Skip to main content

Bcl-2 related protein A1 Antibody (SC05-42)

Novus Biologicals, part of Bio-Techne | Catalog # NBP2-67563

Recombinant Monoclonal Antibody
Novus Biologicals, part of Bio-Techne
Catalog #
Availability
Size / Price
Qty
Loading...
NBP2-67563

Key Product Details

Validated by

Biological Validation

Species Reactivity

Human, Mouse, Rat

Applications

Immunohistochemistry, Immunohistochemistry-Paraffin, Western Blot, Flow Cytometry

Label

Unconjugated

Antibody Source

Recombinant Monoclonal Rabbit IgG Clone # SC05-42 expressed in HEK293

Concentration

1 mg/ml

Product Specifications

Immunogen

Synthetic peptide within Human Bcl-2 related protein A1 aa 2-48 / 175. (SwissProt: Q16548 Human; SwissProt: Q07440 Mouse; Unigene:19770 Rat)

Localization

Cytoplasm.

Clonality

Monoclonal

Host

Rabbit

Isotype

IgG

Description

Novus Biologicals Rabbit Bcl-2 related protein A1 Antibody (SC05-42) (NBP2-67563) is a recombinant monoclonal antibody validated for use in IHC, WB and Flow. All Novus Biologicals antibodies are covered by our 100% guarantee.

Scientific Data Images for Bcl-2 related protein A1 Antibody (SC05-42)

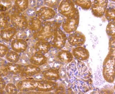
Immunohistochemistry-Paraffin: Bcl-2 related protein A1 Antibody (SC05-42) [NBP2-67563]

Immunohistochemistry-Paraffin: Bcl-2 related protein A1 Antibody (SC05-42) [NBP2-67563]

Immunohistochemistry-Paraffin: Bcl-2 related protein A1 Antibody (SC05-42) [NBP2-67563] - Mouse kidney tissue with Rabbit anti-BCL2A1 antibody at 1/400 dilution. The section was pre-treated using heat mediated antigen retrieval with Tris-EDTA buffer (pH 9.0) for 20 minutes. The tissues were blocked in 1% BSA for 20 minutes at room temperature, washed with ddH2O and PBS, and then probed with the primary antibody at 1/400 dilution for 1 hour at room temperature. The detection was performed using an HRP conjugated compact polymer system. DAB was used as the chromogen. Tissues were counterstained with hematoxylin and mounted with DPX.
Flow Cytometry: Bcl-2 related protein A1 Antibody (SC05-42) [NBP2-67563]

Flow Cytometry: Bcl-2 related protein A1 Antibody (SC05-42) [NBP2-67563]

Flow Cytometry: Bcl-2 related protein A1 Antibody (SC05-42) [NBP2-67563] - Analysis of 293 cells with Bfl1(BCL2A1) antibody at 1/50 dilution (red) compared with an unlabelled control (cells without incubation with primary antibody; black). Alexa Fluor 488-conjugated goat anti rabbit IgG was used as the secondary antibody.
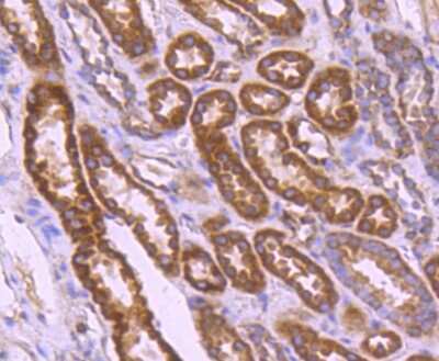
Immunohistochemistry-Paraffin: Bcl-2 related protein A1 Antibody (SC05-42) [NBP2-67563]

Immunohistochemistry-Paraffin: Bcl-2 related protein A1 Antibody (SC05-42) [NBP2-67563]

Immunohistochemistry-Paraffin: Bcl-2 related protein A1 Antibody (SC05-42) [NBP2-67563] - Analysis of paraffin-embedded human kidney tissue using anti- BCL2A1 antibody. Counter stained with hematoxylin.

Applications for Bcl-2 related protein A1 Antibody (SC05-42)

Application
Recommended Usage

Flow Cytometry

1:50-1:100

Immunohistochemistry-Paraffin

1:50-1:400

Western Blot

1:1000

Formulation, Preparation, and Storage

Purification

Protein A purified

Formulation

TBS (pH7.4), 0.05% BSA, 40% Glycerol

Preservative

0.05% Sodium Azide

Concentration

1 mg/ml

Shipping

The product is shipped with polar packs. Upon receipt, store it immediately at the temperature recommended below.

Stability & Storage

Store at 4C short term. Aliquot and store at -20C long term. Avoid freeze-thaw cycles.

Background: Bcl-2 related protein A1

Bcl-2 related protein A1; also known as Bcl2A1 and Bfl1, is an anti-apoptotic Bcl-2 family member preferentially expressed in hematopoietic and endothelial cells (1). Bfl1 is involved in a variety of cellular activities such as embryonic development, homeostatis and tumorigenesis. Expression of Bfl1 is stimulated by NF-kB in response to inflammatory stimuli and is up-regulated by TNF-alpha, IL1-beta, IGF1, GMC-SF, CD40 and phorbol ester (2-3). Blf1 has also been shown to reduce the release of pro-apoptotic cytochrome c from the mitochondria, block caspase activation and suppress apoptosis induced by p53 (4-5).

Alternate Names

BCL2A1, Bcl2L5, Bfl-1, GRS

Gene Symbol

BCL2A1

Additional Bcl-2 related protein A1 Products

Product Documents for Bcl-2 related protein A1 Antibody (SC05-42)

Certificate of Analysis

To download a Certificate of Analysis, please enter a lot number in the search box below.

Product Specific Notices for Bcl-2 related protein A1 Antibody (SC05-42)

This product is for research use only and is not approved for use in humans or in clinical diagnosis. Primary Antibodies are guaranteed for 1 year from date of receipt.

Loading...
Loading...
Loading...
Loading...
Loading...