Skip to main content

Bax Antibody (2D2) - Azide and BSA Free

Novus Biologicals, part of Bio-Techne | Catalog # NBP2-33092

Novus Biologicals, part of Bio-Techne
Catalog #
Availability
Size / Price
Qty
Loading...
NBP2-33092

Key Product Details

Species Reactivity

Human, Monkey, Mouse (Negative), Rat (Negative)

Applications

Immunohistochemistry-Paraffin, Western Blot, Flow Cytometry, Immunocytochemistry/ Immunofluorescence

Label

Unconjugated

Antibody Source

Monoclonal Mouse IgG1 kappa Clone # 2D2

Format

Azide and BSA Free

Concentration

1.0 mg/ml

Product Specifications

Immunogen

A synthetic peptide, aa 3-16 (Cys-GSGEQPRGGGPTSS) of human bax protein. (Uniprot: Q07812)

Reactivity Notes

Does not react with Mouse or Rat.

Localization

Cytoplasmic

Specificity

Recognizes a protein of 21kDa, identified as the Bax protein. This monoclonal antibody is highly specific to Bax and shows no cross-reaction with Bcl-2 or Bcl-X protein. Bcl-2 blocks cell death following a variety of stimuli. Bax has extensive amino acid homology with Bcl-2 and it homodimerizes and forms heterodimers with Bcl-2. Overexpression of Bax accelerates apoptotic death induced by cytokine deprivation in an IL-3 dependent cell line, and Bax also counters the death repressor activity of Bcl-2.

Marker

Apoptosis Marker

Clonality

Monoclonal

Host

Mouse

Isotype

IgG1 kappa

Theoretical MW

21 kDa.
Disclaimer note: The observed molecular weight of the protein may vary from the listed predicted molecular weight due to post translational modifications, post translation cleavages, relative charges, and other experimental factors.

Description

1.0 mg/ml of antibody purified from Bioreactor Concentrate by Protein A/G. Prepared in 10mM PBS WITHOUT BSA & azide. Also available at 200 ug/ml WITH BSA & azide (NBP2-29468).

Antibody with azide - store at 2 to 8C. Antibody without azide - store at -20 to -80C.

Scientific Data Images for Bax Antibody (2D2) - Azide and BSA Free

Immunocytochemistry/ Immunofluorescence: Bax Antibody (2D2) - Azide and BSA Free [NBP2-33092]

Immunocytochemistry/ Immunofluorescence: Bax Antibody (2D2) - Azide and BSA Free [NBP2-33092]

Immunocytochemistry/Immunofluorescence: Bax Antibody (2D2) - Azide and BSA Free [NBP2-33092] - Confocal Immunofluorescence of Human Jurkat cells. A. Bax Antibody (2D2) B. Goat anti Mouse CF488. labeled with CF488 (Green); Red Dot is used to label the nuclei.
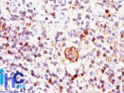
Immunohistochemistry-Paraffin: Bax Antibody (2D2) - Azide and BSA Free [NBP2-33092]

Immunohistochemistry-Paraffin: Bax Antibody (2D2) - Azide and BSA Free [NBP2-33092]

Immunohistochemistry-Paraffin: Bax Antibody (2D2) - Azide and BSA Free [NBP2-33092] - Formalin-fixed, paraffin-embedded Hodgkin's lymphoma stained with Bax 2D2 antibody at 1:200 using peroxidase-conjugate and DAB chromogen. Perform antigen retrieval by boiling tissue sections in 10mM citrate buffer, pH 6.0. Incubate the 2D2 antibody for
Flow Cytometry: Bax Antibody (2D2) - Azide and BSA Free [NBP2-33092]

Flow Cytometry: Bax Antibody (2D2) - Azide and BSA Free [NBP2-33092]

Flow Cytometry: Bax Antibody (2D2) - Azide and BSA Free [NBP2-33092] - Flow Cytometric Analysis of human Jurkat cells using Bax Antibody (2D2) followed by Goat anti-Mouse IgG-CF488 (Orange); cells alone (Blue); Isotype Control (Red).

Applications for Bax Antibody (2D2) - Azide and BSA Free

Application
Recommended Usage

Flow Cytometry

Optimal dilutions of this antibody should be experimentally determined.

