Skip to main content

ATPB Antibody (5F10) - BSA Free

Novus Biologicals, part of Bio-Techne | Catalog # NBP3-26490

Recombinant monoclonal antibody expressed in HEK293F cells
Novus Biologicals, part of Bio-Techne
Catalog #
Availability
Size / Price
Qty
Loading...
NBP3-26490-100ul
NBP3-26490-50ul

Key Product Details

Species Reactivity

Human, Mouse, Rat

Applications

ELISA, Immunohistochemistry, Western Blot

Label

Unconjugated

Antibody Source

Recombinant Monoclonal Rabbit IgG Clone # 5F10 expressed in HEK293

Format

BSA Free

Concentration

Please see the vial label for concentration. If unlisted please contact technical services.

Product Specifications

Immunogen

A synthesized peptide derived from Human ATPB [UniProt P06576]

Clonality

Monoclonal

Host

Rabbit

Isotype

IgG

Description

Novus Biologicals Rabbit ATPB Antibody (5F10) - BSA Free (NBP3-26490) is a recombinant monoclonal antibody validated for use in IHC, WB and ELISA. All Novus Biologicals antibodies are covered by our 100% guarantee.

Scientific Data Images for ATPB Antibody (5F10) - BSA Free

ATPB Antibody (5F10)

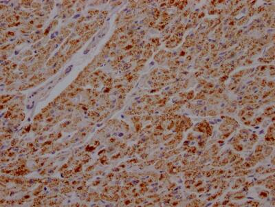
Immunohistochemistry: ATPB Antibody (5F10) [NBP3-26490] -

Immunohistochemistry: ATPB Antibody (5F10) [NBP3-26490] - Image of ATPB Antibody (5F10) diluted at 1:100 and staining in paraffin-embedded human heart tissue performed. After dewaxing and hydration, antigen retrieval was mediated by high pressure in a citrate buffer (pH 6.0). Section was blocked with 10% normal goat serum 30min at RT. Then primary antibody (1% BSA) was incubated at 4C overnight. The primary is detected by a Goat anti-rabbit IgG polymer labeled by HRP and visualized using 0.05% DAB.
ATPB Antibody (5F10)

Immunohistochemistry: ATPB Antibody (5F10) [NBP3-26490] -

Immunohistochemistry: ATPB Antibody (5F10) [NBP3-26490] - Image of ATPB Antibody (5F10) diluted at 1:100 and staining in paraffin-embedded human heart tissue performed. After dewaxing and hydration, antigen retrieval was mediated by high pressure in a citrate buffer (pH 6.0). Section was blocked with 10% normal goat serum 30min at RT. Then primary antibody (1% BSA) was incubated at 4C overnight. The primary is detected by a Goat anti-rabbit IgG polymer labeled by HRP and visualized using 0.05% DAB.
ATPB Antibody (5F10)

Western Blot: ATPB Antibody (5F10) [NBP3-26490] -

Western Blot: ATPB Antibody (5F10) [NBP3-26490] - Positive Western Blot detected in: 293T whole cell lysate, HT29 whole cell lysate, HepG2 whole cell lysate, Jurkat whole cell lysate, 293 whole cell lysate, Rat Heart tissue, Mouse Heart tissue.
All lanes: ATPB Antibody at 1: 2000
Secondary: Goat polyclonal to rabbit IgG at 1/50000 dilution.
Predicted band size: 57 kDa
Observed band size: 57 kDa

Applications for ATPB Antibody (5F10) - BSA Free

Application
Recommended Usage

Immunohistochemistry

1:50-1:200

Western Blot

1:500-1:5000

Formulation, Preparation, and Storage

Purification

Affinity purified

Formulation

PBS, pH 7.4, 150mM NaCl, and 50% glycerol

Format

BSA Free

Preservative

0.02% Sodium Azide

Concentration

Please see the vial label for concentration. If unlisted please contact technical services.

Shipping

The product is shipped with polar packs. Upon receipt, store it immediately at the temperature recommended below.

Stability & Storage

Store at -20 to -70C. Avoid freeze-thaw cycles.

Background: ATPB

ATP synthase is extremely conserved through evolution and can be found in plants, fungi, bacteria, and animals. The ATP synthase enzyme is a transmembrane protein responsible for driving the reversible reaction from ADP+ phosphate to ATP. This reaction is accomplished by a flux of protons across the membrane as a result of electron transfer. The ATP synthase protein has two main sections; the F1 ATP-ase (soluble) and the F0 ATP-ase (membrane embedded). The F1 section consists of the alpha, beta, gamma, delta, and epsilon subunits. While the F0 consists of a, b, and c subunits.

Alternate Names

ATP synthase subunit beta, mitochondrial, ATP synthase, H+ transporting, mitochondrial F1 complex, beta polypeptide, ATPMB, ATPSBmitochondrial ATP synthase beta subunit, EC 3.6.3, EC 3.6.3.14, MGC5231, mitochondrial ATP synthetase, beta subunit

Gene Symbol

ATP5F1B

Additional ATPB Products

Product Documents for ATPB Antibody (5F10) - BSA Free

Certificate of Analysis

To download a Certificate of Analysis, please enter a lot number in the search box below.

Product Specific Notices for ATPB Antibody (5F10) - BSA Free

This product is for research use only and is not approved for use in humans or in clinical diagnosis. Primary Antibodies are guaranteed for 1 year from date of receipt.

Loading...
Loading...
Loading...
Loading...