Skip to main content

ARPC5 Antibody (S08-2B3)

Novus Biologicals, part of Bio-Techne | Catalog # NBP3-19937

Recombinant Monoclonal Antibody
Novus Biologicals, part of Bio-Techne
Catalog #
Availability
Size / Price
Qty
Loading...
NBP3-19937-100ul
NBP3-19937-50ul

Key Product Details

Species Reactivity

Human, Mouse, Rat

Applications

Immunohistochemistry-Paraffin, Western Blot

Label

Unconjugated

Antibody Source

Recombinant Monoclonal Rabbit IgG Clone # S08-2B3 expressed in HEK293

Concentration

0.3 mg/ml

Product Specifications

Immunogen

A synthetic peptide of human ARPC5 (Uniprot # O15511)

Clonality

Monoclonal

Host

Rabbit

Isotype

IgG

Theoretical MW

16 kDa.
Disclaimer note: The observed molecular weight of the protein may vary from the listed predicted molecular weight due to post translational modifications, post translation cleavages, relative charges, and other experimental factors.

Description

Novus Biologicals Rabbit ARPC5 Antibody (S08-2B3) (NBP3-19937) is a recombinant monoclonal antibody validated for use in IHC and WB. All Novus Biologicals antibodies are covered by our 100% guarantee.

Scientific Data Images for ARPC5 Antibody (S08-2B3)

Western Blot: ARPC5 Antibody (S08-2B3) [NBP3-19937]

Western Blot: ARPC5 Antibody (S08-2B3) [NBP3-19937]

Western Blot: ARPC5 Antibody (S08-2B3) [NBP3-19937] - Western blot detection of ARPC5 in Rat Brain (Lane 1), C6 (Lane 2), 3T3 (Lane 3), Hela (Lane 4) cell lysates using NBP3-19937 (1:1000 diluted). Predicted band size: 16kDa. Observed band size: 16kDa.
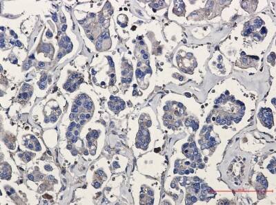
Immunohistochemistry-Paraffin: ARPC5 Antibody (S08-2B3) [NBP3-19937]

Immunohistochemistry-Paraffin: ARPC5 Antibody (S08-2B3) [NBP3-19937]

Immunohistochemistry-Paraffin: ARPC5 Antibody (S08-2B3) [NBP3-19937] - Immunohistochemistry of ARPC5 in paraffin-embedded Human Cholangiocarcinoma using NBP3-19937 at dilution 1/20

Applications for ARPC5 Antibody (S08-2B3)

Application
Recommended Usage

Western Blot

1/2000

Formulation, Preparation, and Storage

Purification

Affinity purified

Formulation

50mM Tris-Glycine(pH 7.4), 0.15M NaCl, 40% Glycerol, 0.05% BSA

Preservative

0.01% Sodium Azide

Concentration

0.3 mg/ml

Shipping

The product is shipped with polar packs. Upon receipt, store it immediately at the temperature recommended below.

Stability & Storage

Store at 4C short term. Aliquot and store at -20C long term. Avoid freeze-thaw cycles.

Background: ARPC5

The ARPC5 gene encodes one of seven subunits of the human Arp2/3 protein complex. The Arp2/3 protein complex has beenimplicated in the control of actin polymerization in cells and has been conserved through evolution. The exact role ofthe protein encoded by th

Alternate Names

actin related protein 2/3 complex, subunit 5, 16kDa, ARC16subunit 5 (16 kD), MGC88523

Gene Symbol

ARPC5

Additional ARPC5 Products

Product Documents for ARPC5 Antibody (S08-2B3)

Certificate of Analysis

To download a Certificate of Analysis, please enter a lot number in the search box below.

Product Specific Notices for ARPC5 Antibody (S08-2B3)

This product is for research use only and is not approved for use in humans or in clinical diagnosis. Primary Antibodies are guaranteed for 1 year from date of receipt.

Loading...
Loading...
Loading...
Loading...