Skip to main content

ATP6V0A2 Antibody - BSA Free

Novus Biologicals, part of Bio-Techne | Catalog # NBP1-91690

Novus Biologicals, part of Bio-Techne
Catalog #
Availability
Size / Price
Qty
Loading...
NBP1-91690
NBP1-91690-25ul

Key Product Details

Species Reactivity

Validated:

Human

Predicted:

Mouse (94%), Rat (95%). Backed by our 100% Guarantee.

Applications

Immunohistochemistry, Immunohistochemistry-Paraffin, Simple Western

Label

Unconjugated

Antibody Source

Polyclonal Rabbit IgG

Format

BSA Free

Concentration

Concentrations vary lot to lot. See vial label for concentration. If unlisted please contact technical services.

Product Specifications

Immunogen

This antibody was developed against Recombinant Protein corresponding to amino acids: EVKRCEELERILVYLVQEINRADIPLPEGEASPPAPPLKQVLEMQEQLQKLEVELREVTKNKEKLRKNLLELIEYTHMLRVTKTFVKRNVEFEPTYEEFPSLESDSLLDYSCMQRLGAKLGFVSGLINQGKVEAFE

Clonality

Polyclonal

Host

Rabbit

Isotype

IgG

Description

Novus Biologicals Rabbit ATP6V0A2 Antibody - BSA Free (NBP1-91690) is a polyclonal antibody validated for use in IHC and Simple Western. All Novus Biologicals antibodies are covered by our 100% guarantee.

Scientific Data Images for ATP6V0A2 Antibody - BSA Free

Immunohistochemistry-Paraffin: ATP6V0A2 Antibody [NBP1-91690]

Immunohistochemistry-Paraffin: ATP6V0A2 Antibody [NBP1-91690]

Immunohistochemistry-Paraffin: ATP6V0A2 Antibody [NBP1-91690] - Staining of human placenta shows strong cytoplasmic positivity in decidua cells.
ATP6V0A2 Antibody - BSA Free Immunohistochemistry: ATP6V0A2 Antibody - BSA Free [NBP1-91690]

Immunohistochemistry: ATP6V0A2 Antibody - BSA Free [NBP1-91690]

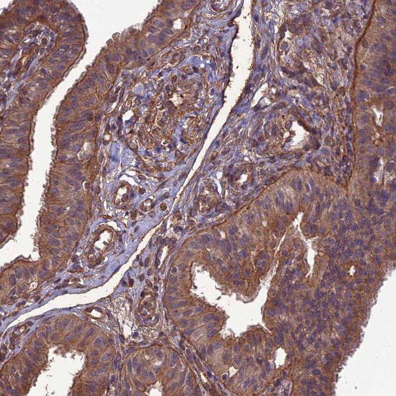
Staining of human small intestine shows strong cytoplasmic positivity in glandular cells.
ATP6V0A2 Antibody - BSA Free Immunohistochemistry: ATP6V0A2 Antibody - BSA Free [NBP1-91690]

Immunohistochemistry: ATP6V0A2 Antibody - BSA Free [NBP1-91690]

Staining of human testis shows strong cytoplasmic positivity in cells in seminiferous ducts and leydig cells.

Applications for ATP6V0A2 Antibody - BSA Free

Application
Recommended Usage

Immunohistochemistry

1:20 - 1:50

Immunohistochemistry-Paraffin

1:20 - 1:50
Application Notes
For IHC-Paraffin, HIER pH 6 retrieval is recommended. Immunocytochemistry/Immunofluorescence Fixation Permeabilization: Use PFA/Triton X-100.

Formulation, Preparation, and Storage

Purification

Affinity purified

Formulation

PBS (pH 7.2) and 40% Glycerol

Format

BSA Free

Preservative

0.02% Sodium Azide

Concentration

Concentrations vary lot to lot. See vial label for concentration. If unlisted please contact technical services.

Shipping

The product is shipped with polar packs. Upon receipt, store it immediately at the temperature recommended below.

Stability & Storage

Store at 4C short term. Aliquot and store at -20C long term. Avoid freeze-thaw cycles.

Background: ATP6V0A2

The multisubunit vacuolar-type proton pump (H(+)-ATPase or V-ATPase) is essential for acidification of diverse cellular components, including endosomes, lysosomes, clathrin-coated vesicles, secretory vesicles, and chromaffin granules, and it is found at high density in the plasma membrane of certain specialized cells. H(+)-ATPases are comprised of a peripheral V(1) domain and an integral membrane V(0) domain; ATP6V0A2 is a component of the V(0) domain (Smith et al., 2003 [PubMed 14580332]).[supplied by OMIM]

Alternate Names

a2, ARCL, ATP6a2, ATP6N1D, ATP6V0, ATPase, H+ transporting, lysosomal V0 subunit a isoform 2, ATPase, H+ transporting, lysosomal V0 subunit a2, infantile malignant osteopetrosis, J6B7, Lysosomal H(+)-transporting ATPase V0 subunit a2, regeneration and tolerance factor, RTF, STV1, TJ6A2V-ATPase, TJ6M, TJ6S, vacuolar proton translocating ATPase 116 kDa subunit a, Vacuolar proton translocating ATPase 116 kDa subunit a isoform 2, v-ATPase 116 kDa, V-ATPase 116 kDa isoform a2, VPH1, v-type proton ATPase 116 kDa subunit a, V-type proton ATPase 116 kDa subunit a isoform 2, WSS

Gene Symbol

ATP6V0A2

Additional ATP6V0A2 Products

Product Documents for ATP6V0A2 Antibody - BSA Free

Certificate of Analysis

To download a Certificate of Analysis, please enter a lot number in the search box below.

Product Specific Notices for ATP6V0A2 Antibody - BSA Free

This product is for research use only and is not approved for use in humans or in clinical diagnosis. Primary Antibodies are guaranteed for 1 year from date of receipt.

Loading...
Loading...
Loading...
Loading...