ATPB Antibody (1H2W2)
Novus Biologicals, part of Bio-Techne | Catalog # NBP3-15354
Recombinant Monoclonal Antibody
Key Product Details
Species Reactivity
Human, Mouse, Rat
Applications
Immunohistochemistry, Immunohistochemistry-Paraffin, Western Blot, Immunocytochemistry/ Immunofluorescence
Label
Unconjugated
Antibody Source
Recombinant Monoclonal Rabbit IgG Clone # 1H2W2 expressed in HEK293
Concentration
Please see the vial label for concentration. If unlisted please contact technical services.
Product Specifications
Immunogen
Recombinant fusion protein containing a sequence corresponding to amino acids 230-529 of human ATPB (NP_001677.2). YSVFAGVGERTREGNDLYHEMIESGVINLKDATSKVALVYGQMNEPPGARARVALTGLTVAEYFRDQEGQDVLLFIDNIFRFTQAGSEVSALLGRIPSAVGYQPTLATDMGTMQERITTTKKGSITSVQAIYVPADDLTDPAPATTFAHLDATTVLSRAIAELGIYPAVDPLDSTSRIMDPNIVGSEHYDVARGVQKILQDYKSLQDIIAILGMDELSEEDKLTVSRARKIQRFLSQPFQVAEVFTGHMGKLVPLKETIKGFQQILAGEYDHLPEQAFYMVGPIEEAVAKADKLAEEHSS
Clonality
Monoclonal
Host
Rabbit