Immunocytochemistry/ Immunofluorescence

Optimal dilutions of this antibody should be experimentally determined.

Immunohistochemistry-Paraffin

Optimal dilutions of this antibody should be experimentally determined.

Western Blot

Optimal dilutions of this antibody should be experimentally determined.
Application Notes
Immunohistochemistry (Formalin-fixed): 1-2ug/ml for 30 minutes at RT. Staining of formalin-fixed tissues requires heating tissue sections in 1mM EDTA buffer, pH 7.5-8.5, for 45 min at 95C followed by cooling at RT for 20 minutes.
Optimal dilution for a specific application should be determined.

Formulation, Preparation, and Storage

Purification

Protein A or G purified

Formulation

10 mM PBS

Format

Azide and BSA Free

Preservative

No Preservative

Concentration

1.0 mg/ml

Shipping

The product is shipped with polar packs. Upon receipt, store it immediately at the temperature recommended below.

Stability & Storage

Store at -20 to -80C. Avoid freeze-thaw cycles.

Background: Bax

The Bcl-2 family of apoptosis-related genes plays central roles in regulating apoptotic pathways (reviewed in Thomadaki and Scorilas, 2006). Regulation of cell death through apoptosis is critical for the maintenance of homeostasis, defense against infectious agents, and normal development. Bcl-2 family proteins regulate apoptosis primarily through the regulation of mitochondrial outer membrane permeability. In mammals, the family consists of both prosurvival (antiapoptotic) and proapoptotic (prodeath) members. Cellular homeostasis is thought to be dependent on a balance between the actions of prosurvival and proapoptotic proteins. Bcl-2 family proteins can be divided into 3 main subfamilies on the basis of their function and the content of their Bcl-2 homology (BH) domains, for example: 1) Prosurvival: Bcl-2, Bcl-XL, Bcl-W, A1, and Mcl-1 2) Proapoptotic (multidomain): Bax, Bak, and Bok. 3) BH3-only (proapoptotic): Bad, Bcl-XS, Bid, Bik, Bim, Blk, Bmf, Bnip, Noxa, and Puma. Prosurvival members inhibit cells from undergoing apoptosis, whereas proapoptotic and BH3-only subfamily members promote apoptosis. There are 4 BH domains (1-4) conserved among Bcl-2 family proteins. The BH domains are important for function as well as for heterodimerization between family members. Typical prosurvival family members have all four BH domains (1-4), whereas proapoptotic (multidomain) members have BH1, 2 and 3 domains and BH3-only members have only the BH3 domain. Overall, the relative ratio of prosurvival and proapoptotic proteins determines the suseptibility of a cell to various apoptotic stimuli. Many Bcl-2 family proteins are differentially expressed in various malignancies and some are useful prognostic biomarkers. Prosurvival proteins are often elevated in diverse cancers and have the potential to confer resistance to both endogenous cell death stimuli and cancer treatments. Alterations in the ratio or levels of Bcl-2 family proteins have been also associated with nonmalignant diseases including neurodegenerative diseases, autoimmune diseases, AIDs, Down's syndrome, cardiovascular diseases, diabetes, glomerulonephritis, and muscular dystrophy. IMG-5682 recognizes Bax. It reacts with an epitope (PELALDPVPQDASTKKLSE)which is 100% conserved in human Bax isoforms alpha (192 amino acids), beta (218 amino acids), epsilon (164 amino acids), sigma (179 amino acids), and psi (173 amino acids).

Long Name

Bcl Associated X Protein

Alternate Names

apoptosis regulator BAX, BCL2-associated X protein, Bcl2-L-4, BCL2L4bcl2-L-4, Bcl-2-like protein 4

Gene Symbol

BAX

Additional Bax Products

Product Documents for Bax Antibody (2D2) - Azide and BSA Free

Certificate of Analysis

To download a Certificate of Analysis, please enter a lot number in the search box below.

Product Specific Notices for Bax Antibody (2D2) - Azide and BSA Free

This product is for research use only and is not approved for use in humans or in clinical diagnosis. Primary Antibodies are guaranteed for 1 year from date of receipt.

Loading...
Loading...
Loading...
Loading...
Loading...