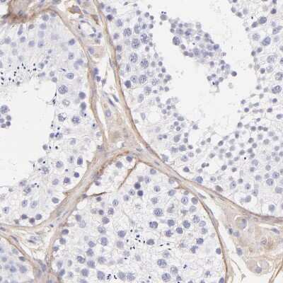
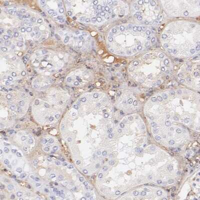
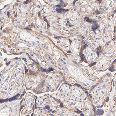
Immunohistochemistry-Paraffin: Biglycan Antibody [NBP1-84971]

Immunohistochemistry-Paraffin: Biglycan Antibody [NBP1-84971]

Immunohistochemistry-Paraffin: Biglycan Antibody [NBP1-84971] - Analysis in human placenta and skeletal muscle tissues. Corresponding BGN RNA-seq data are presented for the same tissues.
Western Blot: Biglycan Antibody [NBP1-84971]

Western Blot: Biglycan Antibody [NBP1-84971]

Biglycan-Antibody-Western-Blot-NBP1-84971-img0019.jpg
Immunocytochemistry/ Immunofluorescence: Biglycan Antibody [NBP1-84971]

Immunocytochemistry/ Immunofluorescence: Biglycan Antibody [NBP1-84971]

Immunocytochemistry/Immunofluorescence: Biglycan Antibody [NBP1-84971] - Staining of human cell line BJ shows localization to endoplasmic reticulum & the Golgi apparatus. Antibody staining is shown in green.

Applications for Biglycan Antibody - BSA Free

Application
Recommended Usage

Immunocytochemistry/ Immunofluorescence

0.25-2 ug/ml

Immunohistochemistry

1:500 - 1:1000

Immunohistochemistry-Paraffin

1:500-1:1000

Western Blot

0.04-0.4 ug/ml
Application Notes
For IHC-Paraffin, HIER pH 6 retrieval is recommended. ICC/IF, Fixation Permeabilization: Use PFA/Triton X-100.

Formulation, Preparation, and Storage

Purification

Immunogen affinity purified

Formulation

PBS (pH 7.2) and 40% Glycerol

Format

BSA Free

Preservative

0.02% Sodium Azide

Concentration

Concentrations vary lot to lot. See vial label for concentration. If unlisted please contact technical services.

Shipping

The product is shipped with polar packs. Upon receipt, store it immediately at the temperature recommended below.

Stability & Storage

Store at 4C short term. Aliquot and store at -20C long term. Avoid freeze-thaw cycles.

Background: Biglycan

Biglycan is encoded by this gene is a small cellular or pericellular matrix proteoglycan that is closely related in structure to two other small proteoglycans, decorin and fibromodulin. The encoded protein and decorin are thought to be the result of a gene duplication. Decorin contains one attached glycosaminoglycan chain, while this protein probably contains two chains. For this reason, this protein is called biglycan. This protein is thought to function in connective tissue metabolism by binding to collagen fibrils and transfering growth factor-beta. It may promote neuronal survival. This gene is a candidate gene for the Happle syndrome.

Alternate Names

BGN, DSPG1, PG-S1, SLRR1A

Gene Symbol

BGN

Additional Biglycan Products

Product Documents for Biglycan Antibody - BSA Free

Certificate of Analysis

To download a Certificate of Analysis, please enter a lot number in the search box below.

Product Specific Notices for Biglycan Antibody - BSA Free

This product is for research use only and is not approved for use in humans or in clinical diagnosis. Primary Antibodies are guaranteed for 1 year from date of receipt.

Loading...
Loading...
Loading...
Loading...
Loading...