Skip to main content

bcl-x Antibody (BX006 + 2H12) - Azide and BSA Free

Novus Biologicals, part of Bio-Techne | Catalog # NBP2-34571

Novus Biologicals, part of Bio-Techne
Catalog #
Availability
Size / Price
Qty
Loading...
NBP2-34571-0.1mg
Conjugate
Catalog #

Key Product Details

Species Reactivity

Human, Mouse, Rat, Porcine

Applications

Immunohistochemistry, Immunohistochemistry-Paraffin, Western Blot

Label

Unconjugated

Antibody Source

Monoclonal Mouse IgG2a Kappa/IgG2a Kappa Clone # BX006 + 2H12

Format

Azide and BSA Free

Concentration

1.0 mg/ml

Product Specifications

Immunogen

A synthetic peptide, aa 3-14 (Cys-QSNRELVVDFLS) of human Bcl-xL protein (BX006 & 2H12) (Uniprot: Q07817)

Localization

Cytoplasmic and cell/nuclear membrane

Specificity

Recognizes a protein of 27kDa, identified as the Bcl-X protein. This monoclonal antibody shows no cross-reaction with Bcl-2 or Bax protein. Bcl-X has two isoforms, Bcl-XL (long), a 241 amino acid protein which suppresses cell death. And Bcl-XS (short), a 178 amino acid protein lacking a 63 amino acid domain which functions as a dominant inhibitor of Bcl-2. This monoclonal antibody reacts with both Bcl-XS and Bcl-XL proteins.

Marker

Apoptosis Marker

Clonality

Monoclonal

Host

Mouse

Isotype

IgG2a Kappa/IgG2a Kappa

Theoretical MW

27 kDa.
Disclaimer note: The observed molecular weight of the protein may vary from the listed predicted molecular weight due to post translational modifications, post translation cleavages, relative charges, and other experimental factors.

Description

1.0 mg/ml of antibody purified from Bioreactor Concentrate by Protein A/G. Prepared in 10mM PBS WITHOUT BSA & azide. Also available at 200 ug/ml WITH BSA & azide (NBP2-34290).

Antibody with azide - store at 2 to 8C. Antibody without azide - store at -20 to -80C.

Scientific Data Images for bcl-x Antibody (BX006 + 2H12) - Azide and BSA Free

Western Blot: bcl-x Antibody (BX006 + 2H12)Azide and BSA Free [NBP2-34571]

Western Blot: bcl-x Antibody (BX006 + 2H12)Azide and BSA Free [NBP2-34571]

Western Blot: bcl-x Antibody (BX006 + 2H12) - Azide and BSA Free [NBP2-34571] - Western blot analysis of Jurkat Cell lysate using bcl-X monoclonal antibody (BX006 + 2H12).
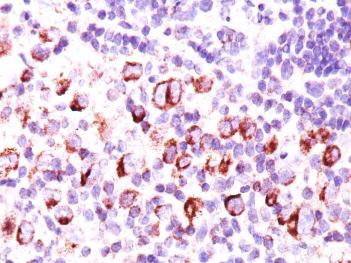
bcl-x Antibody (BX006 + 2H12) - Azide and BSA Free Immunohistochemistry-Paraffin: bcl-x Antibody (BX006 + 2H12) - Azide and BSA Free [NBP2-34571] -

Immunohistochemistry-Paraffin: bcl-x Antibody (BX006 + 2H12) - Azide and BSA Free [NBP2-34571] -

Formalin-fixed, paraffin-embedded Hodgkin's lymphoma stained with bcl-x Antibody (BX006 + 2H12) - Azide and BSA Free.

Applications for bcl-x Antibody (BX006 + 2H12) - Azide and BSA Free

Application
Recommended Usage

Immunohistochemistry

Optimal dilutions of this antibody should be experimentally determined.

Immunohistochemistry-Paraffin

Optimal dilutions of this antibody should be experimentally determined.

Western Blot

Optimal dilutions of this antibody should be experimentally determined.
Application Notes
Immunohistochemistry (Formalin-fixed): 1-2ug/ml for 30 minutes at RT. Staining of formalin-fixed tissues requires heating tissue sections in 1mM EDTA buffer, pH 7.5-8.5, for 45 min at 95C followed by cooling at RT for 20 minutes.
Optimal dilution for a specific application should be determined.

Formulation, Preparation, and Storage

Purification

Protein A or G purified

Formulation

10 mM PBS

Format

Azide and BSA Free

Preservative

No Preservative

Concentration

1.0 mg/ml

Shipping

The product is shipped with polar packs. Upon receipt, store it immediately at the temperature recommended below.

Stability & Storage

Store at -20 to -80C. Avoid freeze-thaw cycles.

Background: Bcl-x

Bcl-x is a member of the Bcl-2 family of proteins that regulates outer mitochondrial membrane permeability. Alternative splicing results in two distinct Bcl-x isoforms. Bcl-xL (long) is an anti-apoptotic protein that prevents release of Cytochromec from the mitochondrial intermembrane space into the cytosol. Bcl-xs (short) is a pro-apoptotic member that can initiate programmed cell death.

Long Name

B Cell Lymphoma/Leukemia x

Alternate Names

BCL2L1, Bclx

Gene Symbol

BCL2L1

Additional Bcl-x Products

Product Documents for bcl-x Antibody (BX006 + 2H12) - Azide and BSA Free

Certificate of Analysis

To download a Certificate of Analysis, please enter a lot number in the search box below.

Product Specific Notices for bcl-x Antibody (BX006 + 2H12) - Azide and BSA Free

This product is for research use only and is not approved for use in humans or in clinical diagnosis. Primary Antibodies are guaranteed for 1 year from date of receipt.

Loading...
Loading...
Loading...
Loading...