Skip to main content

Beclin 1 Antibody Pack

Novus Biologicals, part of Bio-Techne | Catalog # NB910-95610

Novus Biologicals, part of Bio-Techne
Catalog #
Availability
Size / Price
Qty
Loading...
NB910-95610

Key Product Details

Species

Human, Mouse, Rat

Applications

Immunocytochemistry/ Immunofluorescence, Immunohistochemistry, Mycoplasma, Simple Western, Western Blot

Product Summary for Beclin 1 Antibody Pack

This pack contains 1 vial each of: NB500-249 (0.1 mL), NB500-266 (0.1 mL) and NB110-87318 (0.1 mL).

Product Specifications

Application Notes

See individual datasheets of components for their validated applications

Reactivity Notes

See individual datasheets of components for their validated species

Scientific Data Images for Beclin 1 Antibody Pack

Beclin 1 Antibody Pack [NB910-95610] - Lane view shows a specific band for Beclin in 1.0 mg/ml of HeLa lysate using NB110-87318. This experiment was performed under reducing conditions using the 12-230 kDa separation system.
Beclin 1 Antibody Pack [NB910-95610] - Expression of Beclin 1 mRNA and protein in cells and tissues. (A) Beclin 1 mRNA expression level up-regulated in gastric cancer cell lines compared with normal gastric epithelial cells by reverse transcription-PCR. (B) Beclin 1 protein expression level up-regulated in gastric cancer cell lines compared with normal gastric epithelial cells by western blotting. (C) Beclin 1 mRNA expression is elevated in primary gastric tumors compared with paired gastric adjacent noncancerous tissues by reverse transcription-PCR. (D) Beclin 1 protein expression is elevated in primary gastric tumors compared with paired gastric adjacent noncancerous tissues by western blotting. Image collected and cropped by CiteAb from the following publication (//doi.org/10.1371/journal.pone.0045968) licensed under a CC-BY license. Anti-Beclin-1 Antibody NB500-249
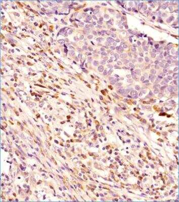
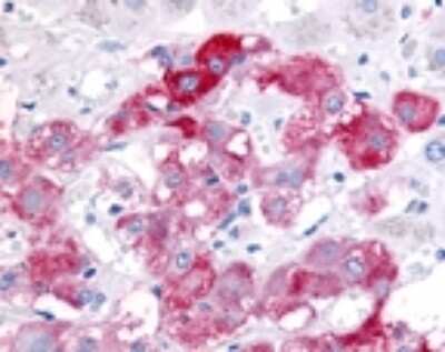
Immunohistochemistry: Beclin 1 Antibody Pack [NB910-95610]

Immunohistochemistry: Beclin 1 Antibody Pack [NB910-95610]

Immunohistochemistry: Beclin 1 Antibody Pack [NB910-95610] - Analysis of a FFPE tissue section of human breast cancer using Beclin 1 antibody (NB110-87318) at 1:300 dilution. The primary antibody bound to Beclin 1 antigen in the tissue section was detected using a HRP labeled secondary antibody and DAB reagent. Nuclei of the cells were counterstained with hematoxylin. Cytoplasmic staining can be seen in the cancer as well as the stromal cells. The signal was strongest in a subset of stromal cells which appears to be the cancer associated fibroblasts.

Formulation, Preparation, and Storage

Formulation

See individual datasheets

Concentration

Concentration of individual antibodies may be found on the vial label. If unlisted please contact technical services.

Shipping

The product is shipped with polar packs. Upon receipt, store it immediately at the temperature recommended below.

Storage

Store at 4C short term. Aliquot and store at -20C long term. Avoid freeze-thaw cycles.

Background: Beclin 1

Beclin 1 is the first identified mammalian gene to mediate autophagy and also has tumor suppressor and antiviral function. Autophagy, a process of bulk protein degradation through an autophagosomic-lysosomal pathway, is important for differentiation, survival during nutrient deprivation, and normal growth control, and is often defective in tumor cells. Beclin 1 was originally isolated in a yeast two hybrid screen to identify Bcl-2-binding partners and maps to a tumor susceptibility locus on human chromosome 17q21 that is frequently monoallelically deleted in human breast, ovarian and prostate cancer. Beclin 1 encodes an evolutionarily conserved 60 kDa coiled coil protein that is expressed in human muscle, epithelial cells and neurons. In gene transfer studies, beclin 1 promotes nutrient deprivation-induced autophagy, inhibits mammary tumorigenesis, and inhibits viral replication. Expression of the Beclin 1 protein is frequently decreased in malignant breast epithelial cells. Based upon these observations, it is speculated that beclin 1 may work through induction of autophagy to negatively regulate tumorigenesis and to control viral infections. Beclin 1 may also play a role in other biological processes in which autophagy is important such as cell differentiation and nutritional stress responses.

Long Name

Beclin1, Autophagy-related

Alternate Names

ATG6, BECN1, GT197, VPS30

Gene Symbol

BECN1

Additional Beclin 1 Products

Product Documents for Beclin 1 Antibody Pack

Certificate of Analysis

To download a Certificate of Analysis, please enter a lot number in the search box below.

Product Specific Notices for Beclin 1 Antibody Pack

This product is for research use only and is not approved for use in humans or in clinical diagnosis. Antibody Packs are guaranteed for 1 year from date of receipt.

Loading...
Loading...
Loading...
Loading...