Isotype
IgG
Description
Novus Biologicals Rabbit ATPB Antibody (1H2W2) (NBP3-15354) is a recombinant monoclonal antibody validated for use in IHC, WB and ICC/IF. All Novus Biologicals antibodies are covered by our 100% guarantee.
Scientific Data Images for ATPB Antibody (1H2W2)
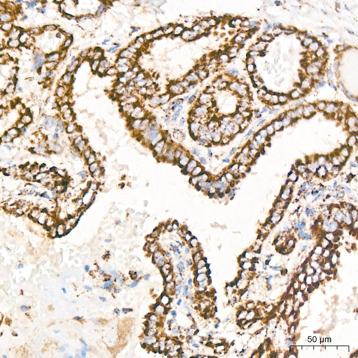
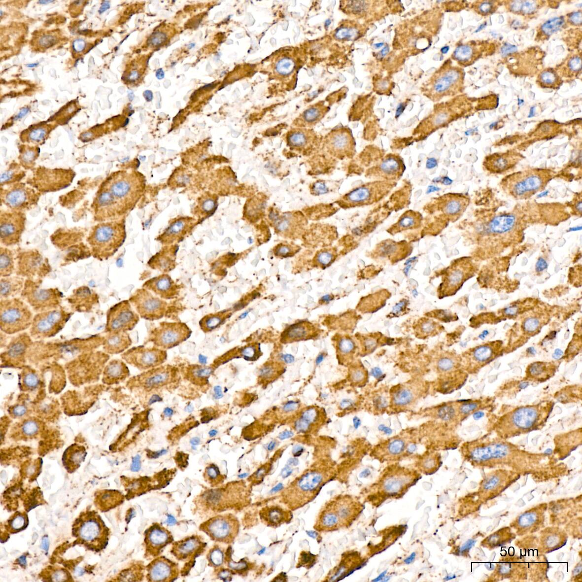
Immunohistochemistry-Paraffin: ATPB Antibody (1H2W2) [NBP3-15354]
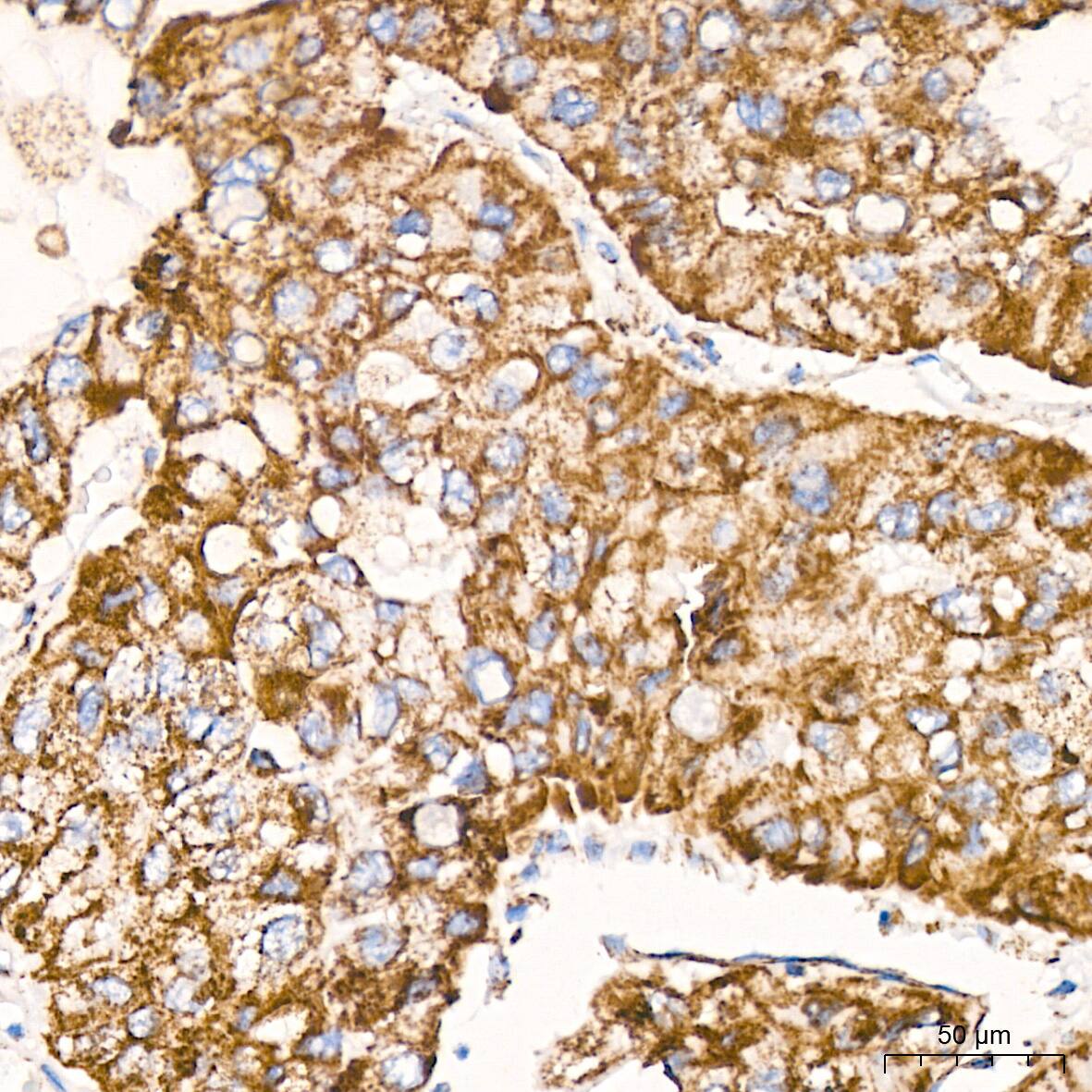
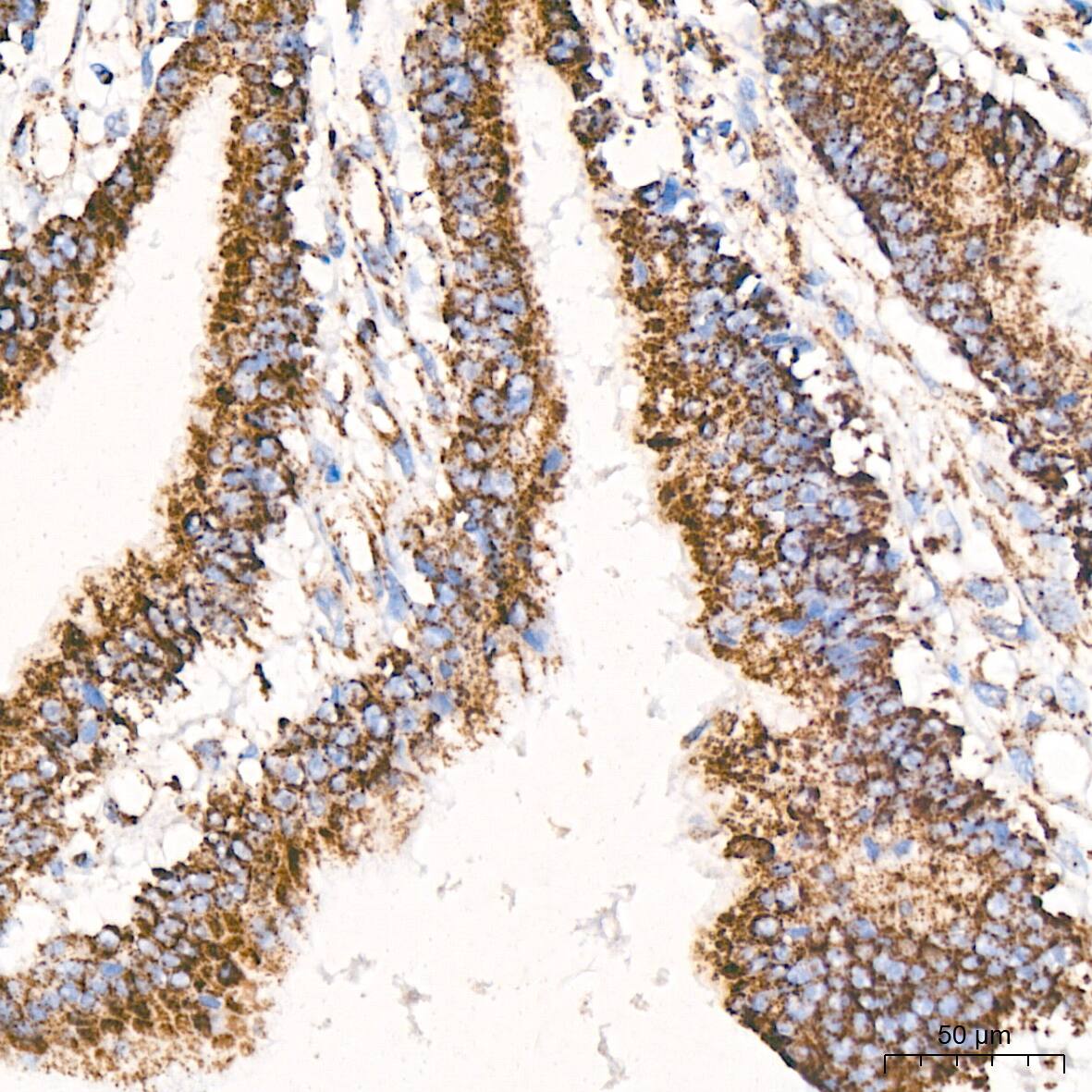
Immunohistochemistry-Paraffin: ATPB Antibody (9A1O2) [NBP3-15354] - Immunohistochemistry of paraffin-embedded human esophageal cancer using ATPB Rabbit mAb (NBP3-15354) at dilution of 1:100 (40x lens).Perform microwave antigen retrieval with 10 mM PBS buffer pH 7.2 before commencing with IHC staining protocol.Immunohistochemistry-Paraffin: ATPB Antibody (1H2W2) [NBP3-15354]
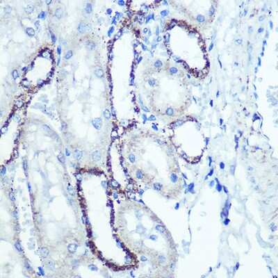
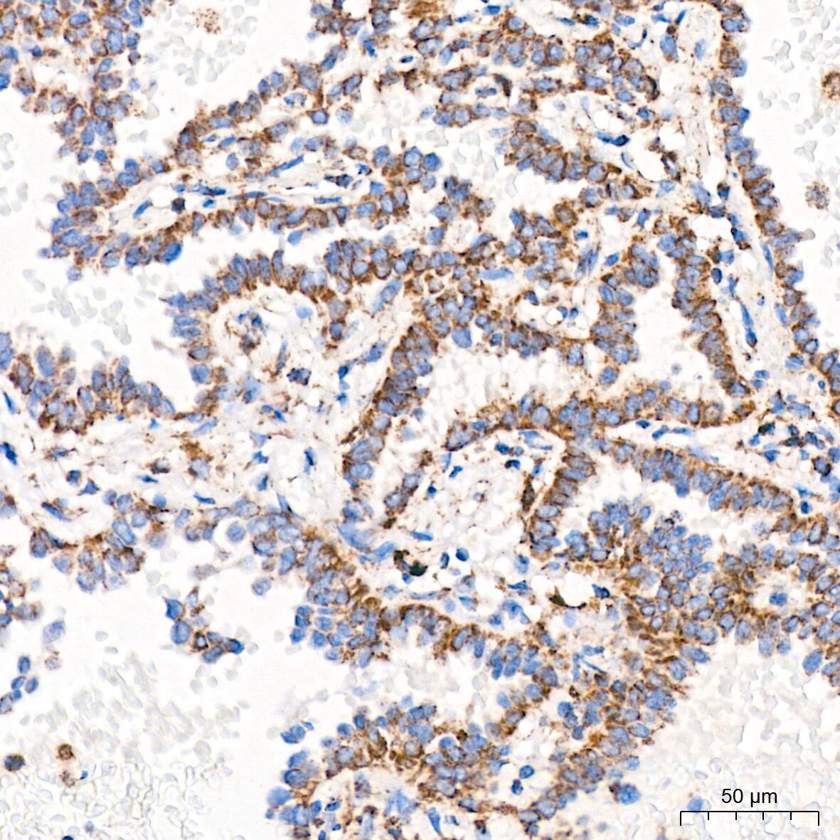
