Skip to main content

Bcl-10 Antibody (4F8) - BSA Free

Novus Biologicals, part of Bio-Techne | Catalog # NBP1-51524

Novus Biologicals, part of Bio-Techne
Catalog #
Availability
Size / Price
Qty
Loading...
NBP1-51524
NBP1-51524-0.025ml

Key Product Details

Species Reactivity

Validated:

Human, Mouse

Cited:

Human

Applications

Validated:

Immunohistochemistry, Immunohistochemistry-Paraffin, Western Blot, ELISA, Flow Cytometry, Immunocytochemistry/ Immunofluorescence, CyTOF-ready

Cited:

ELISA

Label

Unconjugated

Antibody Source

Monoclonal Mouse IgG1 Clone # 4F8

Format

BSA Free

Concentration

1 mg/ml

Product Specifications

Immunogen

Purified recombinant fragment of human BCL-10 expressed in E. Coli.

Reactivity Notes

Mouse blocking reagent may be needed for IHC and ICC experiments to reduce high background signal. You can find these reagents under catalog numbers PK-2200-NB and MP-2400-NB. Please contact Technical Support if you have any Please note that this antibody is reactive to Mouse and derived from the same host, Mouse. Mouse-On-questions.

Clonality

Monoclonal

Host

Mouse

Isotype

IgG1

Theoretical MW

26 kDa.
Disclaimer note: The observed molecular weight of the protein may vary from the listed predicted molecular weight due to post translational modifications, post translation cleavages, relative charges, and other experimental factors.

Description

Novus Biologicals Mouse Bcl-10 Antibody (4F8) - BSA Free (NBP1-51524) is a monoclonal antibody validated for use in IHC, WB, ELISA, Flow and ICC/IF. Anti-Bcl-10 Antibody: Cited in 1 publication. All Novus Biologicals antibodies are covered by our 100% guarantee.

Scientific Data Images for Bcl-10 Antibody (4F8) - BSA Free

Western Blot: Bcl-10 Antibody (4F8)BSA Free [NBP1-51524]

Western Blot: Bcl-10 Antibody (4F8)BSA Free [NBP1-51524]

Western Blot: Bcl-10 Antibody (4F8) [NBP1-51524] - Analysis using BCL10 mouse mAb against NIH/3T3 (1), Hela (2), MCF-7 (3) and Jurkat (4) cell lysate.
Immunocytochemistry/ Immunofluorescence: Bcl-10 Antibody (4F8) - BSA Free [NBP1-51524]

Immunocytochemistry/ Immunofluorescence: Bcl-10 Antibody (4F8) - BSA Free [NBP1-51524]

Immunocytochemistry/Immunofluorescence: Bcl-10 Antibody (4F8) [NBP1-51524] - Confocal immunofluorescence analysis of Hela cells using BCL10 mouse mAb (green). Red: Actin filaments have been labeled with Alexa Fluor-555 phalloidin. Blue: DRAQ5 fluorescent DNA dye.
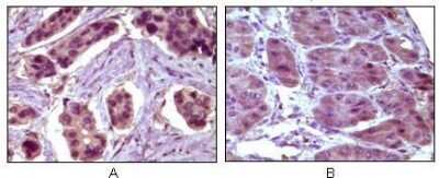
Immunohistochemistry-Paraffin: Bcl-10 Antibody (4F8) - BSA Free [NBP1-51524]

Immunohistochemistry-Paraffin: Bcl-10 Antibody (4F8) - BSA Free [NBP1-51524]

Immunohistochemistry-Paraffin: Bcl-10 Antibody (4F8) [NBP1-51524] - Analysis of human breast carcinoma (A) and liver carcinoma (B), showing cytoplasmic localization using BCL10 mouse mAb with DAB staining.

Applications for Bcl-10 Antibody (4F8) - BSA Free

Application
Recommended Usage

ELISA

1:10000

Flow Cytometry

1:200-1:400

Immunocytochemistry/ Immunofluorescence

1:200-1:1000

Immunohistochemistry

1:10-1:500

Immunohistochemistry-Paraffin

1:200-1:1000

Western Blot

1:500-1:2000
Application Notes
This antibody is Cytof ready.

Formulation, Preparation, and Storage

Purification

Protein G purified

Formulation

PBS

Format

BSA Free

Preservative

0.03% Sodium Azide

Concentration

1 mg/ml

Shipping

The product is shipped with polar packs. Upon receipt, store it immediately at the temperature recommended below.

Stability & Storage

Store at 4C short term. Aliquot and store at -20C long term. Avoid freeze-thaw cycles.

Background: Bcl-10

Bcl-10 is a 31kDa protein containing a caspase recruitment domain (CARD). It plays an important role in apoptosis and activating NF-kappaB. The research suggested that it interacted with other CARD domain containing proteins including CARD9, 10, 11 and 14, which were thought to function as upstream regulators in NF-kappaB signaling. Bcl-10 is found to form a complex with MALT1 which encoded by another gene known to be translocated in MALT lymphoma. MALT1 and Bcl-10 are thought to synergize in the activation of NF-kappaB, and the deregulation of either of them may contribute to the same pathogenetic process that leads to the malignancy.

Long Name

B Cell Lymphoma/Leukemia 10

Alternate Names

Bcl10, c-E10, CARMEN, CIPER, CLAP, mE10

Entrez Gene IDs

8915 (Human)

Gene Symbol

BCL10

UniProt

Additional Bcl-10 Products

Product Documents for Bcl-10 Antibody (4F8) - BSA Free

Certificate of Analysis

To download a Certificate of Analysis, please enter a lot number in the search box below.

Product Specific Notices for Bcl-10 Antibody (4F8) - BSA Free

This product is for research use only and is not approved for use in humans or in clinical diagnosis. Primary Antibodies are guaranteed for 1 year from date of receipt.

Loading...
Loading...
Loading...
Loading...
Loading...