Skip to main content

Key Product Details

Species Reactivity

Validated:

Human, Mouse, Rat, Porcine, Alligator, Canine, Primate

Cited:

Human, Mouse, Rat, Porcine, Alligator, Canine, Primate

Predicted:

Bovine (97%), Chicken (91%), Orangutan (99%). Backed by our 100% Guarantee.

Applications

Validated:

Immunohistochemistry, Immunohistochemistry-Paraffin, Western Blot, Immunocytochemistry/ Immunofluorescence, Simple Western, Knockdown Validated

Cited:

Western Blot, Immunocytochemistry/ Immunofluorescence, IF/IHC, Knockdown Validated

Label

Unconjugated

Antibody Source

Polyclonal Rabbit IgG

Format

BSA Free

Concentration

1 mg/ml

Product Specifications

Immunogen

Synthetic peptide made to an internal portion of human Beclin 1 (within residues 150-300).

Reactivity Notes

Use in Rat reported in scientific literature (PMID:34622072). Canine reactivity reported in scientific literature (PMID: 24027311). Use in Rat reported in scientific literature (PMID:32501746).

Localization

Cell Membrane, Cytoplasmic and Golgi Apparatus. Expressed in dendrites and cell bodies of cerebellar Purkinje cells

Clonality

Polyclonal

Host

Rabbit

Isotype

IgG

Theoretical MW

51 kDa.
Disclaimer note: The observed molecular weight of the protein may vary from the listed predicted molecular weight due to post translational modifications, post translation cleavages, relative charges, and other experimental factors.

Description

Novus Biologicals Rabbit Beclin 1 Antibody - BSA Free (NB110-87318) is a polyclonal antibody validated for use in IHC, WB, ICC/IF and Simple Western. Anti-Beclin 1 Antibody: Cited in 66 publications. All Novus Biologicals antibodies are covered by our 100% guarantee.

Scientific Data Images for Beclin 1 Antibody - BSA Free

Simple Western: Beclin 1 AntibodyBSA Free [NB110-87318]

Simple Western: Beclin 1 AntibodyBSA Free [NB110-87318]

Simple Western: Beclin 1 Antibody [NB110-87318] - Lane view shows a specific band for Beclin in 1.0 mg/ml of HeLa lysate. This experiment was performed under reducing conditions using the 12-230 kDa separation system.
Western Blot: Beclin 1 AntibodyBSA Free [NB110-87318]

Western Blot: Beclin 1 AntibodyBSA Free [NB110-87318]

Western Blot: Beclin 1 Antibody [NB110-87318] - Total protein from human HeLa and mouse Neuro2A cells was separated on a 12% gel by SDS-PAGE, transferred to PVDF membrane and blocked in 5% non-fat milk in TBST. The membrane was probed with 2.0 ug/ml anti-Beclin-1 in blocking buffer and detected with an anti-rabbit HRP secondary antibody using chemiluminescence.
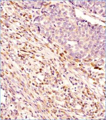
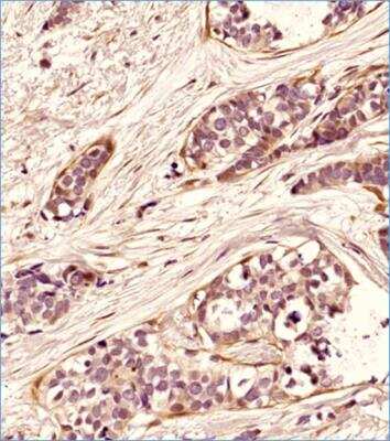
Immunohistochemistry-Paraffin: Beclin 1 Antibody - BSA Free [NB110-87318]

Immunohistochemistry-Paraffin: Beclin 1 Antibody - BSA Free [NB110-87318]

Immunohistochemistry-Paraffin: Beclin 1 Antibody [NB110-87318] - Analysis of a FFPE tissue section of human breast cancer using Beclin 1 antibody (Lot 71917) at 1:300 dilution. The primary antibody bound to Beclin 1 antigen in the tissue section was detected using a HRP labeled secondary antibody and DAB reagent. Nuclei of the cells were counterstained with hematoxylin. Cytoplasmic staining can be seen in the cancer as well as the stromal cells. The signal was strongest in a subset of stromal cells which appears to be the cancer associated fibroblasts.

Applications for Beclin 1 Antibody - BSA Free

Application
Recommended Usage

Immunocytochemistry/ Immunofluorescence

1:50

Immunohistochemistry

1:50 - 1:400

Immunohistochemistry-Paraffin

1:50 - 1:400

Knockdown Validated

reported in scientific literature (PMID 29297744)

Simple Western

1:12.5

Western Blot

1:1000
Application Notes
In Western blot, a band is seen approx. 51 kDa. In Simple Western only 10 - 15 uL of the recommended dilution is used per data point.
See Simple Western Antibody Database for Simple Western validation: Tested in HeLa lysate 1.0 mg/mL, separated by Size, antibody dilution of 1:12.5, apparent MW was 59 kDa

Reviewed Applications

Read 4 reviews rated 4.8 using NB110-87318 in the following applications:

Formulation, Preparation, and Storage

Purification

Immunogen affinity purified

Formulation

PBS

Format

BSA Free

Preservative

0.02% Sodium Azide

Concentration

1 mg/ml

Shipping

The product is shipped with polar packs. Upon receipt, store it immediately at the temperature recommended below.

Stability & Storage

Store at 4C short term. Aliquot and store at -20C long term. Avoid freeze-thaw cycles.

Background: Beclin 1

Beclin 1 is the first identified mammalian gene to mediate autophagy and also has tumor suppressor and antiviral function. Autophagy, a process of bulk protein degradation through an autophagosomic-lysosomal pathway, is important for differentiation, survival during nutrient deprivation, and normal growth control, and is often defective in tumor cells. Beclin 1 was originally isolated in a yeast two hybrid screen to identify Bcl-2-binding partners and maps to a tumor susceptibility locus on human chromosome 17q21 that is frequently monoallelically deleted in human breast, ovarian and prostate cancer. Beclin 1 encodes an evolutionarily conserved 60 kDa coiled coil protein that is expressed in human muscle, epithelial cells and neurons. In gene transfer studies, Beclin 1 promotes nutrient deprivation-induced autophagy, inhibits mammary tumorigenesis, and inhibits viral replication. Expression of the Beclin 1 protein is frequently decreased in malignant breast epithelial cells. Based upon these observations, it is speculated that beclin 1 may work through induction of autophagy to negatively regulate tumorigenesis and to control viral infections. Beclin 1 may also play a role in other biological processes in which autophagy is important such as cell differentiation and nutritional stress responses.

Long Name

Beclin1, Autophagy-related

Alternate Names

ATG6, BECN1, GT197, VPS30

Gene Symbol

BECN1

Additional Beclin 1 Products

Product Documents for Beclin 1 Antibody - BSA Free

Certificate of Analysis

To download a Certificate of Analysis, please enter a lot number in the search box below.

Product Specific Notices for Beclin 1 Antibody - BSA Free

This product is for research use only and is not approved for use in humans or in clinical diagnosis. Primary Antibodies are guaranteed for 1 year from date of receipt.

Loading...
Loading...
Loading...
Loading...
Loading...