Skip to main content

Bax Antibody (2D2)

Novus Biologicals, part of Bio-Techne | Catalog # NBP2-29468

Novus Biologicals, part of Bio-Techne
Catalog #
Availability
Size / Price
Qty
Loading...
NBP2-29468-20ug
NBP2-29468

Key Product Details

Species Reactivity

Human, Monkey, Mouse (Negative), Rat (Negative)

Applications

Immunohistochemistry, Immunohistochemistry-Paraffin, Western Blot, Flow Cytometry, Immunocytochemistry/ Immunofluorescence

Label

Unconjugated

Antibody Source

Monoclonal Mouse IgG1 kappa Clone # 2D2

Concentration

0.2 mg/ml

Product Specifications

Immunogen

A synthetic peptide, aa 3-16 (Cys-GSGEQPRGGGPTSS) of human bax protein. (Uniprot: Q07812)

Reactivity Notes

Does not react with Mouse or Rat.

Localization

Cytoplasmic

Specificity

Recognizes a protein of 21kDa, identified as the Bax protein. This monoclonal antibody is highly specific to Bax and shows no cross-reaction with Bcl-2 or Bcl-X protein. Bcl-2 blocks cell death following a variety of stimuli. Bax has extensive amino acid homology with Bcl-2 and it homodimerizes and forms heterodimers with Bcl-2. Overexpression of Bax accelerates apoptotic death induced by cytokine deprivation in an IL-3 dependent cell line, and Bax also counters the death repressor activity of Bcl-2.

Marker

Apoptosis Marker

Clonality

Monoclonal

Host

Mouse

Isotype

IgG1 kappa

Theoretical MW

21 kDa.
Disclaimer note: The observed molecular weight of the protein may vary from the listed predicted molecular weight due to post translational modifications, post translation cleavages, relative charges, and other experimental factors.

Description

200ug/ml of antibody purified from Bioreactor Concentrate by Protein A or G. Prepared in 10 mM PBS with 0.05% BSA & 0.05% azide. Also available WITHOUT BSA & azide at 1.0 mg/ml. (NBP2-33092)

Antibody with azide - store at 2 to 8C. Antibody without azide - store at -20 to -80C.

Scientific Data Images for Bax Antibody (2D2)

Immunocytochemistry/ Immunofluorescence: Bax Antibody (2D2) [NBP2-29468]

Immunocytochemistry/ Immunofluorescence: Bax Antibody (2D2) [NBP2-29468]

Immunocytochemistry/Immunofluorescence: Bax Antibody (2D2) [NBP2-29468] - Confocal Immunofluorescence of Human Jurkat cells. A. Bax Antibody (2D2) B. Goat anti Mouse CF488. labeled with CF488 (Green); Red Dot is used to label the nuclei.
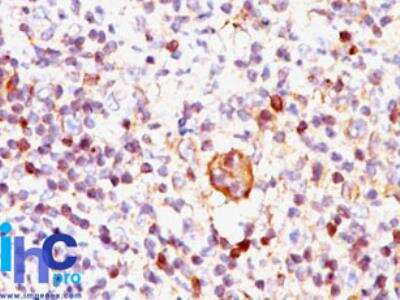
Immunohistochemistry-Paraffin: Bax Antibody (2D2) [NBP2-29468]

Immunohistochemistry-Paraffin: Bax Antibody (2D2) [NBP2-29468]

Immunohistochemistry-Paraffin: Bax Antibody (2D2) [NBP2-29468] - Formalin-fixed, paraffin-embedded Hodgkin's lymphoma stained with Bax 2D2 antibody at 1:200 using peroxidase-conjugate and DAB chromogen. Perform antigen retrieval by boiling tissue sections in 10mM citrate buffer, pH 6.0. Incubate the 2D2 antibody for 30 min at RT.
Flow Cytometry: Bax Antibody (2D2) [NBP2-29468]

Flow Cytometry: Bax Antibody (2D2) [NBP2-29468]

Flow Cytometry: Bax Antibody (2D2) [NBP2-29468] - Flow Cytometric Analysis of human Jurkat cells using Bax Antibody (2D2) followed by Goat anti-Mouse IgG-CF488 (Orange); cells alone (Blue); Isotype Control (Red).

