Skip to main content

Beta Ig-h3/TGFBI Antibody - BSA Free

Novus Biologicals, part of Bio-Techne | Catalog # NBP2-48534

Novus Biologicals, part of Bio-Techne
Catalog #
Availability
Size / Price
Qty
Loading...
NBP2-48534
NBP2-48534-25ul

Key Product Details

Validated by

Orthogonal Validation, Independent Antibodies

Species Reactivity

Human

Applications

Immunohistochemistry, Immunohistochemistry-Paraffin, Western Blot

Label

Unconjugated

Antibody Source

Polyclonal Rabbit IgG

Format

BSA Free

Concentration

Concentrations vary lot to lot. See vial label for concentration. If unlisted please contact technical services.

Product Specifications

Immunogen

This antibody was developed against a recombinant protein corresponding to amino acids: NREGVYTVFAPTNEAFRALPPRERSRLLGDAKELANILKYHIGDEILVSGGIGALVRLKSLQGDKLEVSLKNNVVSVNKEPVAEPDIMATNGVVHVITNVLQPPANRPQERGDELADSALEIFKQAS

Reactivity Notes

Mouse (88%), Rat (87%)

Clonality

Polyclonal

Host

Rabbit

Isotype

IgG

Description

Novus Biologicals Rabbit Beta Ig-h3/TGFBI Antibody - BSA Free (NBP2-48534) is a polyclonal antibody validated for use in IHC and WB. All Novus Biologicals antibodies are covered by our 100% guarantee.

Scientific Data Images for Beta Ig-h3/TGFBI Antibody - BSA Free

Immunohistochemistry-Paraffin: Beta Ig-h3/TGFBI Antibody [NBP2-48534]

Immunohistochemistry-Paraffin: Beta Ig-h3/TGFBI Antibody [NBP2-48534]

Immunohistochemistry-Paraffin: Beta Ig-h3/TGFBI Antibody [NBP2-48534] - Analysis in human placenta and pancreas tissues using NBP2-48534 antibody. Corresponding TGFBI RNA-seq data are presented for the same tissues.
Immunohistochemistry-Paraffin: Beta Ig-h3/TGFBI Antibody [NBP2-48534]

Immunohistochemistry-Paraffin: Beta Ig-h3/TGFBI Antibody [NBP2-48534]

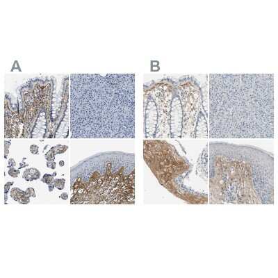
Immunohistochemistry-Paraffin: Beta Ig-h3/TGFBI Antibody [NBP2-48534] - Staining of human gastrointestinal, pancreas, placenta and skin using Anti-Beta Ig-h3/TGFBI antibody NBP2-48534 (A) shows similar protein distribution across tissues to independent antibody NBP1-88606 (B).
Western Blot: Beta Ig-h3/TGFBI Antibody [NBP2-48534]

Western Blot: Beta Ig-h3/TGFBI Antibody [NBP2-48534]

Western Blot: Beta Ig-h3/TGFBI Antibody [NBP2-48534] - Analysis in human plasma.

Applications for Beta Ig-h3/TGFBI Antibody - BSA Free

Application
Recommended Usage

Immunohistochemistry

1:500 - 1:1000

Immunohistochemistry-Paraffin

1:500 - 1:1000

Western Blot

0.04-0.4 ug/ml
Application Notes
For IHC-Paraffin, HIER pH 6 retrieval is recommended.

Formulation, Preparation, and Storage

Purification

Affinity purified

Formulation

PBS (pH 7.2) and 40% Glycerol

Format

BSA Free

Preservative

0.02% Sodium Azide

Concentration

Concentrations vary lot to lot. See vial label for concentration. If unlisted please contact technical services.

Shipping

The product is shipped with polar packs. Upon receipt, store it immediately at the temperature recommended below.

Stability & Storage

Store at 4C short term. Aliquot and store at -20C long term. Avoid freeze-thaw cycles.

Background: beta IG-H3

TGFBI encodes an RGD-containing protein that binds to type I, II and IV collagens. The RGD motif is found in many extracellular matrix proteins modulating cell adhesion and serves as a ligand recognition sequence for several integrins. This protein plays a role in cell-collagen interactions and may be involved in endochondrial bone formation in cartilage. The protein is induced by transforming growth factor-beta and acts to inhibit cell adhesion. Mutations in this gene are associated with multiple types of corneal dystrophy. [provided by RefSeq]

Long Name

TGF-beta Induced Gene H3

Alternate Names

beta IGH3, Kerato-epithelin, RGD-CAP, TGFBI, TGFBIP

Gene Symbol

TGFBI

Additional beta IG-H3 Products

Product Documents for Beta Ig-h3/TGFBI Antibody - BSA Free

Certificate of Analysis

To download a Certificate of Analysis, please enter a lot number in the search box below.

Product Specific Notices for Beta Ig-h3/TGFBI Antibody - BSA Free

This product is for research use only and is not approved for use in humans or in clinical diagnosis. Primary Antibodies are guaranteed for 1 year from date of receipt.

Loading...
Loading...
Loading...
Loading...