AUF1 Antibody - BSA Free
Novus Biologicals, part of Bio-Techne | Catalog # NBP3-35815
Key Product Details
Species Reactivity
Human, Mouse, Rat
Applications
Immunohistochemistry, Immunohistochemistry-Paraffin, Western Blot, ELISA, Immunocytochemistry/ Immunofluorescence
Label
Unconjugated
Antibody Source
Polyclonal Rabbit IgG
Format
BSA Free
Concentration
Please see the vial label for concentration. If unlisted please contact technical services.
Product Specifications
Immunogen
Recombinant fusion protein containing a sequence corresponding to amino acids 1-306 of human AUF1 (NP_002129.2).
Sequence:
MSEEQFGGDGAAAAATAAVGGSAGEQEGAMVAATQGAAAAAGSGAGTGGGTASGGTEGGSAESEGAKIDASKNEEDEGHSNSSPRHSEAATAQREEWKMFIGGLSWDTTKKDLKDYFSKFGEVVDCTLKLDPITGRSRGFGFVLFKESESVDKVMDQKEHKLNGKVIDPKRAKAMKTKEPVKKIFVGGLSPDTPEEKIREYFGGFGEVESIELPMDNKTNKRRGFCFITFKEEEPVKKIMEKKYHNVGLSKCEIKVAMSKEQYQQQQQWGSRGGFAGRARGRGGDQQSGYGKVSRRGGHQNSYKPY
Sequence:
MSEEQFGGDGAAAAATAAVGGSAGEQEGAMVAATQGAAAAAGSGAGTGGGTASGGTEGGSAESEGAKIDASKNEEDEGHSNSSPRHSEAATAQREEWKMFIGGLSWDTTKKDLKDYFSKFGEVVDCTLKLDPITGRSRGFGFVLFKESESVDKVMDQKEHKLNGKVIDPKRAKAMKTKEPVKKIFVGGLSPDTPEEKIREYFGGFGEVESIELPMDNKTNKRRGFCFITFKEEEPVKKIMEKKYHNVGLSKCEIKVAMSKEQYQQQQQWGSRGGFAGRARGRGGDQQSGYGKVSRRGGHQNSYKPY
Clonality
Polyclonal
Host
Rabbit
Isotype
IgG
Theoretical MW
38 kDa.
Disclaimer note: The observed molecular weight of the protein may vary from the listed predicted molecular weight due to post translational modifications, post translation cleavages, relative charges, and other experimental factors.
Disclaimer note: The observed molecular weight of the protein may vary from the listed predicted molecular weight due to post translational modifications, post translation cleavages, relative charges, and other experimental factors.
Description
Novus Biologicals Rabbit AUF1 Antibody - BSA Free (NBP3-35815) is a polyclonal antibody validated for use in IHC, WB, ELISA and ICC/IF. All Novus Biologicals antibodies are covered by our 100% guarantee.
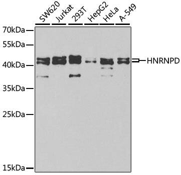
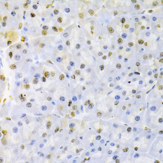
Scientific Data Images for AUF1 Antibody - BSA Free
Immunohistochemistry: AUF1 Antibody [NBP3-35815] -
Immunohistochemistry: AUF1 Antibody [NBP3-35815] - Immunohistochemistry analysis of paraffin-embedded Human stomach using AUF1 Rabbit pAb at dilution of 1:100 (40x lens). Microwave antigen retrieval performed with 0.01M PBS Buffer (pH 7.2) prior to IHC staining.Immunohistochemistry: AUF1 Antibody [NBP3-35815] -
Immunohistochemistry: AUF1 Antibody [NBP3-35815] - Immunohistochemistry analysis of paraffin-embedded Rat lung using AUF1 Rabbit pAb at dilution of 1:100 (40x lens). Microwave antigen retrieval performed with 0.01M PBS Buffer (pH 7.2) prior to IHC staining.Immunocytochemistry/ Immunofluorescence: AUF1 Antibody [NBP3-35815] -
Immunocytochemistry/ Immunofluorescence: AUF1 Antibody [NBP3-35815] - Immunofluorescence analysis of U2OS cells using AUF1 Rabbit pAb.Secondary antibody: Cy3-conjugated Goat anti-Rabbit IgG (H+L) at 1:500 dilution.Applications for AUF1 Antibody - BSA Free
Application
Recommended Usage
Immunocytochemistry/ Immunofluorescence
1:50 - 1:100
Immunohistochemistry-Paraffin
1:50 - 1:200
Western Blot
1:500 - 1:2000
Formulation, Preparation, and Storage
Purification
Affinity purified
Formulation
PBS (pH 7.3), 50% glycerol
Format
BSA Free
Preservative
0.02% Sodium Azide
Concentration
Please see the vial label for concentration. If unlisted please contact technical services.
Shipping
The product is shipped with polar packs. Upon receipt, store it immediately at the temperature recommended below.
Stability & Storage
Store at -20C. Avoid freeze-thaw cycles.
Background: AUF1
Alternate Names
AUF1A, heterogeneous nuclear ribonucleoprotein D (AU-rich element RNA binding protein1, 37kDa), heterogeneous nuclear ribonucleoprotein D (AU-rich element RNA-binding protein1, 37kD), heterogeneous nuclear ribonucleoprotein D0, hnRNPD0, type A
Gene Symbol
HNRNPD
Additional AUF1 Products
Product Documents for AUF1 Antibody - BSA Free
Product Specific Notices for AUF1 Antibody - BSA Free
This product is for research use only and is not approved for use in humans or in clinical diagnosis. Primary Antibodies are guaranteed for 1 year from date of receipt.
Loading...
Loading...
Loading...
Loading...