Skip to main content

BICD1 Antibody - BSA Free

Novus Biologicals, part of Bio-Techne | Catalog # NBP1-85843

Novus Biologicals, part of Bio-Techne
Catalog #
Availability
Size / Price
Qty
Loading...
NBP1-85843
NBP1-85843-25ul

Key Product Details

Species Reactivity

Validated:

Human

Predicted:

Mouse (94%), Rat (94%). Backed by our 100% Guarantee.

Applications

Immunohistochemistry, Immunohistochemistry-Paraffin, Western Blot

Label

Unconjugated

Antibody Source

Polyclonal Rabbit IgG

Format

BSA Free

Concentration

Concentrations vary lot to lot. See vial label for concentration. If unlisted please contact technical services.

Product Specifications

Immunogen

This antibody was developed against Recombinant Protein corresponding to amino acids: YRQSRVTRSGSLKGPDDPRGLLSPRLARRGVSSPVETRTSSEPVAKESTEASKEPSPTKTPTISPVITAPPSSPVLDTSDIRKE

Reactivity Notes

Reactivity reported in scientific literature (PMID: 24920579)

Clonality

Polyclonal

Host

Rabbit

Isotype

IgG

Description

Novus Biologicals Rabbit BICD1 Antibody - BSA Free (NBP1-85843) is a polyclonal antibody validated for use in IHC and WB. Anti-BICD1 Antibody: Cited in 1 publication. All Novus Biologicals antibodies are covered by our 100% guarantee.

Scientific Data Images for BICD1 Antibody - BSA Free

Immunohistochemistry-Paraffin: BICD1 Antibody [NBP1-85843]

Immunohistochemistry-Paraffin: BICD1 Antibody [NBP1-85843]

Immunohistochemistry-Paraffin: BICD1 Antibody [NBP1-85843] - Staining of human kidney shows moderate granular cytoplasmic positivity in cells in tubules.
Immunohistochemistry-Paraffin: BICD1 Antibody [NBP1-85843]

Immunohistochemistry-Paraffin: BICD1 Antibody [NBP1-85843]

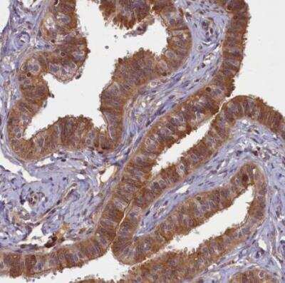
Immunohistochemistry-Paraffin: BICD1 Antibody [NBP1-85843] - Staining of human fallopian tube shows strong granular cytoplasmic positivity in glandular cells.
Immunohistochemistry-Paraffin: BICD1 Antibody [NBP1-85843]

Immunohistochemistry-Paraffin: BICD1 Antibody [NBP1-85843]

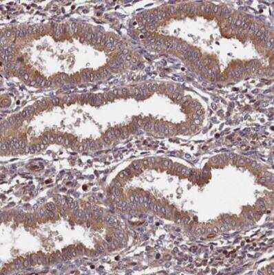
Immunohistochemistry-Paraffin: BICD1 Antibody [NBP1-85843] - Staining of human endometrium shows moderate granular cytoplasmic positivity in glandular cells.

Applications for BICD1 Antibody - BSA Free

Application
Recommended Usage

Immunohistochemistry

1:20 - 1:50

Immunohistochemistry-Paraffin

1:20 - 1:50

Western Blot

0.04 - 0.4 ug/ml
Application Notes
For IHC-Paraffin, HIER pH 6 retrieval is recommended.

Formulation, Preparation, and Storage

Purification

Affinity purified

Formulation

PBS (pH 7.2) and 40% Glycerol

Format

BSA Free

Preservative

0.02% Sodium Azide

Concentration

Concentrations vary lot to lot. See vial label for concentration. If unlisted please contact technical services.

Shipping

The product is shipped with polar packs. Upon receipt, store it immediately at the temperature recommended below.

Stability & Storage

Store at 4C short term. Aliquot and store at -20C long term. Avoid freeze-thaw cycles.

Background: BICD1

BICD1 - bicaudal D homolog 1 (Drosophila)

Alternate Names

Bicaudal D (Drosophila) homolog 1, bicaudal D homolog 1 (Drosophila), BICD, Bic-D 1, cytoskeleton-like bicaudal D protein homolog 1, protein bicaudal D homolog 1

Gene Symbol

BICD1

Additional BICD1 Products

Product Documents for BICD1 Antibody - BSA Free

Certificate of Analysis

To download a Certificate of Analysis, please enter a lot number in the search box below.

Product Specific Notices for BICD1 Antibody - BSA Free

This product is for research use only and is not approved for use in humans or in clinical diagnosis. Primary Antibodies are guaranteed for 1 year from date of receipt.

Loading...
Loading...
Loading...
Loading...