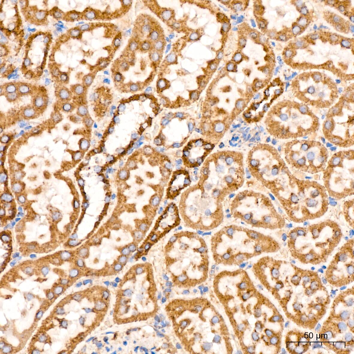
Immunohistochemistry-Paraffin: ATPB Antibody (9A1O2) [NBP3-15354] - Immunohistochemistry of paraffin-embedded rat kidney using ATPB Rabbit mAb (NBP3-15354) at dilution of 1:100 (40x lens).Perform microwave antigen retrieval with 10 mM PBS buffer pH 7.2 before commencing with IHC staining protocol.Western Blot: ATPB Antibody (9A1O2) [NBP3-15354] -
Western Blot: ATPB Antibody (9A1O2) [NBP3-15354] - analysis of extracts of various cell lines, using ATPB antibody at 1:20000 dilution.Secondary antibody: HRP Goat Anti-Rabbit IgG (H+L) at 1:10000 dilution.Lysates/proteins: 25ug per lane.Blocking buffer: 3% nonfat dry milk in TBST.Detection: ECL Basic Kit. Exposure time: 10s.Applications for ATPB Antibody (1H2W2)
Application
Recommended Usage
Immunocytochemistry/ Immunofluorescence
1:50 - 1:200
Immunohistochemistry
1:50 - 1:200
Western Blot
1:3000 - 1:20000
Formulation, Preparation, and Storage
Purification
Affinity purified
Formulation
PBS (pH 7.3), 50% glycerol, 0.05% BSA
Preservative
0.02% Sodium Azide
Concentration
Please see the vial label for concentration. If unlisted please contact technical services.
Shipping
The product is shipped with polar packs. Upon receipt, store it immediately at the temperature recommended below.
Stability & Storage
Store at -20C. Avoid freeze-thaw cycles.
Background: ATPB
Alternate Names
ATP synthase subunit beta, mitochondrial, ATP synthase, H+ transporting, mitochondrial F1 complex, beta polypeptide, ATPMB, ATPSBmitochondrial ATP synthase beta subunit, EC 3.6.3, EC 3.6.3.14, MGC5231, mitochondrial ATP synthetase, beta subunit
Gene Symbol
ATP5F1B
Additional ATPB Products
Product Documents for ATPB Antibody (1H2W2)
Product Specific Notices for ATPB Antibody (1H2W2)
This product is for research use only and is not approved for use in humans or in clinical diagnosis. Primary Antibodies are guaranteed for 1 year from date of receipt.
Loading...
Loading...
Loading...
Loading...