Skip to main content

BAIAP2 Antibody (OTI 1D9) - Azide and BSA Free

Novus Biologicals, part of Bio-Techne | Catalog # NBP2-71603

Novus Biologicals, part of Bio-Techne
Catalog #
Availability
Size / Price
Qty
Loading...
NBP2-71603

Key Product Details

Species Reactivity

Human, Mouse, Rat

Applications

Immunohistochemistry, Immunohistochemistry-Paraffin, Western Blot, Flow Cytometry, Immunocytochemistry/ Immunofluorescence, CyTOF-ready

Label

Unconjugated

Antibody Source

Monoclonal Mouse IgG1 Clone # OTI 1D9

Format

Azide and BSA Free

Concentration

LYOPH mg/ml

Product Specifications

Immunogen

Full length human recombinant protein of human BAIAP2 (NP_006331) produced in HEK293T cell.

Reactivity Notes

Please note that this antibody is reactive to Mouse and derived from the same host, Mouse. Mouse-On-Mouse blocking reagent may be needed for IHC and ICC experiments to reduce high background signal. You can find these reagents under catalog numbers PK-2200-NB and MP-2400-NB. Please contact Technical Support if you have any questions.

Clonality

Monoclonal

Host

Mouse

Isotype

IgG1

Theoretical MW

57.3 kDa.
Disclaimer note: The observed molecular weight of the protein may vary from the listed predicted molecular weight due to post translational modifications, post translation cleavages, relative charges, and other experimental factors.

Description

Novus Biologicals Mouse BAIAP2 Antibody (OTI 1D9) - Azide and BSA Free (NBP2-00810) is a monoclonal antibody validated for use in IHC, WB, Flow and ICC/IF. All Novus Biologicals antibodies are covered by our 100% guarantee.

Scientific Data Images for BAIAP2 Antibody (OTI 1D9) - Azide and BSA Free

Western Blot: BAIAP2 Antibody (OTI 1D9)Azide and BSA Free [NBP2-71603]

Western Blot: BAIAP2 Antibody (OTI 1D9)Azide and BSA Free [NBP2-71603]

Western Blot: BAIAP2 Antibody (OTI 1D9) - Azide and BSA Free [NBP2-71603] - HEK293T cells were transfected with the pCMV6-ENTRY control (Left lane) or pCMV6-ENTRY BAIAP2 (Right lane) cDNA for 48 hrs and lysed. Equivalent amounts of cell lysates (5 ug per lane) were separated by SDS-PAGE and immunoblotted with anti-BAIAP2.
Immunocytochemistry/ Immunofluorescence: BAIAP2 Antibody (OTI 1D9) - Azide and BSA Free [NBP2-71603]

Immunocytochemistry/ Immunofluorescence: BAIAP2 Antibody (OTI 1D9) - Azide and BSA Free [NBP2-71603]

Immunocytochemistry/Immunofluorescence: BAIAP2 Antibody (OTI 1D9) - Azide and BSA Free [NBP2-71603] - Staining of COS7 cells transiently transfected by pCMV6-ENTRY BAIAP2.
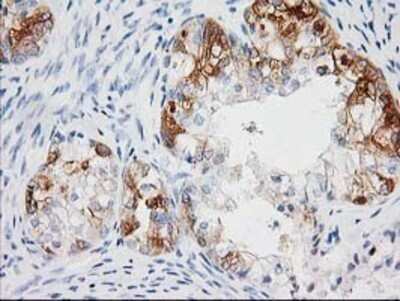
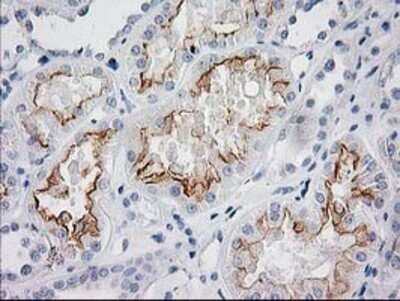
Immunohistochemistry: BAIAP2 Antibody (OTI 1D9) - Azide and BSA Free [NBP2-71603]

Immunohistochemistry: BAIAP2 Antibody (OTI 1D9) - Azide and BSA Free [NBP2-71603]

Immunohistochemistry: BAIAP2 Antibody (OTI 1D9) - Azide and BSA Free [NBP2-71603] - Staining of paraffin-embedded Human Kidney tissue using anti-BAIAP2 mouse monoclonal antibody.

Applications for BAIAP2 Antibody (OTI 1D9) - Azide and BSA Free

Application
Recommended Usage

Flow Cytometry

1:100

Immunocytochemistry/ Immunofluorescence

1:100

Immunohistochemistry

1:150

Immunohistochemistry-Paraffin

1:150

Western Blot

1:2000

Formulation, Preparation, and Storage

Purification

Immunogen affinity purified

Reconstitution

we recommend adding 100uL distilled water to a final antibody concentration of about 1 mg/mL. To use this carrier-free antibody for conjugation experiment, we strongly recommend performing another round of desalting process.

Formulation

Lyophilized from PBS (pH 7.3) with 8% Trehalose

Format

Azide and BSA Free

Preservative

No Preservative

Concentration

LYOPH mg/ml

Shipping

The product is shipped with polar packs. Upon receipt, store it immediately at the temperature recommended below.

Stability & Storage

Store at -20C. Avoid freeze-thaw cycles.

Background: BAIAP2

BAIAP2 is encoded by this gene has been identified as a brain-specific angiogenesis inhibitor (BAI1)-binding protein. This interaction at the cytoplasmic membrane is crucial to the function of this protein, which may be involved in neuronal growth-cone guidance. This protein functions as an insulin receptor tyrosine kinase substrate and suggests a role for insulin in the central nervous system. This protein has also been identified as interacting with the dentatorubral-pallidoluysian atrophy gene, which is associated with an autosomal dominant neurodegenerative disease. It also associates with a downstream effector of Rho small G proteins, which is associated with the formation of stress fibers and cytokinesis. Alternative splicing of the 3'-end of this gene results in three products of undetermined function.

Alternate Names

BAI1-associated protein 2IRS-58, BAI-associated protein 2, BAP2, brain-specific angiogenesis inhibitor 1-associated protein 2, Fas ligand-associated factor 3, FLAF3, Insulin receptor substrate p53, Insulin receptor substrate p53/p58, Insulin receptor substrate protein of 53 kDa, IRSP53, IRSp53/58, Protein BAP2

Gene Symbol

BAIAP2

Additional BAIAP2 Products

Product Documents for BAIAP2 Antibody (OTI 1D9) - Azide and BSA Free

Certificate of Analysis

To download a Certificate of Analysis, please enter a lot number in the search box below.

Product Specific Notices for BAIAP2 Antibody (OTI 1D9) - Azide and BSA Free

This product is for research use only and is not approved for use in humans or in clinical diagnosis. Primary Antibodies are guaranteed for 1 year from date of receipt.

Loading...
Loading...
Loading...
Loading...
Loading...
Loading...