Skip to main content

Beta Ig-h3/TGFBI Antibody (JM24-53)

Novus Biologicals, part of Bio-Techne | Catalog # NBP2-67186

Recombinant Monoclonal Antibody.
Novus Biologicals, part of Bio-Techne
Catalog #
Availability
Size / Price
Qty
Loading...
NBP2-67186

Key Product Details

Species Reactivity

Validated:

Human, Mouse, Rat

Cited:

Human, Mouse

Applications

Validated:

Immunohistochemistry, Immunohistochemistry-Paraffin, Western Blot

Cited:

Western Blot

Label

Unconjugated

Antibody Source

Recombinant Monoclonal Rabbit IgG Clone # JM24-53 expressed in HEK293

Concentration

1 mg/ml

Product Specifications

Immunogen

Synthetic peptide within Human Beta Ig-h3/TGFBI aa 93-142 / 683. (SwissProt: Q15582 Human; SwissProt: P82198 Mouse; SwissProt: D4A8G5 Rat)

Localization

Secreted.

Clonality

Monoclonal

Host

Rabbit

Isotype

IgG

Description

Novus Biologicals Rabbit Beta Ig-h3/TGFBI Antibody (JM24-53) (NBP2-67186) is a recombinant monoclonal antibody validated for use in IHC and WB. Anti-Beta Ig-h3/TGFBI Antibody: Cited in 2 publications. All Novus Biologicals antibodies are covered by our 100% guarantee.

Scientific Data Images for Beta Ig-h3/TGFBI Antibody (JM24-53)

Western Blot: Beta Ig-h3/TGFBI Antibody (JM24-53) [NBP2-67186]

Western Blot: Beta Ig-h3/TGFBI Antibody (JM24-53) [NBP2-67186]

Western Blot: Beta Ig-h3/TGFBI Antibody (JM24-53) [NBP2-67186] - Analysis of TGFBI on mouse colon (1) and mouse eye (2) tissue lysate using anti-TGFBI antibody at 1/1,000 dilution.
Immunohistochemistry-Paraffin: Beta Ig-h3/TGFBI Antibody (JM24-53) [NBP2-67186]

Immunohistochemistry-Paraffin: Beta Ig-h3/TGFBI Antibody (JM24-53) [NBP2-67186]

Immunohistochemistry-Paraffin: Beta Ig-h3/TGFBI Antibody (JM24-53) [NBP2-67186] - Analysis of paraffin-embedded human uterus tissue using anti-TGFBI antibody. Counter stained with hematoxylin.
Immunohistochemistry-Paraffin: Beta Ig-h3/TGFBI Antibody (JM24-53) [NBP2-67186]

Immunohistochemistry-Paraffin: Beta Ig-h3/TGFBI Antibody (JM24-53) [NBP2-67186]

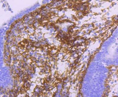
Immunohistochemistry-Paraffin: Beta Ig-h3/TGFBI Antibody (JM24-53) [NBP2-67186] - Analysis of paraffin-embedded human colon cancer tissue using anti-TGFBI antibody. Counter stained with hematoxylin.

Applications for Beta Ig-h3/TGFBI Antibody (JM24-53)

Application
Recommended Usage

Immunohistochemistry-Paraffin

1:50-1:200

Western Blot

1:500-1:2000

Formulation, Preparation, and Storage

Purification

Protein A purified

Formulation

TBS (pH7.4), 0.05% BSA, 40% Glycerol

Preservative

0.05% Sodium Azide

Concentration

1 mg/ml

Shipping

The product is shipped with polar packs. Upon receipt, store it immediately at the temperature recommended below.

Stability & Storage

Store at 4C short term. Aliquot and store at -20C long term. Avoid freeze-thaw cycles.

Background: beta IG-H3

TGFBI encodes an RGD-containing protein that binds to type I, II and IV collagens. The RGD motif is found in many extracellular matrix proteins modulating cell adhesion and serves as a ligand recognition sequence for several integrins. This protein plays a role in cell-collagen interactions and may be involved in endochondrial bone formation in cartilage. The protein is induced by transforming growth factor-beta and acts to inhibit cell adhesion. Mutations in this gene are associated with multiple types of corneal dystrophy. [provided by RefSeq]

Long Name

TGF-beta Induced Gene H3

Alternate Names

beta IGH3, Kerato-epithelin, RGD-CAP, TGFBI, TGFBIP

Gene Symbol

TGFBI

Additional beta IG-H3 Products

Product Documents for Beta Ig-h3/TGFBI Antibody (JM24-53)

Certificate of Analysis

To download a Certificate of Analysis, please enter a lot number in the search box below.

Product Specific Notices for Beta Ig-h3/TGFBI Antibody (JM24-53)

This product is for research use only and is not approved for use in humans or in clinical diagnosis. Primary Antibodies are guaranteed for 1 year from date of receipt.

Loading...
Loading...
Loading...
Loading...