Applications for Bax Antibody (2D2)

Application
Recommended Usage

Flow Cytometry

1-2 ug/million cells

Immunocytochemistry/ Immunofluorescence

1-2 ug/ml

Immunohistochemistry

0.5-1ug/ml

Immunohistochemistry-Paraffin

1-2 ug/ml

Western Blot

1-2 ug/ml
Application Notes
Immunohistochemistry (Formalin-fixed): 1-2ug/ml for 30 minutes at RT. Staining of formalin-fixed tissues requires heating tissue sections in 1mM EDTA buffer, pH 7.5-8.5, for 45 min at 95C followed by cooling at RT for 20 minutes.
Optimal dilution for a specific application should be determined.

Formulation, Preparation, and Storage

Purification

Protein A or G purified

Formulation

10 mM PBS with 0.05% BSA

Preservative

0.05% Sodium Azide

Concentration

0.2 mg/ml

Shipping

The product is shipped with polar packs. Upon receipt, store it immediately at the temperature recommended below.

Stability & Storage

Store at 4C.

Background: Bax

The human protein Bax sits at a critical regulatory junction of apoptosis, or programmed cell death. Activated Bax changes conformation, inserts into the MOM (Mitochondrial Outer Membrane), oligomerizes, and induces MOM permeabilization, causing the release of cytochrome c, which effectively commits the cell to die. (Ma J et al., 2012). Mechanisms of membrane perforation include formation of hetero-oligomeric complexes of Bax with other pro-apoptotic proteins such as Bak, or formation of lipidic pores physically aided by mitochondrial membrane-inserted proteins (Garg P et al., 2012). Connexins play important roles in many physiological and pathological processes. In the context of apoptosis, Cx43 translocated to the mitochondria, where it interacted with Bax to initiate the mitochondrial apoptotic pathway. The 241-382 aa region of Cx43 was required for interaction with Bax. Furthermore, this region was responsible for permeabilizing mitochondrial membrane potential. Recent studies elucidate a novel mechanism of the Cx43-mediated regulation of apoptosis in pancreatic cancer (Sun Y et al., 2012).

Bax acts as a biomarker that exhibited a difference in sub-cellular localization between normal OCSE (Oral Cavity Squamous Epithelium) and OSCC (Oral Cavity Squamous Cell Carcinoma) and was also the only apoptotic protein significantly associated with prognosis. The translocation of Bax from the nucleus to the cytoplasm in OSCC is consistent with increased Bax function at the mitochondria, leading to improved sensitivity to radiotherapy-induced apoptosis in tumours with elevated Bax expression. Bax antibody can be used to study the intracellular redistribution of Bax protein upon induction of apoptosis and its unique subcellular localization. This product can also be used in immunoblot analysis to estimate variations in the expression of specific proteins involved in apoptosis signaling (Bose P et al., 2012). Bcl-2 blocks cell death following a variety of stimuli. Bax has extensive amino acid homology with Bcl-2 and it homodimerizes and forms heterodimers with Bcl-2. Overexpression of Bax accelerates apoptotic death induced by cytokine deprivation in an IL-3 dependent cell line, and Bax also counters the death repressor activity of Bcl-2.

Long Name

Bcl Associated X Protein

Alternate Names

apoptosis regulator BAX, BCL2-associated X protein, Bcl2-L-4, BCL2L4bcl2-L-4, Bcl-2-like protein 4

Gene Symbol

BAX

UniProt

Additional Bax Products

Product Documents for Bax Antibody (2D2)

Certificate of Analysis

To download a Certificate of Analysis, please enter a lot number in the search box below.

Product Specific Notices for Bax Antibody (2D2)

This product is for research use only and is not approved for use in humans or in clinical diagnosis. Primary Antibodies are guaranteed for 1 year from date of receipt.

Loading...
Loading...
Loading...
Loading...
Loading...