Skip to main content

beta-Galactosidase-1/GLB1 Antibody (OTI1C9) - Azide and BSA Free

Novus Biologicals, part of Bio-Techne | Catalog # NBP2-70829

Novus Biologicals, part of Bio-Techne

Key Product Details

Species Reactivity

Human, Canine, Monkey

Applications

Immunohistochemistry, Immunohistochemistry-Paraffin, Western Blot

Label

Unconjugated

Antibody Source

Monoclonal Mouse IgG2A Clone # OTI1C9

Format

Azide and BSA Free

Concentration

LYOPH mg/ml

Product Specifications

Immunogen

Full length human recombinant protein of human GLB1(NP_001073279) produced in HEK293T cell.

Clonality

Monoclonal

Host

Mouse

Isotype

IgG2A

Theoretical MW

72.6 kDa.
Disclaimer note: The observed molecular weight of the protein may vary from the listed predicted molecular weight due to post translational modifications, post translation cleavages, relative charges, and other experimental factors.

Description

Novus Biologicals Mouse beta-Galactosidase-1/GLB1 Antibody (OTI1C9) - Azide and BSA Free (NBP2-45731) is a monoclonal antibody validated for use in IHC and WB. All Novus Biologicals antibodies are covered by our 100% guarantee.

Scientific Data Images for beta-Galactosidase-1/GLB1 Antibody (OTI1C9) - Azide and BSA Free

Western Blot: beta-Galactosidase-1/GLB1 Antibody (OTI1C9)Azide and BSA Free [NBP2-70829]

Western Blot: beta-Galactosidase-1/GLB1 Antibody (OTI1C9)Azide and BSA Free [NBP2-70829]

Western Blot: beta-Galactosidase-1/GLB1 Antibody (OTI1C9) - Azide and BSA Free [NBP2-70829] - Analysis of HEK293T cells were transfected with the pCMV6-ENTRY control (Left lane) or pCMV6-ENTRY GLB1 .
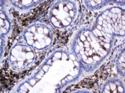
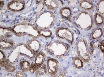
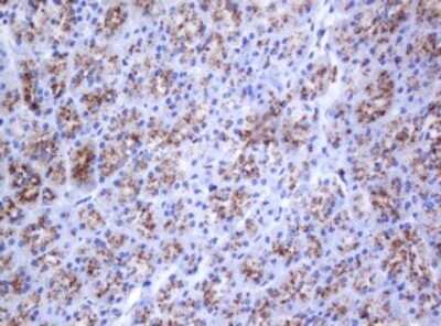
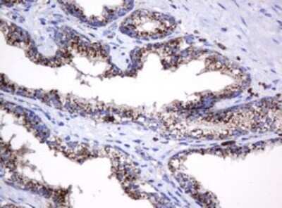
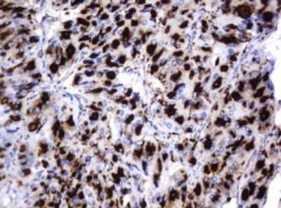
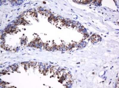
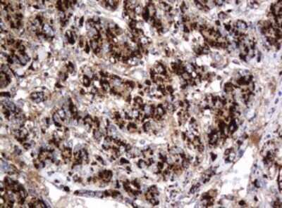
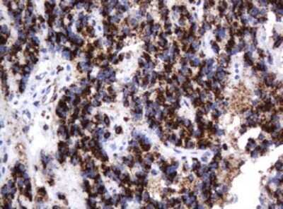
Immunohistochemistry: beta-Galactosidase-1/GLB1 Antibody (OTI1C9) - Azide and BSA Free [NBP2-70829]

Immunohistochemistry: beta-Galactosidase-1/GLB1 Antibody (OTI1C9) - Azide and BSA Free [NBP2-70829]

Immunohistochemistry: beta-Galactosidase-1/GLB1 Antibody (OTI1C9) - Azide and BSA Free [NBP2-70829] - Analysis of Human pancreas tissue. (Heat-induced epitope retrieval by 10mM citric buffer, pH6.0, 120C for 3min)
Western Blot: beta-Galactosidase-1/GLB1 Antibody (OTI1C9)Azide and BSA Free [NBP2-70829]

Western Blot: beta-Galactosidase-1/GLB1 Antibody (OTI1C9)Azide and BSA Free [NBP2-70829]

Western Blot: beta-Galactosidase-1/GLB1 Antibody (OTI1C9) - Azide and BSA Free [NBP2-70829] - Analysis of extracts (35ug) from 9 different cell lines by using anti-GLB1 monoclonal antibody (HepG2: human; HeLa: human; SVT2: mouse; A549: human; COS7: monkey; Jurkat: human; MDCK: canine; PC12: rat; MCF7: human).

Applications for beta-Galactosidase-1/GLB1 Antibody (OTI1C9) - Azide and BSA Free

Application
Recommended Usage

Immunohistochemistry

1:150

Western Blot

1:500

Formulation, Preparation, and Storage

Purification

Immunogen affinity purified

Reconstitution

we recommend adding 100uL distilled water to a final antibody concentration of about 1 mg/mL. To use this carrier-free antibody for conjugation experiment, we strongly recommend performing another round of desalting process.

Formulation

Lyophilized from PBS (pH 7.3) with 8% Trehalose

Format

Azide and BSA Free

Preservative

No Preservative

Concentration

LYOPH mg/ml

Shipping

The product is shipped with polar packs. Upon receipt, store it immediately at the temperature recommended below.

Stability & Storage

Store at -20C. Avoid freeze-thaw cycles.

Background: beta-Galactosidase-1/GLB1

The GLB1 gene encodes beta-galactosidase-1 (EC 3.2.1.23), a lysosomal hydrolase that cleaves the terminal beta-galactose from ganglioside substrates and other glycoconjugates (Yoshida et al., 1991 [PubMed 1907800]). Beta-galactosidase also occurs in a complex with neuraminidase (NEU1; MIM 608272) and protective protein/cathepsin A (PPCA; MIM 256540), which is a component of certain cell surface receptors (Hinek, 1996 [PubMed 8922281]). See also galactosylceramidase (GALC; MIM 606890) (EC 3.2.1.46), a genetically distinct beta-galactosidase that is involved in the catabolism of other lipid compounds.[supplied by OMIM]

Alternate Names

betaGalactosidase1, EBP, ELNR1, GLB1, Lactase

Gene Symbol

GLB1

Additional beta-Galactosidase-1/GLB1 Products

Product Documents for beta-Galactosidase-1/GLB1 Antibody (OTI1C9) - Azide and BSA Free

Certificate of Analysis

To download a Certificate of Analysis, please enter a lot number in the search box below.

Product Specific Notices for beta-Galactosidase-1/GLB1 Antibody (OTI1C9) - Azide and BSA Free

This product is for research use only and is not approved for use in humans or in clinical diagnosis. Primary Antibodies are guaranteed for 1 year from date of receipt.

Loading...
Loading...
Loading...
Loading...
Loading...