Skip to main content

bcl-x Antibody (BX006)

Novus Biologicals, part of Bio-Techne | Catalog # NBP2-25240

Novus Biologicals, part of Bio-Techne
Catalog #
Availability
Size / Price
Qty
Loading...
NBP2-25240-20ug
NBP2-25240
Conjugate
Catalog #

Key Product Details

Species Reactivity

Human, Mouse, Rat, Porcine

Applications

Immunohistochemistry, Immunohistochemistry-Paraffin, Western Blot

Label

Unconjugated

Antibody Source

Monoclonal Mouse IgG2a Kappa Clone # BX006

Concentration

0.2 mg/ml

Product Specifications

Immunogen

A synthetic peptide, aa 3-14 (Cys-QSNRELVVDFLS) of human Bcl-xL protein. (Uniprot: Q07817)

Localization

Cytoplasmic and cell/nuclear membrane

Specificity

Recognizes a protein of 27kDa, identified as the Bcl-X protein. This monoclonal antibody shows no cross-reaction with Bcl-2 or Bax protein. Bcl-X has two isoforms, Bcl-XL (long), a 241 amino acid protein which suppresses cell death. And Bcl-XS (short), a 178 amino acid protein lacking a 63 amino acid domain which functions as a dominant inhibitor of Bcl-2. This monoclonal antibody reacts with both Bcl-XS and Bcl-XL proteins.

Marker

Apoptosis Marker

Clonality

Monoclonal

Host

Mouse

Isotype

IgG2a Kappa

Theoretical MW

27 kDa.
Disclaimer note: The observed molecular weight of the protein may vary from the listed predicted molecular weight due to post translational modifications, post translation cleavages, relative charges, and other experimental factors.

Description

200ug/ml of antibody purified from Bioreactor Concentrate by Protein A or G. Prepared in 10 mM PBS with 0.05% BSA & 0.05% azide. Also available WITHOUT BSA & azide at 1.0 mg/ml. (NBP2-33164)

Antibody with azide - store at 2 to 8C. Antibody without azide - store at -20 to -80C.

Scientific Data Images for bcl-x Antibody (BX006)

Western Blot: bcl-x Antibody (BX006) [NBP2-25240]

Western Blot: bcl-x Antibody (BX006) [NBP2-25240]

Western Blot: bcl-x Antibody (BX006) [NBP2-25240] - Analysis of Bcl-X in Jurkat lysate using Bcl-xl antibody at 1 ug/ml.
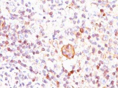
Immunohistochemistry-Paraffin: bcl-x Antibody (BX006) [NBP2-25240]

Immunohistochemistry-Paraffin: bcl-x Antibody (BX006) [NBP2-25240]

Immunohistochemistry-Paraffin: bcl-x Antibody (BX006) [NBP2-25240] - Formalin-paraffin Hodgkin's lymphoma stained with Bcl-xl Ab (BX006). Note cytoplasmic and membrane staining.

Applications for bcl-x Antibody (BX006)

Application
Recommended Usage

Immunohistochemistry-Paraffin

1-2 ug/ml

Western Blot

1-2 ug/ml
Application Notes
Immunohistochemistry (Formalin-fixed): 1-2ug/ml for 30 minutes at RT. Staining of formalin-fixed tissues requires heating tissue sections in 1mM EDTA buffer, pH 7.5-8.5, for 45 min at 95C followed by cooling at RT for 20 minutes.
Optimal dilution for a specific application should be determined.

Formulation, Preparation, and Storage

Purification

Protein A or G purified

Formulation

10 mM PBS with 0.05% BSA

Preservative

0.05% Sodium Azide

Concentration

0.2 mg/ml

Shipping

The product is shipped with polar packs. Upon receipt, store it immediately at the temperature recommended below.

Stability & Storage

Store at 4C.

Background: Bcl-x

Bcl-2 family proteins regulate apoptosis primarily through the regulation of mitochondrial outer membrane permeability. In mammals, the family consists of both prosurvival (antiapoptotic) and proapoptotic (prodeath) members. Cellular homeostasis is thought to be dependent on a balance between the actions of prosurvival and proapoptotic proteins. Bcl-2 family proteins can be divided into 3 main subfamilies on the basis of their function and the content of their Bcl-2 homology (BH) domains, for example: 1) Prosurvival: Bcl-2, Bcl-XL, Bcl-W, A1, and Mcl-1 2) Proapoptotic (multidomain): Bax, Bak, and Bok. 3) BH3-only (proapoptotic): Bad, Bcl-XS, Bid, Bik, Bim, Blk, Bmf, Bnip, Noxa, and Puma.

Long Name

B Cell Lymphoma/Leukemia x

Alternate Names

BCL2L1, Bclx

Gene Symbol

BCL2L1

Additional Bcl-x Products

Product Documents for bcl-x Antibody (BX006)

Certificate of Analysis

To download a Certificate of Analysis, please enter a lot number in the search box below.

Product Specific Notices for bcl-x Antibody (BX006)

This product is for research use only and is not approved for use in humans or in clinical diagnosis. Primary Antibodies are guaranteed for 1 year from date of receipt.

Loading...
Loading...
Loading...
Loading...