Skip to main content

ASC/TMS1 Antibody

Novus Biologicals, part of Bio-Techne | Catalog # NB100-870

Novus Biologicals, part of Bio-Techne
Catalog #
Availability
Size / Price
Qty
Loading...
NB100-870

Key Product Details

Species Reactivity

Human

Applications

Immunohistochemistry, Immunohistochemistry-Paraffin, Western Blot, Peptide ELISA

Label

Unconjugated

Antibody Source

Polyclonal Goat IgG

Concentration

0.5 mg/ml

Product Specifications

Immunogen

This ASC/TMS1 Antibody was developed against a peptide with sequence C-RESQSYLVEDLERS, from the C Terminus of the protein sequence according to NP_037390.2; NP_660183.1.

Epitope

C-RESQSYLVEDLERS

Localization

Cell Membrane. Upstream of caspase activation, a redistribution from the cytoplasm to the aggregates occurs. These appeared as hollow, perinuclear spherical, ball-like structures.

Specificity

This ASC/TMS1 Antibody is expected to recognize both reported isoforms (NP_037390.2 and NP_660183.1).

Clonality

Polyclonal

Host

Goat

Isotype

IgG

Description

Novus Biologicals Goat ASC/TMS1 Antibody (NB100-870) is a polyclonal antibody validated for use in IHC, WB and ELISA. Anti-ASC/TMS1 Antibody: Cited in 1 publication. All Novus Biologicals antibodies are covered by our 100% guarantee.

Scientific Data Images for ASC/TMS1 Antibody

Western Blot: ASC/TMS1 Antibody [NB100-870]

Western Blot: ASC/TMS1 Antibody [NB100-870]

Western Blot: ASC/TMS1 Antibody [NB100-870] - Staining of HeLa lysate (35 ug protein in RIPA buffer). Antibody at 0.2 ug/mL. Detected by chemiluminescence.
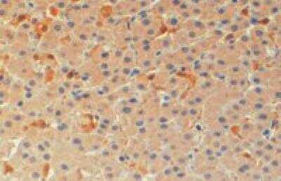
Immunohistochemistry-Paraffin: ASC/TMS1 Antibody [NB100-870]

Immunohistochemistry-Paraffin: ASC/TMS1 Antibody [NB100-870]

Immunohistochemistry-Paraffin: ASC/TMS1 Antibody [NB100-870] - Staining of paraffin embedded Human Liver. Antibody at 4 ug/mL. Steamed antigen retrieval with citrate buffer pH 6, HRP-staining.

Applications for ASC/TMS1 Antibody

Application
Recommended Usage

Immunohistochemistry

4 - 6 ug/mL

Immunohistochemistry-Paraffin

4 - 6 ug/mL

Peptide ELISA

Detection limit 1:16000

Western Blot

0.2 - 0.6 ug/mL

Formulation, Preparation, and Storage

Purification

Immunogen affinity purified

Formulation

Tris saline (20 mM Tris pH 7.3, 150 mM NaCl), 0.5% BSA

Preservative

0.02% Sodium Azide

Concentration

0.5 mg/ml

Shipping

The product is shipped with polar packs. Upon receipt, store it immediately at the temperature recommended below.

Stability & Storage

Store at -20C. Avoid freeze-thaw cycles.

Background: ASC

ASC (apoptosis-associated speck-like protein containing a CARD), also known as TMS1 (target of methylation-induced silencing), was first identified in 1999 as a protein that forms aggregates, or specks, during retinoic acid-induced apoptosis in a human leukemia cell line (1). Furthermore, it was discovered to have a role as a tumor suppressor as methylation silences ASC/TMS1 expression in many tumors (2-5). ASC/TMS1 is synthesized as a 195-amino acid (aa) protein with a theoretical weight of 22 kDa. Structurally the protein contains a N-terminal PYD (pyrin domain) and C-terminal CARD (caspase-recruitment domain) (1-4). Historically, CARD and PYD-containing proteins are known to have crucial functions in regulating apoptosis and immune response pathways (2-5). Furthermore, mutations in many CARD and PYD-containing proteins have been linked to various cancers and inflammatory diseases (2-5). Given its immune response role, it is not surprising that ASC/TMS1 is typically highly expressed in immune cells, specifically in neutrophils and cells of the macrophage/monocyte lineage (5). Additionally, it is expressed in many normal epithelial cell types (4,5).

In regard to immune and inflammatory response, ASC/TMS1 is involved in inflammasome function (3-4). The inflammasome is a multiprotein complex that responds to cellular stress or pathogens and activates inflammatory responses. Specifically, ASC/TMS1 helps assemble the NLRP3 inflammasome complex which then activates caspase-1, followed by stimulation of proinflammatory cytokines including IL-1b and IL-18 (3-4). In terms of the role in regulating apoptosis, multiple studies have revealed that the ASC/TMS1 gene is hypermethylated in many cancers including breast, lung, glioblastomas, and melanomas (2-5). The increased methylation results in decreased gene expression, or silencing, allowing those cancer cells to escape apoptosis (2-5).

References

1. Masumoto, J., Taniguchi, S., Ayukawa, K., Sarvotham, H., Kishino, T., Niikawa, N., Hidaka, E., Katsuyama, T., Higuchi, T., & Sagara, J. (1999). ASC, a novel 22-kDa protein, aggregates during apoptosis of human promyelocytic leukemia HL-60 cells. The Journal of biological chemistry, 274(48), 33835-33838. https://doi.org/10.1074/jbc.274.48.33835

2. McConnell, B. B., & Vertino, P. M. (2004). TMS1/ASC: the cancer connection. Apoptosis: an international journal on programmed cell death. https://doi.org/10.1023/B:APPT.0000012117.32430.0c

3. Salminen, A., Kauppinen, A., Hiltunen, M., & Kaarniranta, K. (2014). Epigenetic regulation of ASC/TMS1 expression: potential role in apoptosis and inflammasome function. Cellular and molecular life sciences : CMLS. https://doi.org/10.1007/s00018-013-1524-9

4. Protti, M. P., & De Monte, L. (2020). Dual Role of Inflammasome Adaptor ASC in Cancer. Frontiers in cell and developmental biology. https://doi.org/10.3389/fcell.2020.00040

5. Parsons, M. J., & Vertino, P. M. (2006). Dual role of TMS1/ASC in death receptor signaling. Oncogene. https://doi.org/10.1038/sj.onc.1209684

Long Name

Apoptosis-Associated Speck-Like Protein Containing A CARD

Alternate Names

CARD5, PYCARD, TMS1

Entrez Gene IDs

29108 (Human)

Gene Symbol

PYCARD

Additional ASC Products

Product Documents for ASC/TMS1 Antibody

Certificate of Analysis

To download a Certificate of Analysis, please enter a lot number in the search box below.

Product Specific Notices for ASC/TMS1 Antibody

This product is for research use only and is not approved for use in humans or in clinical diagnosis. Primary Antibodies are guaranteed for 1 year from date of receipt.

Loading...
Loading...
Loading...
Loading...